Western Blot - Anti-VEGF Receptor 2 Antibody (A81169)
Western blot analysis of extracts of various cell lines, using Anti-VEGF Receptor 2 Antibody (A81169) at 1:500 dilution. The secondary antibody was Goat Anti-Rabbit IgG H&L Antibody (HRP) at 1:10,000 dilution. Lysates/proteins were present at 25µg per lane. The blocking buffer used was 3% non-fat dry milk in TBST. Detection was with a ECL Basic Kit. Exposure time: 10s.
Western Blot - Anti-VEGF Receptor 2 Antibody (A81169)
Western blot analysis of extracts of A-549 cells, using Anti-VEGF Receptor 2 Antibody (A81169) at 1:500 dilution. The secondary antibody was Goat Anti-Rabbit IgG H&L Antibody (HRP) at 1:10,000 dilution. Lysates/proteins were present at 25µg per lane. The blocking buffer used was 3% non-fat dry milk in TBST. Detection was with a ECL Basic Kit. Exposure time: 60s.
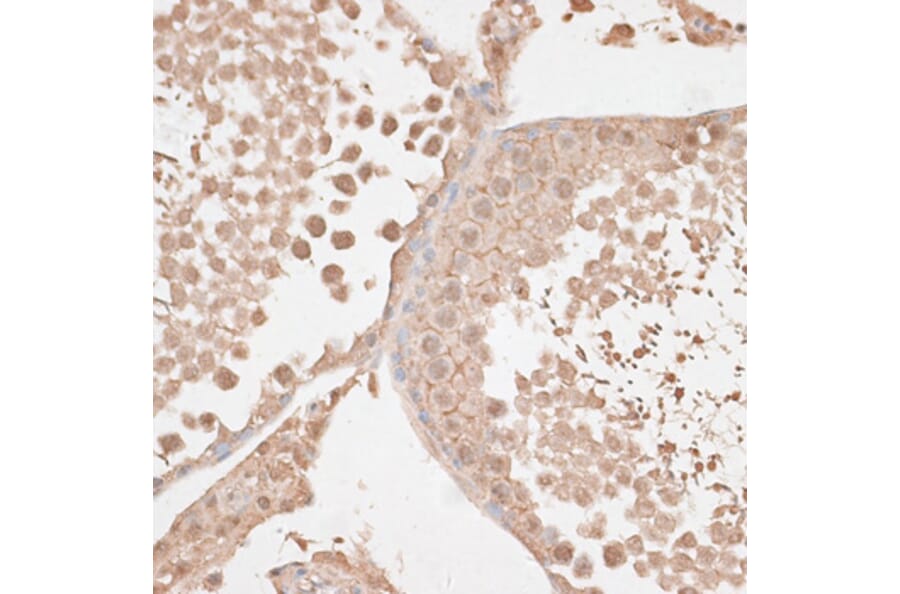
Immunohistochemistry analysis of paraffin-embedded rat testis using Anti-VEGF Receptor 2 Antibody (A81169) at a dilution of 1:100 (40x lens). Perform microwave antigen retrieval with 10 mM PBS buffer pH 7.2 before commencing with IHC staining protocol.
Immunohistochemistry analysis of paraffin-embedded mouse testis using Anti-VEGF Receptor 2 Antibody (A81169) at a dilution of 1:100 (40x lens). Perform microwave antigen retrieval with 10 mM PBS buffer pH 7.2 before commencing with IHC staining protocol.
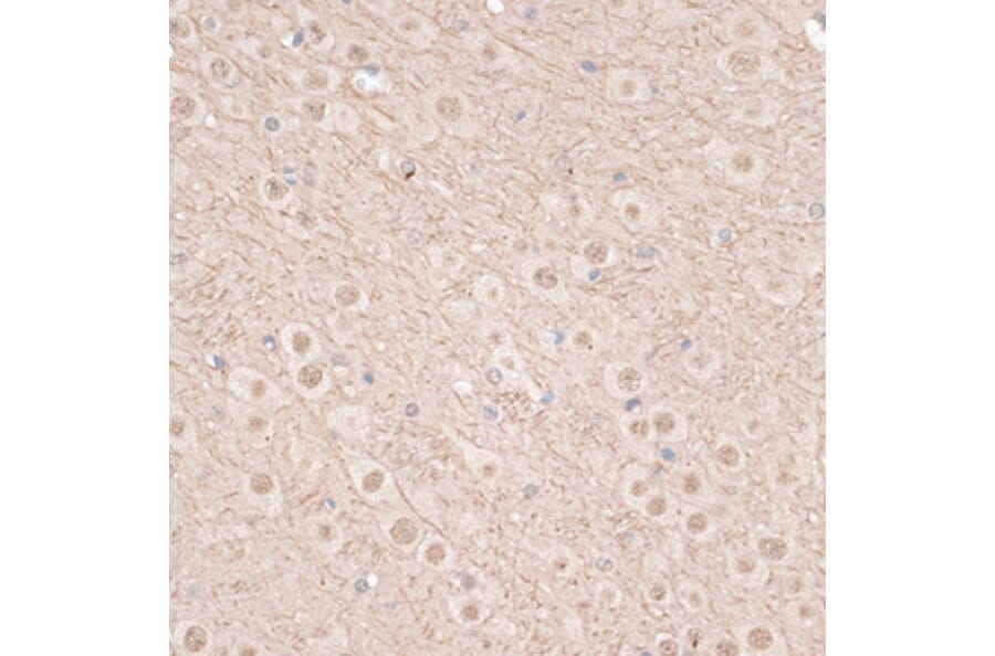
Immunohistochemistry analysis of paraffin-embedded mouse brain using Anti-VEGF Receptor 2 Antibody (A81169) at a dilution of 1:100 (40x lens). Perform microwave antigen retrieval with 10 mM PBS buffer pH 7.2 before commencing with IHC staining protocol.
Recombinant human monoclonal antibody to VEGF Receptor 2 for use as a research grade Ramucirumab bio for ELISA, Flow Cytometry, Functional Studies and in vivo Research.
Recombinant humanized monoclonal antibody to VEGF Receptor 2 for use as a research grade Olinvacimab for ELISA, Flow Cytometry, Functional Studies and in vivo Research.
Recombinant human monoclonal antibody to VEGF Receptor 2 for use as a research grade Ramucirumab bio for ELISA, Flow Cytometry, Functional Studies and in vivo Research.
Recombinant humanized monoclonal antibody to VEGF Receptor 2 for use as a research grade Olinvacimab for ELISA, Flow Cytometry, Functional Studies and in vivo Research.