Rabbit polyclonal antibody to VEGFR2 (Phospho-Tyr1214)
Specificity
The antibody detects endogenous level of VEGFR2 only when phosphorylated at tyrosine 1214.
Applications
WB, IHC, ICC/IF
Dilutions
Western blotting: 1:500~1:1000 Immunohistochemistry: 1:50~1:100 Immunofluorescence: 1:100~1:200
Reactivity
Human, Mouse, Rat
Immunogen
Peptide sequence around phosphorylation site of tyrosine 1214 (F-H-Y(p)-D-N) derived from Human VEGFR2.
Host
Rabbit
Clonality
Polyclonal
Conjugate
Unconjugated
Purification
Antibodies were produced by immunizing rabbits with synthetic phosphopeptide and KLH conjugates. Antibodies were purified by affinity-chromatography using epitope-specific phosphopeptide. Non-phospho specific antibodies were removed by chromatogramphy using non-phosphopeptide.
Concentration
1.0 mg/mL
Predicted MW
230kd
Formulation
Supplied in phosphate-buffered saline (without Mg²? and Ca²?), pH 7.4, containing 150 mM NaCl, 0.02% sodium azide, and 50% glycerol.
Storage
Shipped at 4°C. Upon delivery aliquot and store at -20°C. Avoid freeze/thaw cycles.
Western blot analysis of extracts from SKOV3 cells using VEGFR2 (Phospho-Tyr1214) Antibody #11085 (Lane 1) and the same antibody preincubated with blocking peptide (Lane2).
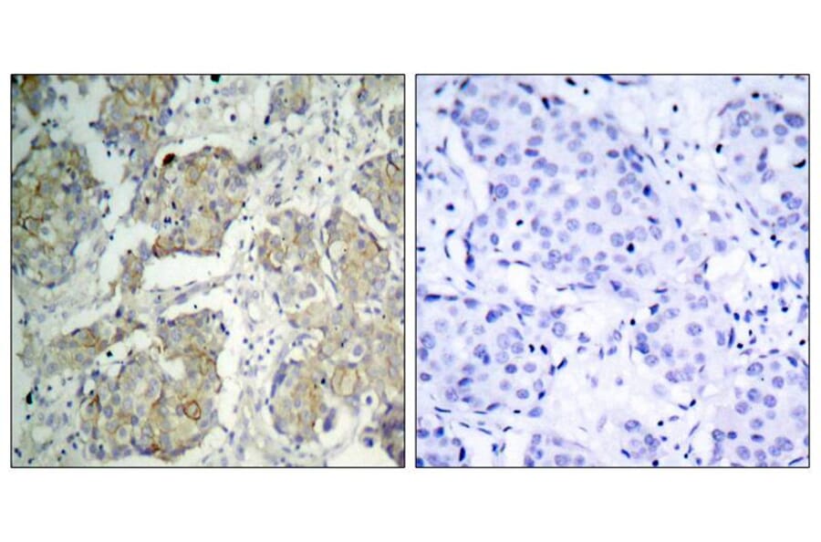
Immunohistochemical analysis of paraffin-embedded human breast carcinoma tissue using VEGFR2 (Phospho-Tyr1214) Antibody #11085 (left) or the same antibody preincubated with blocking peptide (right).
Recombinant humanized monoclonal antibody to VEGF Receptor 2 for use as a research grade Olinvacimab for ELISA, Flow Cytometry, Functional Studies and in vivo Research.
Recombinant humanized monoclonal antibody to VEGF Receptor 2 for use as a research grade Alacizumab for ELISA, Flow Cytometry, Functional Studies and in vivo Research.
Recombinant human monoclonal antibody to VEGF Receptor 2 for use as a research grade Ramucirumab bio for ELISA, Flow Cytometry, Functional Studies and in vivo Research.
Recombinant humanized monoclonal antibody to VEGF Receptor 2 for use as a research grade Olinvacimab for ELISA, Flow Cytometry, Functional Studies and in vivo Research.
Recombinant humanized monoclonal antibody to VEGF Receptor 2 for use as a research grade Alacizumab for ELISA, Flow Cytometry, Functional Studies and in vivo Research.
Recombinant human monoclonal antibody to VEGF Receptor 2 for use as a research grade Ramucirumab bio for ELISA, Flow Cytometry, Functional Studies and in vivo Research.