Western Blot - Anti-smooth muscle Myosin heavy chain 11 Antibody [ARC51911] (A305652)
Western blot analysis of extracts of Mouse lung, using Anti-smooth muscle Myosin heavy chain 11 Antibody [ARC51911] (A305652) at 1:1,000 dilution. The secondary antibody was Goat Anti-Rabbit IgG H&L Antibody (HRP) at 1:10,000 dilution. Lysates/proteins were present at 25µg per lane. The blocking buffer used was 3% non-fat dry milk in TBST. Detection was with a ECL Basic Kit. Exposure time: 3min.
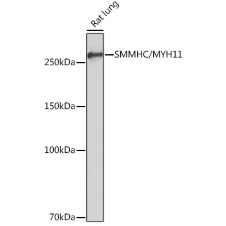
Western Blot - Anti-smooth muscle Myosin heavy chain 11 Antibody [ARC51911] (A305652)
Western blot analysis of extracts of Rat lung, using Anti-smooth muscle Myosin heavy chain 11 Antibody [ARC51911] (A305652) at 1:1,000 dilution. The secondary antibody was Goat Anti-Rabbit IgG H&L Antibody (HRP) at 1:10,000 dilution. Lysates/proteins were present at 25µg per lane. The blocking buffer used was 3% non-fat dry milk in TBST. Detection was with a ECL Enhanced Kit (RM00021). Exposure time: 3min.
Immunohistochemistry analysis of paraffin-embedded human colon tissue using Anti-smooth muscle Myosin heavy chain 11 Antibody [ARC51911] (A305652) at a dilution of 1:8000(40x lens). Perform high pressure antigen retrieval with 10 mM citrate buffer pH 6.0 before commencing with IHC staining protocol.
Immunohistochemistry analysis of paraffin-embedded mouse lung using using Anti-smooth muscle Myosin heavy chain 11 Antibody [ARC51911] (A305652) at a dilution of 1:8000(40x lens). Perform high pressure antigen retrieval with 10 mM citrate buffer pH 6.0 before commencing with IHC staining protocol.
Immunohistochemistry analysis of paraffin-embedded rat heart using using Anti-smooth muscle Myosin heavy chain 11 Antibody [ARC51911] (A305652) at a dilution of 1:8000(40x lens). Perform high pressure antigen retrieval with 10 mM citrate buffer pH 6.0 before commencing with IHC staining protocol.
Immunohistochemistry analysis of paraffin-embedded human placenta using using Anti-smooth muscle Myosin heavy chain 11 Antibody [ARC51911] (A305652) at a dilution of 1:8000(40x lens). Perform high pressure antigen retrieval with 10 mM citrate buffer pH 6.0 before commencing with IHC staining protocol.
Immunohistochemistry analysis of paraffin-embedded rat kidney using using Anti-smooth muscle Myosin heavy chain 11 Antibody [ARC51911] (A305652) at a dilution of 1:8000(40x lens). Perform high pressure antigen retrieval with 10 mM citrate buffer pH 6.0 before commencing with IHC staining protocol.
Immunohistochemistry analysis of paraffin-embedded mouse liver using using Anti-smooth muscle Myosin heavy chain 11 Antibody [ARC51911] (A305652) at a dilution of 1:8000(40x lens). Perform high pressure antigen retrieval with 10 mM citrate buffer pH 6.0 before commencing with IHC staining protocol.
Immunofluorescence analysis of human colon using Anti-smooth muscle Myosin heavy chain 11 Antibody [ARC51911] (A305652) at a dilution of 1:100 (40x lens). DAPI was used to stain the cell nuclei (blue).
Immunofluorescence analysis of mouse colon using Anti-smooth muscle Myosin heavy chain 11 Antibody [ARC51911] (A305652) at a dilution of 1:100 (40x lens). DAPI was used to stain the cell nuclei (blue).
Immunofluorescence analysis of rat colon using Anti-smooth muscle Myosin heavy chain 11 Antibody [ARC51911] (A305652) at a dilution of 1:100 (40x lens). DAPI was used to stain the cell nuclei (blue).
Publishing research using Anti-smooth muscle Myosin heavy chain 11 Antibody [ARC51911] (A305652)? Please let us know so that we can list the citation on this page.
Alternative products to Anti-smooth muscle Myosin heavy chain 11 Antibody [ARC51911] (A305652)