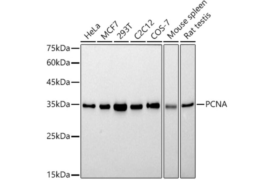
Western Blot - Anti-PCNA Antibody [ARC51324] (A305487)
Western blot analysis of various lysates, using Anti-PCNA Antibody [ARC51324] (A305487) at 1:1,000 dilution. The secondary antibody was Goat Anti-Rabbit IgG H&L Antibody (HRP) at 1:10,000 dilution. Lysates/proteins were present at 25µg per lane. The blocking buffer used was 3% non-fat dry milk in TBST. Detection was with a ECL Basic Kit. Exposure time: 30s.
Immunohistochemistry analysis of paraffin-embedded human esophagus using Anti-PCNA Antibody [ARC51324] (A305487) at a dilution of 1:8,000 (40x lens). Perform high pressure antigen retrieval with 10 mM citrate buffer pH 6.0 before commencing with IHC staining protocol.
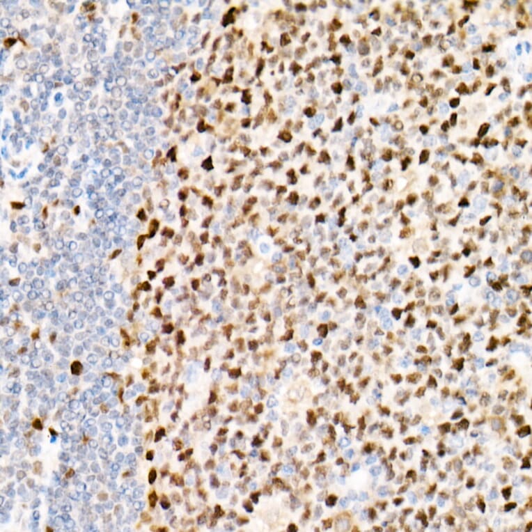
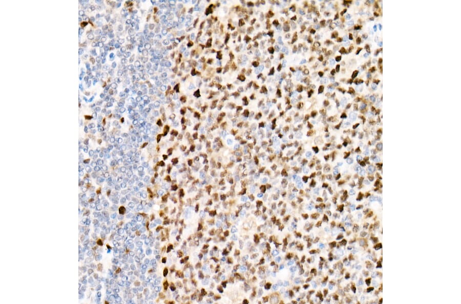
Immunohistochemistry analysis of paraffin-embedded human tonsil using Anti-PCNA Antibody [ARC51324] (A305487) at a dilution of 1:8,000 (40x lens). Perform high pressure antigen retrieval with 10 mM citrate buffer pH 6.0 before commencing with IHC staining protocol.
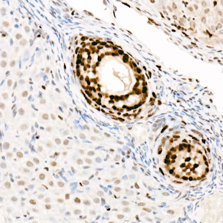
Immunohistochemistry analysis of paraffin-embedded mouse esophagus using Anti-PCNA Antibody [ARC51324] (A305487) at a dilution of 1:8,000 (40x lens). Perform high pressure antigen retrieval with 10 mM citrate buffer pH 6.0 before commencing with IHC staining protocol.
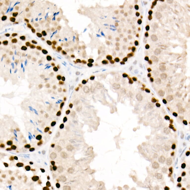
Immunohistochemistry analysis of paraffin-embedded mouse testis using Anti-PCNA Antibody [ARC51324] (A305487) at a dilution of 1:8,000 (40x lens). Perform high pressure antigen retrieval with 10 mM citrate buffer pH 6.0 before commencing with IHC staining protocol.
Immunohistochemistry analysis of paraffin-embedded rat ovary using Anti-PCNA Antibody [ARC51324] (A305487) at a dilution of 1:8,000 (40x lens). Perform high pressure antigen retrieval with 10 mM citrate buffer pH 6.0 before commencing with IHC staining protocol.
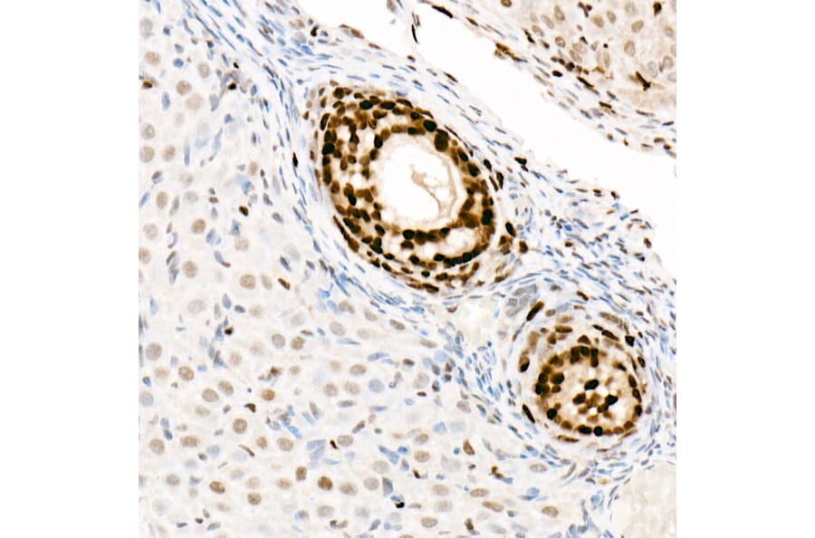
Immunohistochemistry analysis of paraffin-embedded rat testis using Anti-PCNA Antibody [ARC51324] (A305487) at a dilution of 1:8,000 (40x lens). Perform high pressure antigen retrieval with 10 mM citrate buffer pH 6.0 before commencing with IHC staining protocol.
Immunofluorescence analysis of MCF7 using Anti-PCNA Antibody [ARC51324] (A305487) at a dilution of 1:100 (40x lens). DAPI was used to stain the cell nuclei (blue).
Western Blot - Anti-PCNA Antibody [ARC51324] (A305487)
Immunoprecipitation analysis of 300µg extracts of MCF7 cells using 3µg of Anti-PCNA Antibody [ARC51324] (A305487). This Western blot was performed on the immunoprecipitate using Anti-PCNA Antibody [ARC51324] (A305487) at a dilution of 1:1000.