ISO 9001:2015 Certified
Live Customer Support
4.5/5 on Trustpilot
100% Quality Guarantee

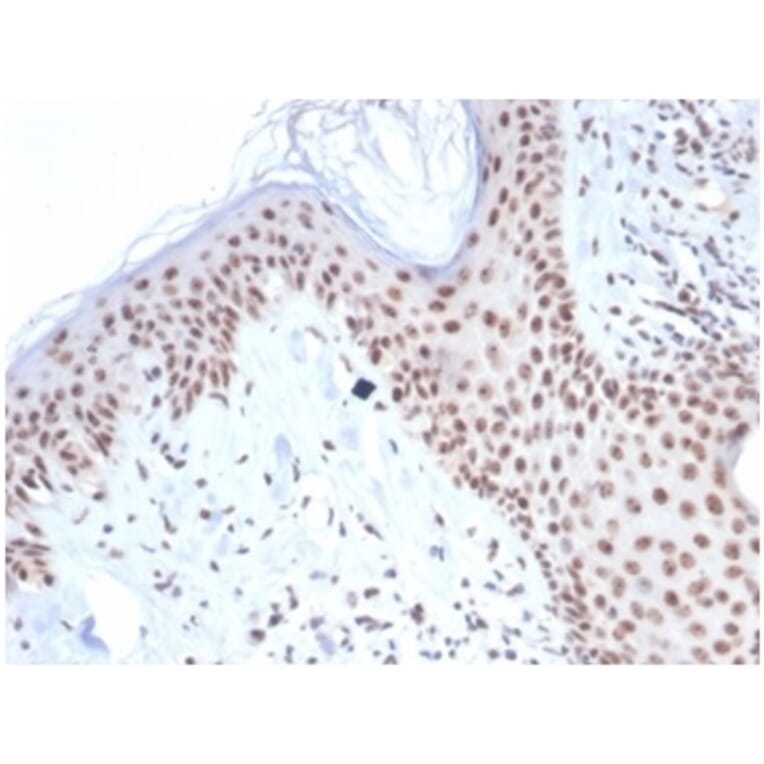
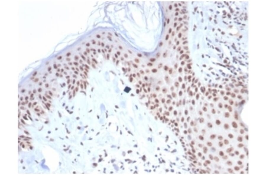
Recombinant Anti-Nucleophosmin Antibody [NPM1/7072R] - BSA and Azide free (A278626)

Recombinant rabbit monoclonal [NPM1/7072R] antibody to Nucleophosmin for IHC-P.

Alternative Formats and ConjugatesAlternative Formats

Shipping Information

$40
Dispatched from St. Louis, MO.
Lead Time: 5-8 business days.
Name
Anti-Nucleophosmin Antibody [NPM1/7072R] - BSA and Azide free
Description
Recombinant rabbit monoclonal [NPM1/7072R] antibody to Nucleophosmin.
Specificity
This antibody recognizes a 33kDa glycoprotein, identified as Nucleophosmin (NPM). It is predominantly localized in the nucleus of cells in most tissues. NPM is involved in ribosomal assembly and rRNA transport. It is an abundant protein that is highly phosphorylated by Cdc2 kinase during mitosis. This phosphoprotein moves between the nucleus and the cytoplasm.It is thought to be involved in several processes including regulation of the ARF/p53 pathway. A number of genes are fusion partners, in particular the anaplastic lymphoma kinase gene on chromosome 2. Mutations in exon 12 affecting the C-terminus of the protein are associated with an aberrant cytoplasmic location.Mutations in this gene are associated with acute myeloid leukemia.The antibody may be a useful aid for classification of acute myeloid leukemia.
Applications
IHC-P
Dilutions
IHC-P: 1-2 µg/ml
Reactivity
Human
Immunogen
Recombinant fragment corresponding to human Nucleophosmin. The exact sequence is proprietary.
Host
Rabbit
Clonality
Monoclonal
Clone ID
NPM1/7072R
Isotype
IgG
Light Chains
kappa
Conjugate

Unconjugated

Purification
Protein A/G chromatography.
Concentration
1 mg/ml
Molecular Weight
33 kDa
Product Form
Liquid
Formulation
Supplied in 10mM Phosphate Buffered Saline; without Sodium Azide and carrier free.
Storage
Shipped at 4°C. Upon delivery aliquot and store at -20°C. Avoid freeze / thaw cycles.
General Notes
This monoclonal antibody is also available in a different formulation with BSA and Sodium Azide - Anti-Nucleophosmin Antibody [NPM1/7072R] (A278038).
Synonyms
NPM, Nucleolar phosphoprotein B23, Nucleolar protein NO38, Numatrin
Disclaimer
This product is for research use only. It is not intended for diagnostic or therapeutic use.
Publishing research using Recombinant Anti-Nucleophosmin Antibody [NPM1/7072R] - BSA and Azide free (A278626)? Please let us know so that we can list the citation on this page.

Alternative products to Anti-Nucleophosmin Antibody [NPM1/7072R] - BSA and Azide free (A278626)

Proteins predicted to interact with NPM1

Predicted protein interactions based upon String database. Revelancy score correlates with probability of interaction.
99.9% Relevancy Score
99.9% Relevancy Score
99.9% Relevancy Score
99.7% Relevancy Score
99.4% Relevancy Score
99.2% Relevancy Score
98.3% Relevancy Score
97.6% Relevancy Score
97.5% Relevancy Score