Western blot analysis of lysates from SK-OV3 cells using Anti-VEGFR2 Antibody. The right hand lane represents a negative control, where the antibody is blocked by the immunising peptide.
Immunohistochemical analysis of paraffin-embedded human brain tissue using Anti-VEGFR2 Antibody. The right hand panel represents a negative control, where the antibody was pre-incubated with the immunising peptide.
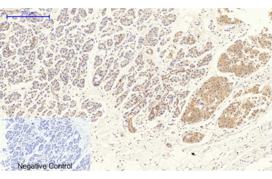
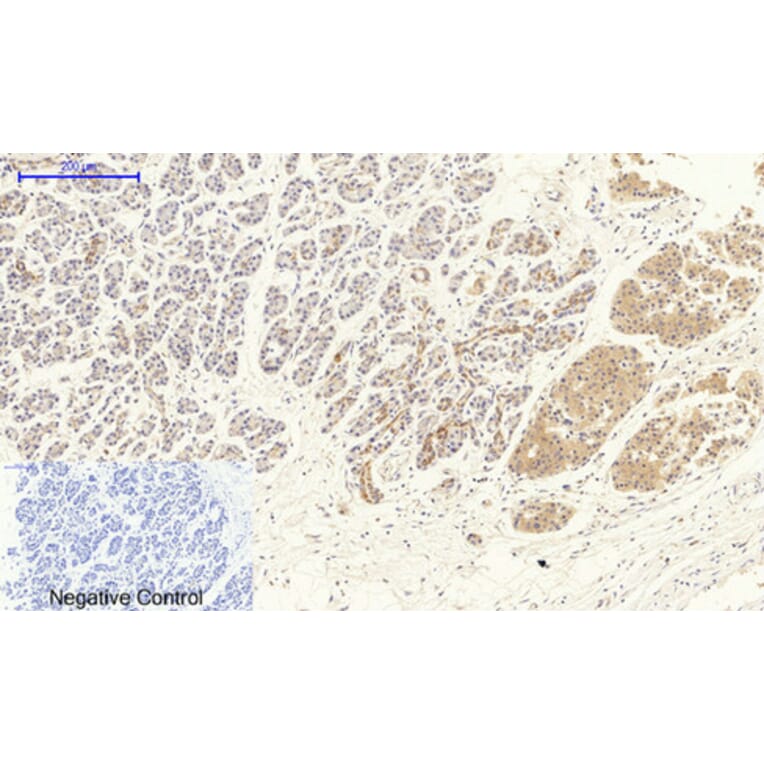
Immunohistochemical analysis of paraffin-embedded human stomach cancer tissue using Anti-VEGFR2 Antibody at 1:200 (4°C overnight). Negative control was secondary antibody only.
Immunohistochemical analysis of paraffin-embedded rat spinal cord tissue using Anti-VEGFR2 Antibody at 1:200 (4°C overnight). Negative control was secondary antibody only.
Immunofluorescence analysis of mouse kidney tissue using Anti-VEGFR2 Antibody (red) at 1:200 (4°C overnight). Cy3 labelled secondary antibody was used at 1:300 (RT 50min). Panel A: Target. Panel B: DAPI. Panel C: Merge.
Immunofluorescence analysis of rat lung tissue using Anti-VEGFR2 Antibody (red) at 1:200 (4°C overnight). Cy3 labelled secondary antibody was used at 1:300 (RT 50min). Panel A: Target. Panel B: DAPI. Panel C: Merge.
Recombinant humanized monoclonal antibody to VEGF Receptor 2 for use as a research grade Olinvacimab for ELISA, Flow Cytometry, Functional Studies and in vivo Research.
Recombinant humanized monoclonal antibody to VEGF Receptor 2 for use as a research grade Alacizumab for ELISA, Flow Cytometry, Functional Studies and in vivo Research.
Recombinant human monoclonal antibody to VEGF Receptor 2 for use as a research grade Ramucirumab bio for ELISA, Flow Cytometry, Functional Studies and in vivo Research.
Recombinant humanized monoclonal antibody to VEGF Receptor 2 for use as a research grade Olinvacimab for ELISA, Flow Cytometry, Functional Studies and in vivo Research.
Recombinant humanized monoclonal antibody to VEGF Receptor 2 for use as a research grade Alacizumab for ELISA, Flow Cytometry, Functional Studies and in vivo Research.
Recombinant human monoclonal antibody to VEGF Receptor 2 for use as a research grade Ramucirumab bio for ELISA, Flow Cytometry, Functional Studies and in vivo Research.