ISO 9001:2015 Certified
Live Customer Support
4.5/5 on Trustpilot
100% Quality Guarantee

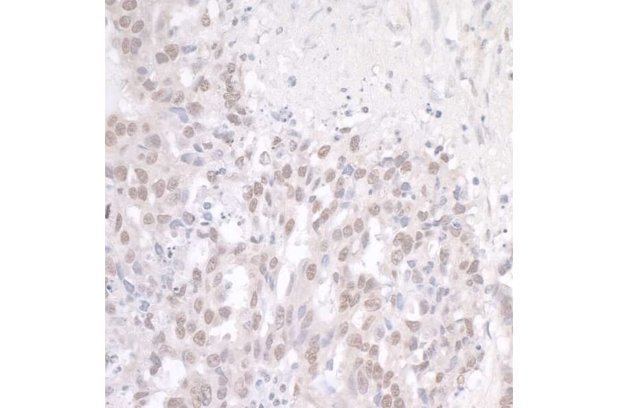
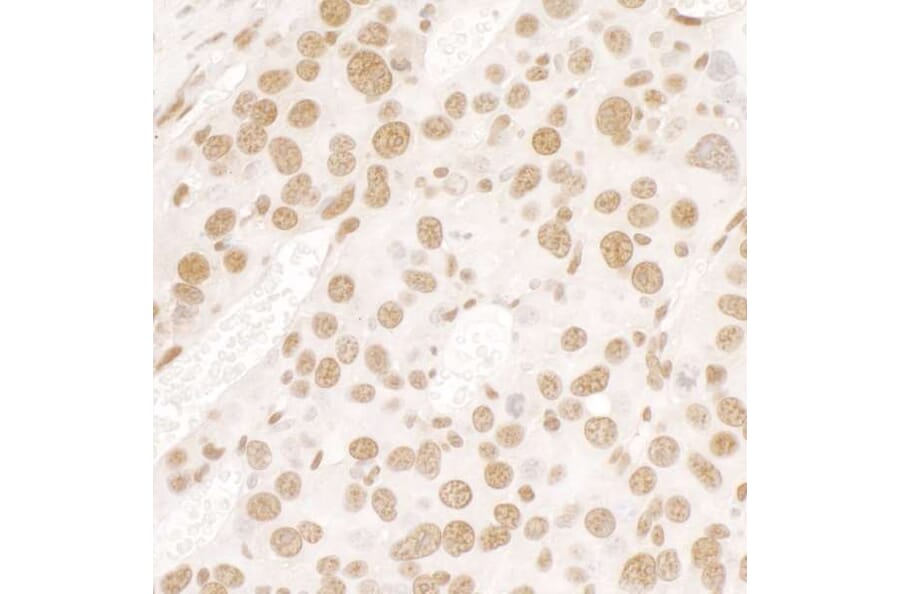
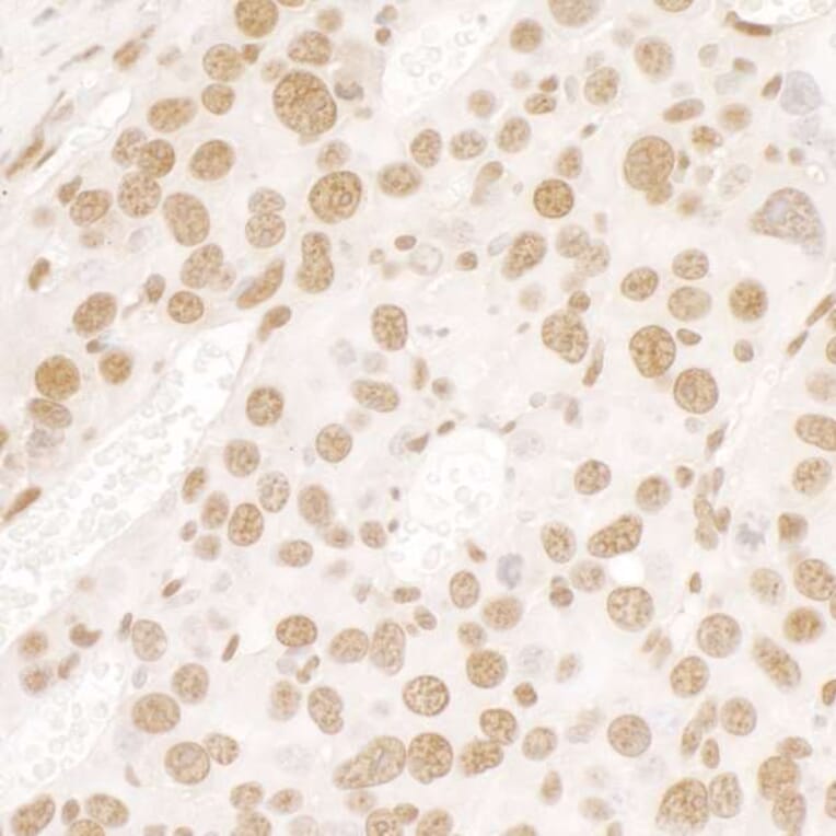
Anti-TLS/FUS Antibody (A301797)

Rabbit polyclonal antibody to TLS/FUS for IHC.

Shipping Information

$40
Dispatched from St. Louis, MO.
Lead Time: 6-9 business days.
Name
Anti-TLS/FUS Antibody
Description
Rabbit polyclonal antibody to TLS/FUS.
Applications
IHC
Dilutions
IHC: 1:100 -1:500
Reactivity
Human, Mouse
Immunogen
Synthetic peptide within amino acids 1-50 of human TLS/FUS.
Host
Rabbit
Clonality
Polyclonal
Isotype
IgG
Conjugate

Unconjugated

Purification
Antigen affinity purification.
Concentration
250 µg/ml
Product Form
Liquid
Formulation
Supplied in Tris-Buffered Saline with 0.1% BSA and 0.09% Sodium Azide.
Storage
Shipped at 4°C. Upon delivery aliquot and store at -20°C. Avoid freeze/thaw cycles.
General Notes
This antibody was affinity purified using the immunising peptide immobilized on solid support. Immunoglobulin concentration was determined by extinction coefficient: absorbance at 280 nm of 1. 4 equals 1.0 mg of IgG.
Synonyms
75 kDa DNA pairing protein, 75 kDa DNA-pairing protein, ALS6, Amyotrophic lateral sclerosis 6, fus, FUS CHOP, Fus like protein, FUS1, Fused in sarcoma, Fusion (involved in t(12;16) in malignant liposarcoma), Fusion derived from t(12;16) malignant liposarcoma, Fusion gene in myxoid liposarcoma, FUS_HUMAN, Heterogeneous nuclear ribonucleoprotein P2, hnRNP P2, hnRNPP2, Oncogene FUS, Oncogene TLS, POMp75, RNA binding protein FUS, RNA-binding protein FUS, TLS, TLS CHOP, Translocated in liposarcoma, Translocated in liposarcoma protein
Disclaimer
This product is for research use only. It is not intended for diagnostic or therapeutic use.
Publishing research using Anti-TLS/FUS Antibody (A301797)? Please let us know so that we can list the citation on this page.

Alternative products to Anti-TLS/FUS Antibody (A301797)