Flow Cytometry: 0.03 µg per 1 x 106 cells in a 150 µl volume, IHC: 1:2,000-1:10,000, IP: 2-5 µg/1 mg lysate, WB: 1:1,000-1:10,000
Reactivity
Human, Mouse
Immunogen
Synthetic peptide within amino acids 75-125 of human PCNA.
Host
Rabbit
Clonality
Polyclonal
Isotype
IgG
Conjugate
Unconjugated
Purification
Antigen affinity purification.
Concentration
1 mg/ml
Product Form
Liquid
Formulation
Supplied in Tris-Citrate/Phosphate Buffer, pH 7-8, with 0.09% Sodium Azide.
Storage
Shipped at 4°C. Upon delivery aliquot and store at -20°C. Avoid freeze/thaw cycles.
General Notes
This antibody was affinity purified using the immunising peptide immobilized on solid support. Immunoglobulin concentration was determined by extinction coefficient: absorbance at 280 nm of 1. 4 equals 1.0 mg of IgG.
Samples: Whole cell lysate (WCL) from A-431 cells. Antibodies: Anti-PCNA Antibody (A295398) was used at the indicated concentrations for WB. Detection: Chemiluminescence with an exposure time of 2 minutes.
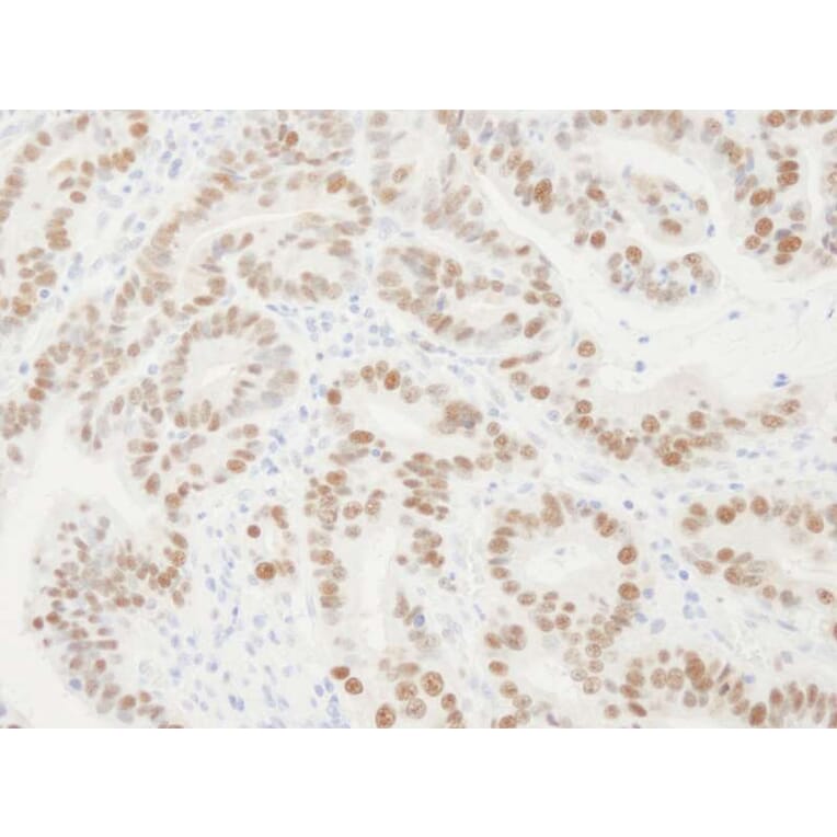
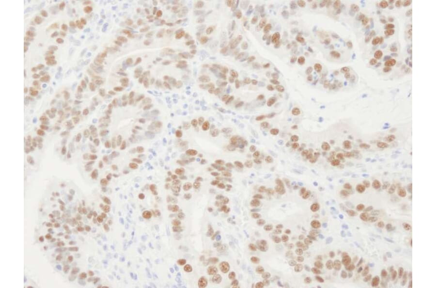
Sample: FFPE section of human stomach carcinoma. Antibody: Anti-PCNA Antibody (A295398) was used at a dilution of 1:10,000 (0.1 µg/ml). Detection: DAB.
Asynchronous Jurkat cells were fixed and permeabilized in a sequential treatment of FACS buffer (PBS, 0.5% triton-X-100, 0.5mM EDTA, 1% BSA) and 100% methanol. 1 X10^6 cells were stained with 0.03 µg Anti-PCNA Antibody (A295398). Secondary detection was performed with FITC conjugated goat F(ab')2 anti-rabbit antibody, and DNA stained with PI.
Samples: Whole cell lysate (50 µg) from HEK293T and mouse NIH 3T3 cells prepared using NETN lysis buffer. Antibody: Anti-PCNA Antibody (A295398) was used for WB at 0.1 µg/ml. Detection: Chemiluminescence with an exposure time of 3 minutes.
Samples: Whole cell lysate (WCL) (500 µg for IP; 30 µg for WCL lane) from MDA-MB-468 cells. Antibodies: PCNA was immunoprecipitated using Anti-PCNA Antibody (A295398), another rabbit anti-PCNA antibody, or a mouse monoclonal antibody to PCNA. Control mock IP was performed using normal mouse IgG and normal rabbit IgG. Immunoprecipitated PCNA was blotted using a mixture of Anti-PCNA Antibody (A295398) and the other rabbit anti-PCNA antibody (each at 1 µg/ml). Detection: Chemiluminescence with an exposure time of 5 seconds.