ISO 9001:2015 Certified
Live Customer Support
4.5/5 on Trustpilot
100% Quality Guarantee

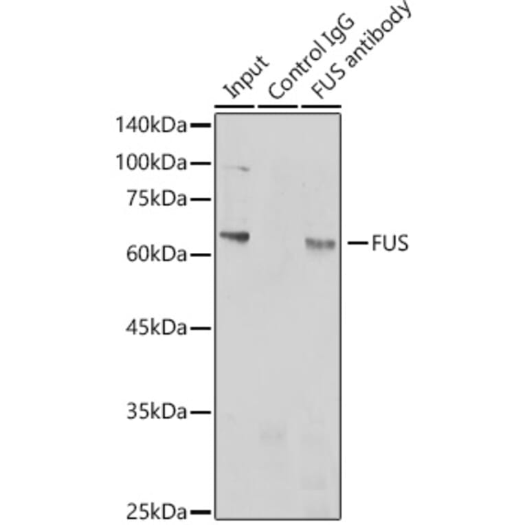
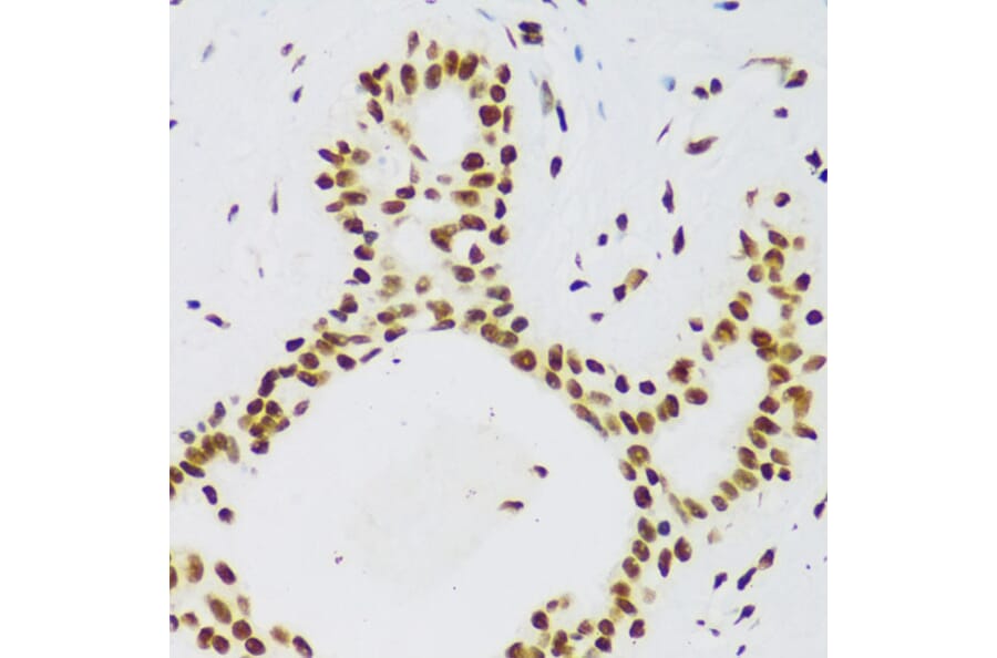
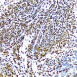
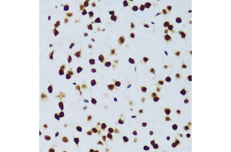
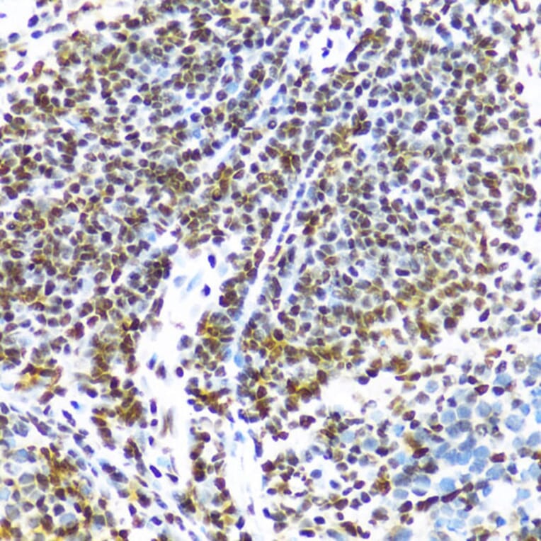
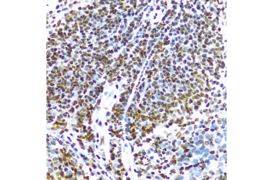
Anti-TLS/FUS Antibody (A308899)

Rabbit polyclonal antibody to TLS/FUS for WB, IHC and IP.

Shipping Information

$40
Dispatched from St. Louis, MO.
Lead Time: 7-10 business days.
Name
Anti-TLS/FUS Antibody
Description
Rabbit polyclonal antibody to TLS/FUS.
Applications
WB, IHC, IP
Dilutions
WB: 1:500-1:2,000, IHC: 1:50-1:200, IP: 1:500-1:1,000
Reactivity
Human, Mouse, Rat
Immunogen
Recombinant fusion protein containing a sequence corresponding to amino acids 297-526 of human FUS (NP_004951.1).
Sequence
TIESVADYFKQIGIIKTNKKTGQPMINLYTDRETGKLKGEATVSFDDPPSAKAAIDWFDGKEFSGNPIKVSFATRRADFNRGGGNGRGGRGRGGPMGRGGYGGGGSGGGGRGGFPSGGGGGGGQQRAGDWKCPNPTCENMNFSWRNECNQCKAPKPDGPGGGPGGSHMGGNYGDDRRGGRGGYDRGGYRGRGGDRGGFRGGRGGGDRGGFGPGKMDSRGEHRQDRRERPY
Host
Rabbit
Clonality
Polyclonal
Isotype
IgG
Conjugate

Unconjugated

Purification
Affinity purification.
Concentration
Lot Specific
Product Form
Liquid
Formulation
Supplied in Phosphate Buffered Saline, pH 7.3, with 50% Glycerol and 0.02% Sodium Azide.
Storage
Shipped at 4°C. Upon delivery aliquot and store at -20°C. Avoid freeze/thaw cycles.
Synonyms
75 kDa DNA pairing protein, 75 kDa DNA-pairing protein, ALS6, Amyotrophic lateral sclerosis 6, fus, FUS CHOP, Fus like protein, FUS1, Fused in sarcoma, Fusion (involved in t(12;16) in malignant liposarcoma), Fusion derived from t(12;16) malignant liposarcoma, Fusion gene in myxoid liposarcoma, FUS_HUMAN, Heterogeneous nuclear ribonucleoprotein P2, hnRNP P2, hnRNPP2, Oncogene FUS, Oncogene TLS, POMp75, RNA binding protein FUS, RNA-binding protein FUS, TLS, TLS CHOP, Translocated in liposarcoma, Translocated in liposarcoma protein
Disclaimer
This product is for research use only. It is not intended for diagnostic or therapeutic use.
Publishing research using Anti-TLS/FUS Antibody (A308899)? Please let us know so that we can list the citation on this page.

Alternative products to Anti-TLS/FUS Antibody (A308899)