ISO 9001:2015 Certified
Live Customer Support
4.5/5 on Trustpilot
100% Quality Guarantee

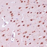
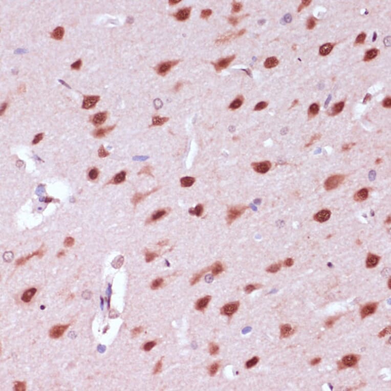
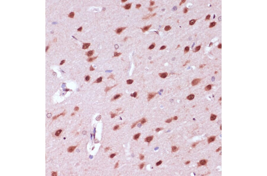
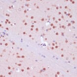
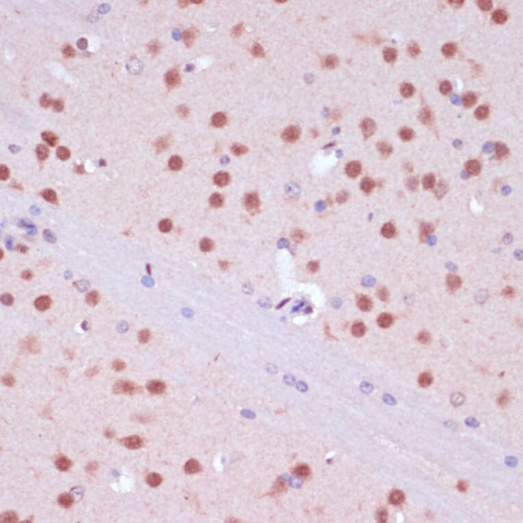
Anti-NeuN Antibody (A92020)

This product is discontinued

Anti-NeuN Antibody (A92020) has been discontinued and is no longer available.

View all NeuN Antibodies.

Name
Anti-NeuN Antibody
Description
Rabbit polyclonal antibody to NeuN.
Applications
WB, IHC
Dilutions
WB: 1:500-1:2,000, IHC: 1:50-1:100
Reactivity
Human, Mouse, Rat
Immunogen
Recombinant fusion protein containing a sequence corresponding to amino acids 1-220 of human NeuN (NP_001076045.1).
Sequence
MEKKKMVTQGNQEPTTTPDAMVQPFTTIPFPPPPQNGIPTEYGVPHTQDYAGQTGEHNLTLYGSTQAHGEQSSNSPSTQNGSLTTEGGAQTDGQQSQTQSSENSESKSTPKRLHVSNIPFRFRDPDLRQMFGQFGKILDVEIIFNERGSKGFGFVTFENSADADRAREKLHGTVVEGRKIEVNNATARVMTNKKMVTPYANGWKLSPVVGAVYGPELYAA
Host
Rabbit
Clonality
Polyclonal
Isotype
IgG
Conjugate

Unconjugated

Purification
Affinity purification.
Molecular Weight
54 kDa
Product Form
Liquid
Formulation
Supplied in Phosphate Buffered Saline, pH 7.3, with 50% Glycerol and 0.01% Thiomersal.
Storage
Shipped at 4°C. Upon delivery aliquot and store at -20°C. Avoid freeze / thaw cycles.
Synonyms
Fox-1 homolog C, NeuN antigen, Neuronal nuclei antigen, RBFOX3, RNA binding protein fox-1 homolog 3
Disclaimer
This product is for research use only. It is not intended for diagnostic or therapeutic use.

Most popular Anti-NeuN Antibodies

Alternative products to Anti-NeuN Antibody (A92020)

Proteins predicted to interact with NeuN

Predicted protein interactions based upon String database. Revelancy score correlates with probability of interaction.
93.2% Relevancy Score
93.1% Relevancy Score
90.9% Relevancy Score
88.8% Relevancy Score
82.8% Relevancy Score
81.3% Relevancy Score
80.5% Relevancy Score
80.1% Relevancy Score
80.1% Relevancy Score