This antibody is not recommended for use on human tissues.
Immunogen
Recombinant fragment corresponding to amino acids 956-1,322 of mouse Ki67, a region corresponding to 2nd, 3rd, and 4th Ki67 type repeats, expressed in and purified from E. coli.
Host
Rabbit
Clonality
Polyclonal
Isotype
IgG
Conjugate
Unconjugated
Molecular Weight
345 kDa, 395 kDa
Purity
Whole antiserum.
Product Form
Liquid
Formulation
Supplied as an aliquot of serum with 5mM Sodium Azide.
Storage
Shipped at 4°C. Upon delivery aliquot and store at -20°C. Avoid freeze/thaw cycles.
General Notes
Please note, Ki67 proteins are very unstable and only expressed in large amounts in situations where many cells are dividing. As a result of the very short half life of Ki67 there are usually numerous fragments visible on western blots running below the major 395 kDa and 345 kDa bands.
Synonyms
Antigen identified by monoclonal antibody Ki-67, Antigen KI-67, Antigen Ki67, MKI67, Proliferation marker protein Ki-67
Immunofluorescent analysis of mouse NIH/3T3 cells stained with Anti-Ki67 Antibody (A270579) at a dilution of 1:1,000, red. Nuclei were stained with Hoechst (blue). The Anti-Ki67 Antibody (A270579) stains Ki-67 protein predominantly expressed in nucleoli of cells in interphase, while cells in the quiescent G0 state do not express Ki-67 protein. Dividing cells express Ki67 surrounding condensed chromosomes.
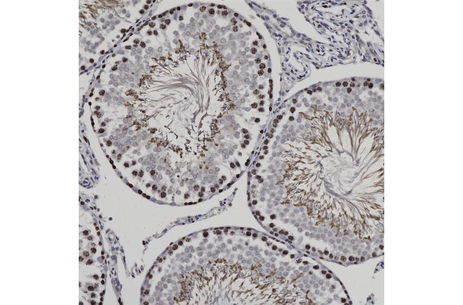
Immunohistochemistry analysis of a 4%PFA fixed paraffin embedded rat testes section with Anti-Ki67 Antibody (A270579) at a dilution of 1:2,000. Anti-Ki67 Antibody (A270579) strongly labels the nuclei of spermatogenic cells. Note: this antibody was not tested for staining on NBF fixed tissues. Both rat and mouse tissues stain effectively with Anti-Ki67 Antibody (A270579).
Western blot analysis of cytosol and nuclear fractions from different cell line lysates using Anti-Ki67 Antibody (A270579) at a dilution of 1:1,000 (green). The lanes contain: [Lane 1] protein standard (red), [Lane 2] extracts of HeLa cells cytosol, [Lane 3] HeLa cells nuclear fraction, [Lane 4] HEK293 cytosol, [Lane 5] HEK293 nuclear fraction, [Lane 6] NIH/3T3 cytosol, [Lane 7] NIH/3T3 nuclear fraction, [Lane 8] C6 cytosol, and [Lane 9] C6 nuclear fraction. Strong bands above 250 kDa mark correspond to two major isoforms of Ki-67 protein expressed in rat NIH/3T3 and glioma cell line C6. Smaller fragments of these isoforms are also detected on the blot in all cell lines.
Publishing research using Anti-Ki67 Antibody (A270579)? Please let us know so that we can list the citation on this page.