ISO 9001:2015 Certified
Live Customer Support
4.5/5 on Trustpilot
100% Quality Guarantee

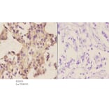
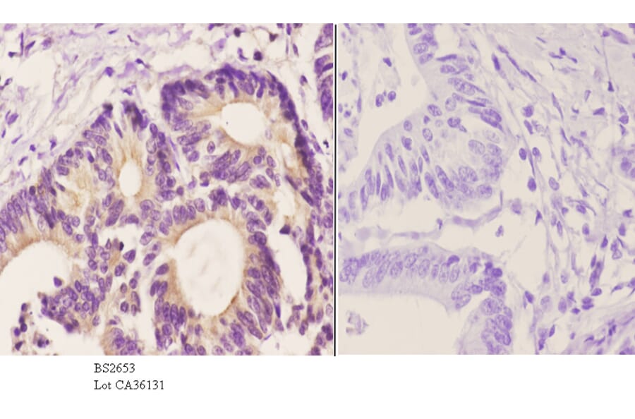
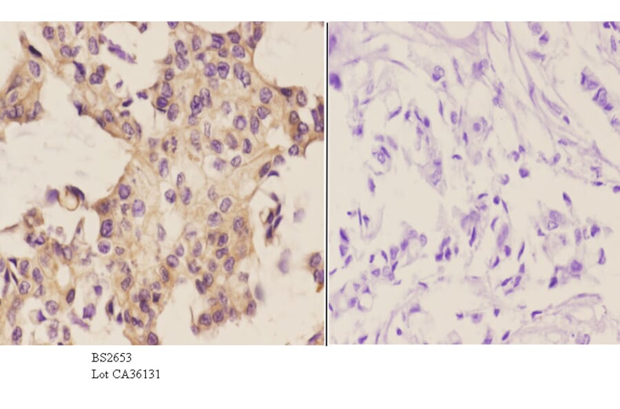
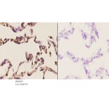
Anti-Stat3 (S691) Antibody (A26427)

This product is discontinued

Anti-Stat3 (S691) Antibody (A26427) has been discontinued and is no longer available.

View all Stat3 Antibodies.

Name
Anti-Stat3 (S691) Antibody
Description
Rabbit polyclonal antibody to Stat3 (S691)
Specificity
Stat3 (S691) pAb detects endogenous levels of Stat3 protein
Applications
WB, IHC
Reactivity
Human, Mouse, Rat
Immunogen
Synthetic peptide, corresponding to amino acids 670-720 of Human Stat3.
Host
Rabbit
Clonality
Polyclonal
Conjugate

Unconjugated

Molecular Weight
~ 88 kDa
Purity
The antibody was affinity-purified from rabbit antiserum by affinity-chromatography using epitope-specific immunogen and the purity is > 95% (by SDS-PAGE).
Product Form
1 mg/ml in Phosphate buffered saline (PBS) with 15 mM sodium azide, approx. pH 7.2.
Synonyms
Acute-phase response factor, APRF, Signal transducer and activator of transcription 3
Disclaimer
This product is for research use only. It is not intended for diagnostic or therapeutic use.

Alternative products to Anti-Stat3 (S691) Antibody (A26427)

Proteins predicted to interact with STAT3

Predicted protein interactions based upon String database. Revelancy score correlates with probability of interaction.
99.9% Relevancy Score
99.9% Relevancy Score
99.9% Relevancy Score
99.9% Relevancy Score
99.9% Relevancy Score
99.9% Relevancy Score
99.8% Relevancy Score
99.8% Relevancy Score
99.8% Relevancy Score