ISO 9001:2015 Certified
Live Customer Support
4.5/5 on Trustpilot
100% Quality Guarantee

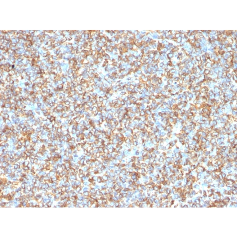
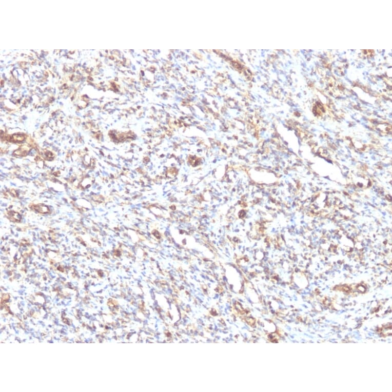
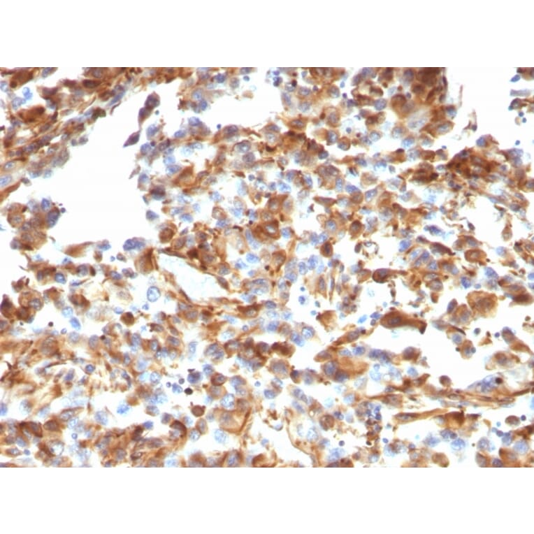
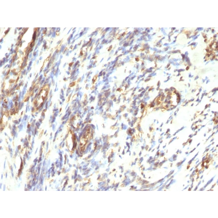
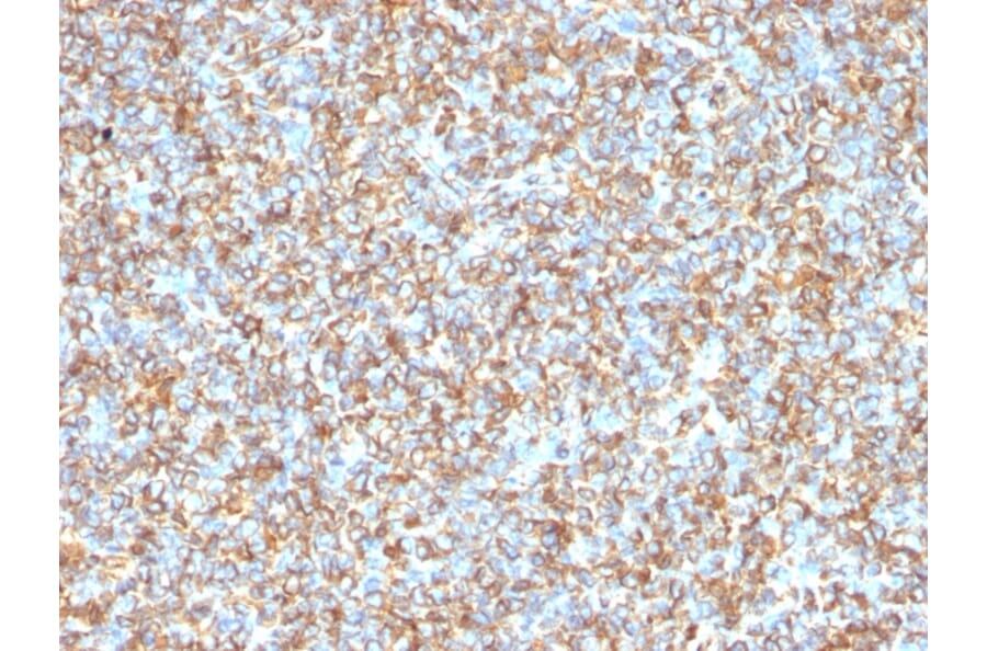
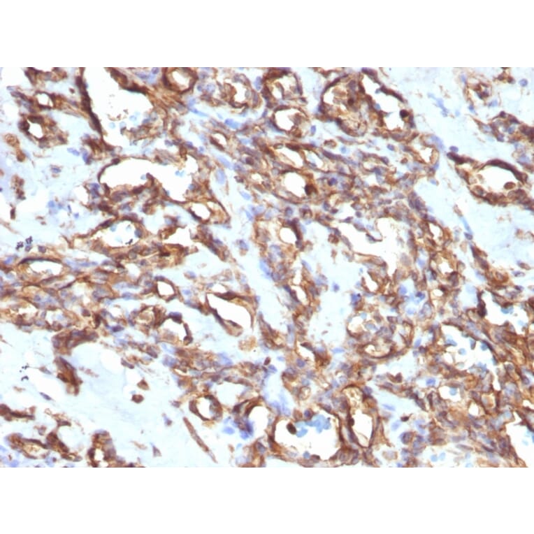
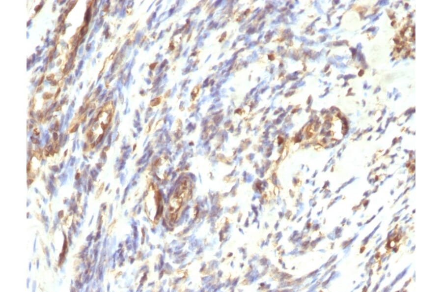
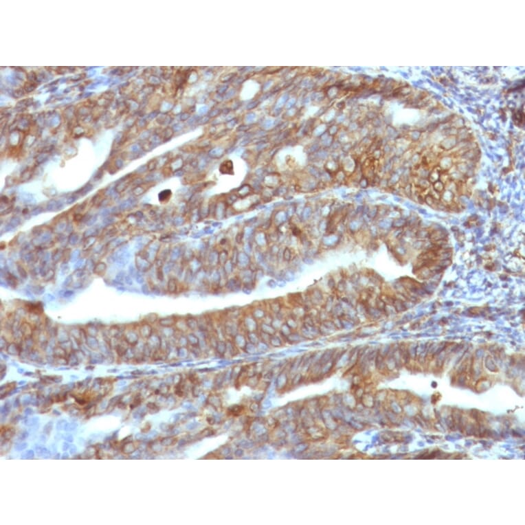
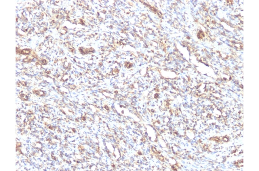
Anti-Vimentin Antibody [VM1170] - BSA and Azide free (A253489)

Mouse monoclonal [VM1170] antibody to Vimentin for WB and IHC-P.

Alternative Formats and ConjugatesAlternative Formats

Shipping Information

$40
Dispatched from St. Louis, MO.
Lead Time: 5-8 business days.
Name
Anti-Vimentin Antibody [VM1170] - BSA and Azide free
Description
Mouse monoclonal [VM1170] antibody to Vimentin.
Specificity
This antibody reacts with a 58kDa protein identified as vimentin. It shows no cross-reaction with other closely related intermediate filament proteins (IFP however, when used in panels with other antibodies, it is useful for the sub-classification of a given tumor. Expression of vimentin, when used in conjunction with anti-keratin, is helpful when distinguishing melanomas from undifferentiated carcinomas and large cell lymphomas. All melanomas and Schwannomas react strongly with anti-vimentin. It labels a variety of mesenchymal cells, including melanocytes, lymphocytes, endothelial cells, and fibroblasts. Non-reactivity of anti-vimentin is often considered more useful than its positive reactivity, since there are a few tumors that do not contain vimentin, e.g. hepatoma and seminoma. Anti-vimentin is also useful as a tissue process control reagent.
Applications
WB, IHC-P
Dilutions
WB: 1-2 µg/ml, IHC-P: 1-2 µg/ml
Reactivity
Human
Cross Reactivity
This antibody does not cross react with Mouse or Rat.
Immunogen
Recombinant full-length human Vimentin protein.
Host
Mouse
Clonality
Monoclonal
Clone ID
VM1170
Isotype
IgG1
Light Chains
kappa
Conjugate

Unconjugated

Purification
Protein A/G chromatography.
Concentration
1 mg/ml
Molecular Weight
57-60 kDa
Product Form
Liquid
Formulation
Supplied in 10mM Phosphate Buffered Saline; without Sodium Azide and carrier free.
Storage
Shipped at 4°C. Upon delivery aliquot and store at -20°C. Avoid freeze / thaw cycles.
General Notes
This monoclonal antibody is also available in a different formulation with BSA and Sodium Azide - Anti-Vimentin Antibody [VM1170] (A250309).
Synonyms
VIM
Disclaimer
This product is for research use only. It is not intended for diagnostic or therapeutic use.
Publishing research using Anti-Vimentin Antibody [VM1170] - BSA and Azide free (A253489)? Please let us know so that we can list the citation on this page.

Most popular Anti-Vimentin Antibodies

Alternative products to Anti-Vimentin Antibody [VM1170] - BSA and Azide free (A253489)

Proteins predicted to interact with Vimentin

Predicted protein interactions based upon String database. Revelancy score correlates with probability of interaction.
95.7% Relevancy Score
93.4% Relevancy Score
93.2% Relevancy Score
92.7% Relevancy Score
92.3% Relevancy Score
91.6% Relevancy Score
90.8% Relevancy Score
90% Relevancy Score
89.9% Relevancy Score