ISO 9001:2015 Certified
Live Customer Support
4.5/5 on Trustpilot
100% Quality Guarantee

Anti-STAT3 (Ab-727) Antibody (A36419)

$290

Rabbit polyclonal antibody to STAT3 (Ab-727) for WB and IHC.

Shipping Information

$40
Dispatched from St. Louis, MO.
Lead Time: 6-9 business days.
Name
Anti-STAT3 (Ab-727) Antibody
Description
Rabbit polyclonal antibody to STAT3 (Ab-727)
Specificity
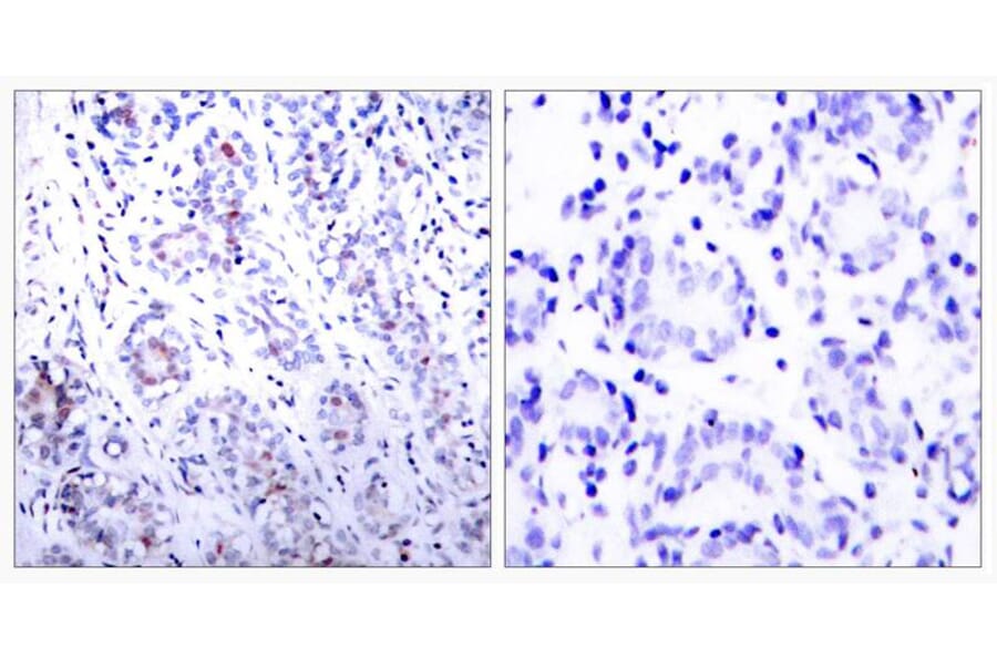
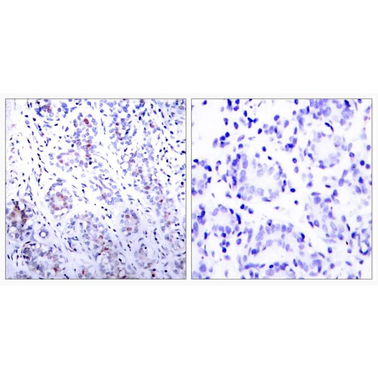
The antibody detects endogenous level of total STAT3 protein.
Applications
WB, IHC
Reactivity
Human
Immunogen
Peptide sequence around aa. 725~729 (P-M-S-P-R) derived from Human STAT3.
Host
Rabbit
Clonality
Polyclonal
Conjugate

Unconjugated

Purification
Antibodies were produced by immunizing rabbits with synthetic peptide and KLH conjugates. Antibodies were purified by affinity-chromatography using epitope-specific peptide.
Concentration
1 mg/ml
Formulation
Supplied at 1.0mg / mL in phosphate buffered saline (without Mg2+ and Ca2+), pH 7.4, 150mM NaCl, 0.02% sodium azide and 50% glycerol.
Storage
Store at -20°C for long term preservation (recommended). Store at 4°C for short term use.
Synonyms
Acute-phase response factor, APRF, Signal transducer and activator of transcription 3
Disclaimer
This product is for research use only. It is not intended for diagnostic or therapeutic use.
Publishing research using Anti-STAT3 (Ab-727) Antibody (A36419)? Please let us know so that we can list the citation on this page.

Alternative products to Anti-STAT3 (Ab-727) Antibody (A36419)

Proteins predicted to interact with STAT3

Predicted protein interactions based upon String database. Revelancy score correlates with probability of interaction.
99.9% Relevancy Score
99.9% Relevancy Score
99.9% Relevancy Score
99.9% Relevancy Score
99.9% Relevancy Score
99.9% Relevancy Score
99.8% Relevancy Score
99.8% Relevancy Score
99.8% Relevancy Score