Primary Antibodies
Secondary Antibodies
Proteins & Peptides
ELISA Kits
About Us
Contact Us
Sign In/Register
0
ISO 9001:2015 Certified
Live Customer Support
4.5/5 on Trustpilot
100% Quality Guarantee
Home
Primary Antibodies
SSTR3 Antibodies
Anti-SSTR3 Antibody (A46158)
Anti-SSTR3 Antibody (A46158)
Overview
Specifications
Images
Enlarge Image
Enlarge Image
$430
Product Datasheet
Rabbit polyclonal antibody to SSTR3 for IHC.
100% Guarantee
Price Match Guarantee
Product Size:
100µl
Quantity:
1
2
3
4
5
6
7
8
9
10
Add To Cart
Request a Quotation
Custom or Bulk Request
Shipping Information
Freight/Packing Charges:
$40
Dispatched from St. Louis, MO.
Lead Time: 6-9 business days.
Specifications
Name
Anti-SSTR3 Antibody
Description
Rabbit polyclonal antibody to SSTR3
Specificity
The antibody detects endogenous levels of total SSTR3 protein.
Applications
IHC
Reactivity
Human
Immunogen
Synthetic peptide corresponding to residues near the C terminal of human somatostatin receptor 3
Host
Rabbit
Clonality
Polyclonal
Conjugate
Unconjugated
Purification
Antigen affinity purification.
Concentration
1.3 mg/mL
Formulation
Supplied in PBS, pH 7.3, containing 0.05% sodium azide and 50% glycerol.
Storage
Shipped at 4°C. Upon delivery aliquot and store at -20°C. Avoid freeze/thaw cycles.
Synonyms
Somatostatin receptor type 3, SS-3-R, SS3-R, SS3R, SSR-28, SST3
Suitable Secondaries
Goat Anti-Rabbit IgG H&L Antibody (AP) (A294874)
Goat Anti-Rabbit IgG H&L Antibody (Biotin) (A294795)
Goat Anti-Rabbit IgG H&L Antibody (FITC) (A294887)
Goat Anti-Rabbit IgG H&L Antibody (HRP) (A294888)
See all Anti-Rabbit IgG Secondaries →
Disclaimer
This product is for research use only. It is not intended for diagnostic or therapeutic use.
Scientific Validation Data
Validation Data
(2)
Enlarge Image
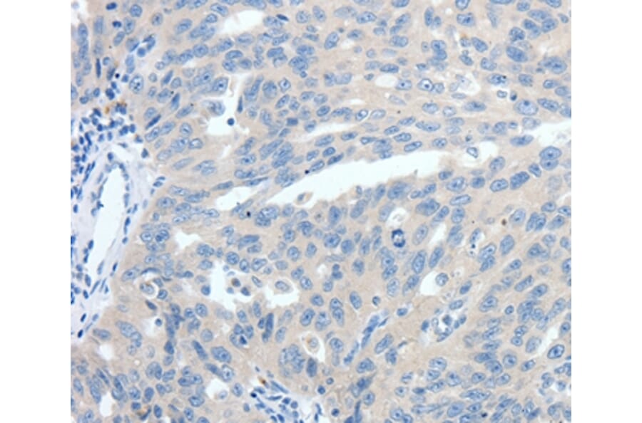
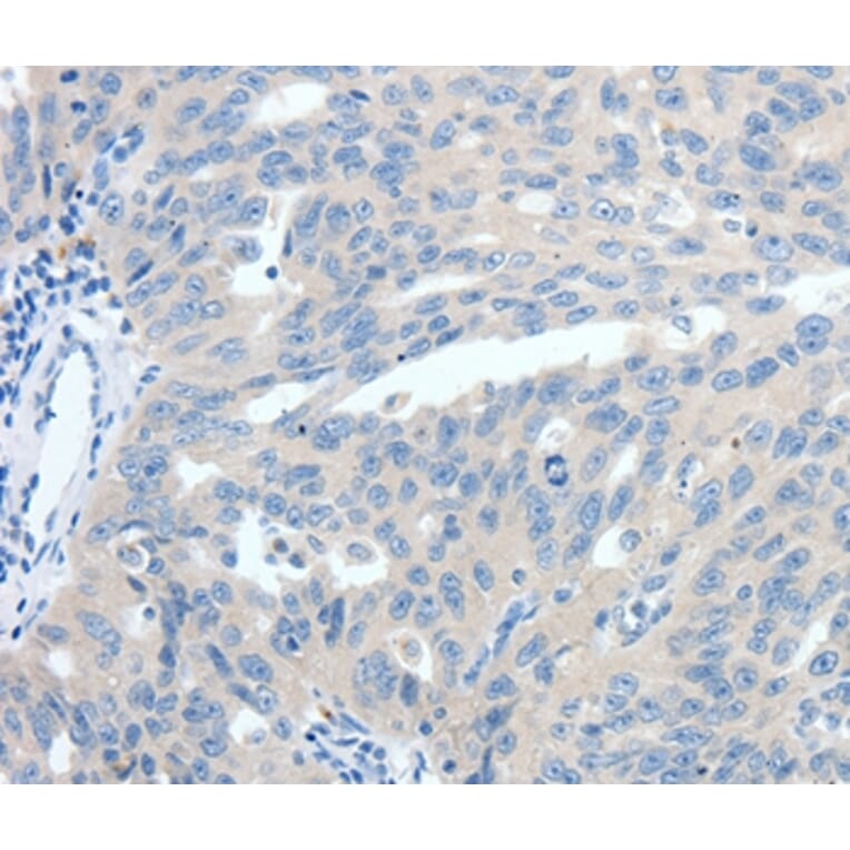
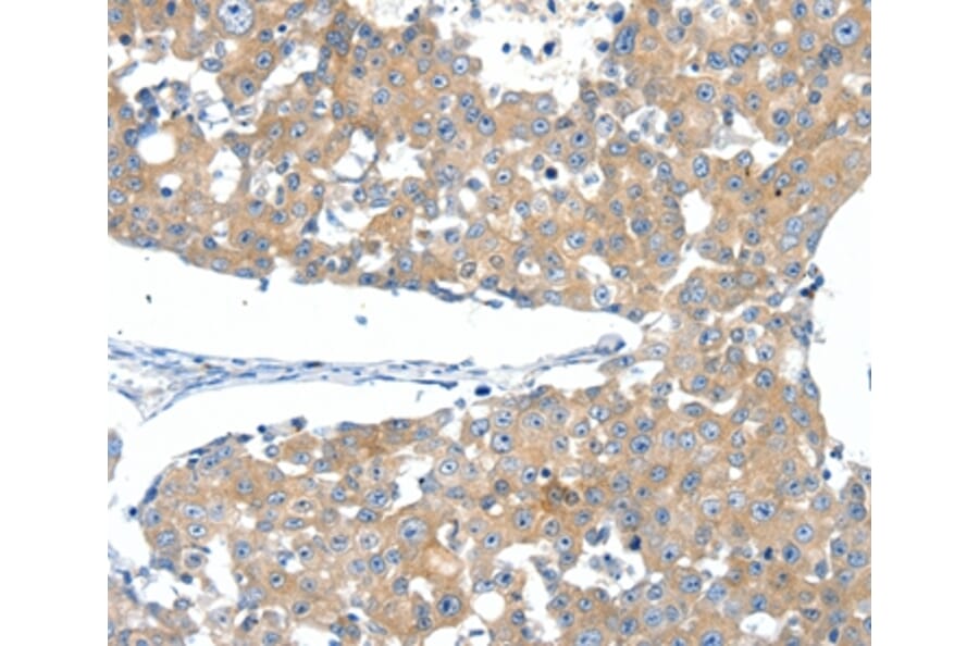
Immunohistochemistry - Anti-SSTR3 Antibody (A46158)
Immunohistochemical analysis of paraffin-embedded Human breast cancer tissue using #37258 at dilution 1/40.
Enlarge Image
Immunohistochemistry - Anti-SSTR3 Antibody (A46158)
Immunohistochemical analysis of paraffin-embedded Human ovarian cancer tissue using #37258 at dilution 1/40.
Publishing research using Anti-SSTR3 Antibody (A46158)? Please
let us know
so that we can list the citation on this page.
Alternative products to Anti-SSTR3 Antibody (A46158)
(4)
A334484
Anti-SSTR3 Antibody
Rabbit polyclonal antibody to SSTR3 for WB, ICC and IHC.
(3)
A334545
Anti-SSTR3 Antibody
Rabbit polyclonal antibody to SSTR3 for WB, ICC and IHC.
(2)
A334544
Anti-SSTR3 (phospho Ser337 + Thr341) Antibody
Rabbit polyclonal antibody to SSTR3 (phospho Ser337 + Thr341) for WB.
(4)
A334484
Anti-SSTR3 Antibody
Rabbit polyclonal antibody to SSTR3 for WB, ICC and IHC.
(3)
A334545
Anti-SSTR3 Antibody
Rabbit polyclonal antibody to SSTR3 for WB, ICC and IHC.
(2)
A334544
Anti-SSTR3 (phospho Ser337 + Thr341) Antibody
Rabbit polyclonal antibody to SSTR3 (phospho Ser337 + Thr341) for WB.
Proteins predicted to interact with SSTR3
Predicted protein interactions based upon String database. Revelancy score correlates with probability of interaction.
Somatostatin Antibodies
99.7% Relevancy Score
GNAI1 Antibodies
91.7% Relevancy Score
GNAI2 Antibodies
91.3% Relevancy Score
GNAI3 Antibodies
91.3% Relevancy Score
BBS2 Antibodies
88.8% Relevancy Score
BBS4 Antibodies
87.4% Relevancy Score
BBS7 Antibodies
85.4% Relevancy Score
BBS9 Antibodies
81.2% Relevancy Score
Smoothened Antibodies
80.7% Relevancy Score
Top