Rabbit polyclonal antibody to SSTR2 (phospho Thr356 + Thr359).
Specificity
This antibody binds specifically to the phosphorylated form of human SSTR2 at residues Thr356 and Thr359. It detects agonist-induced phosphorylation in Western blot analysis, supports detection in mouse tissues in vivo, and is suitable for subcellular localization by immunocytochemistry.
Applications
WB, ICC
Dilutions
WB: 1,000, ICC: 1:200
Reactivity
Human, Mouse
Immunogen
Synthetic phosphopeptide derived from human SSTR2 around the phosphorylation site of Thr356 +Thr359. Immunogen range is 10-12 amino acids.
Host
Rabbit
Clonality
Polyclonal
Isotype
IgG
Conjugate
Unconjugated
Purification
Antigen affinity purification.
Concentration
Lot Specific
Product Form
Liquid
Formulation
Supplied in Dulbecco's PBS, pH 7.4, with 150 mM NaCl and 0.005% Sodium Azide.
Storage
Shipped at 4°C. Upon delivery aliquot and store at -20°C. Avoid freeze/thaw cycles.
Synonyms
Somatostatin receptor type 2, SRIF-1, SS-2-R, SS2-R, SS2R, SST2
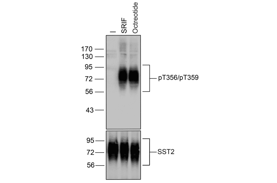
Analysis of agonist-induced phosphorylation of Somatostatin Receptor 2 (SSTR2) at Threonine356/Threonine359. HEK293 cells stably expressing SSTR2 were untreated or treated with 1 µM SRIF or 1 µM Octreotide for 30 min. Lysates were immunoblotted with anti-SSTR2 (phospho Thr356 + Thr359) antibody (A334541) at 1:1000 (upper panel). The blot was stripped and reprobed with phosphorylation-independent anti-SSTR2 antibody (A334543) at 1:1000 to confirm equal loading (lower panel).
Dose-dependent phosphorylation analysis of Somatostatin Receptor 2 (SSTR2) using multiple phosphosite-specific antibodies. HEK293 cells stably expressing SSTR2 were untreated or exposed to 1 nM to 10 µM SRIF for 30 min. Lysates were immunoblotted with anti-SSTR2 (phospho Ser341 + Ser343) (A334540), anti-SSTR2 (phospho Thr353 + Thr354), or anti-SSTR2 (phospho Thr356 + Thr359) (A334541) antibodies at 1:1000 (upper panels). The blot was stripped and reprobed with phosphorylation-independent anti-SSTR2 antibody (A334543) at 1:1000 to confirm equal loading (lower panel).
Immunocytochemical detection of Threonine356/Threonine359 phosphorylation of Somatostatin Receptor 2 (SSTR2). HEK293 cells stably expressing SSTR2 were untreated or treated with 1 µM SRIF for 30 min and stained with anti-SSTR2 (phospho Thr356 + Thr359) antibody (A334541) at 1:200. Phosphorylated SSTR2 receptors were undetectable in untreated cells (0 min) and observed at the plasma membrane and in perinuclear vesicular clusters after 30 min of SRIF treatment.
Publishing research using Anti-SSTR2 (phospho Thr356 + Thr359) Antibody (A334541)? Please let us know so that we can list the citation on this page.
Alternative products to Anti-SSTR2 (phospho Thr356 + Thr359) Antibody (A334541)