Western blot analysis of various lysates, using Anti-MAP2 Antibody (A91285) at 1:2,000 dilution. The secondary antibody was Goat Anti-Rabbit IgG H&L Antibody (HRP) at 1:10,000 dilution. Lysates/proteins were present at 25µg per lane. The blocking buffer used was 3% non-fat dry milk in TBST. Detection was with a ECL Basic Kit. Exposure time: 10s.
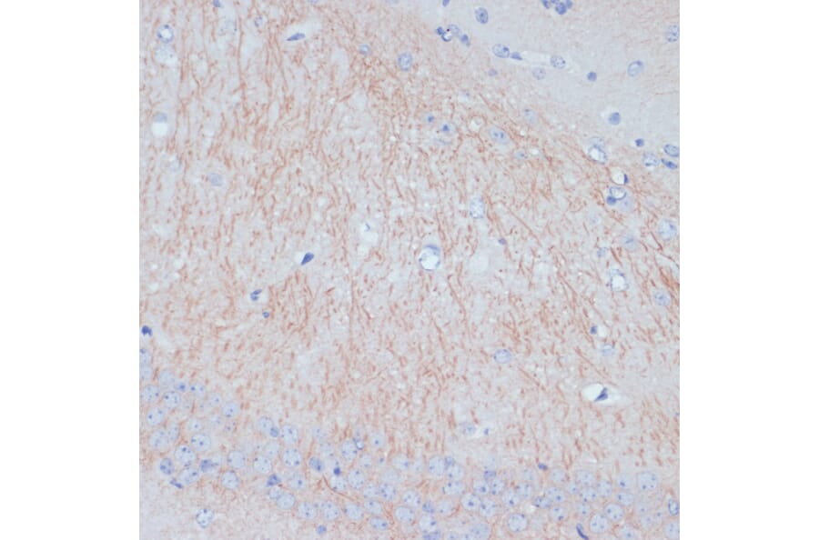
Immunohistochemistry analysis of paraffin-embedded rat brain using Anti-MAP2 Antibody (A91285) at a dilution of 1:100 (40x lens). Perform microwave antigen retrieval with 10 mM PBS buffer pH 7.2 before commencing with IHC staining protocol.
Immunohistochemistry analysis of paraffin-embedded rat brain using Anti-MAP2 Antibody (A91285) at a dilution of 1:100 (40x lens). Perform microwave antigen retrieval with 10 mM PBS buffer pH 7.2 before commencing with IHC staining protocol.
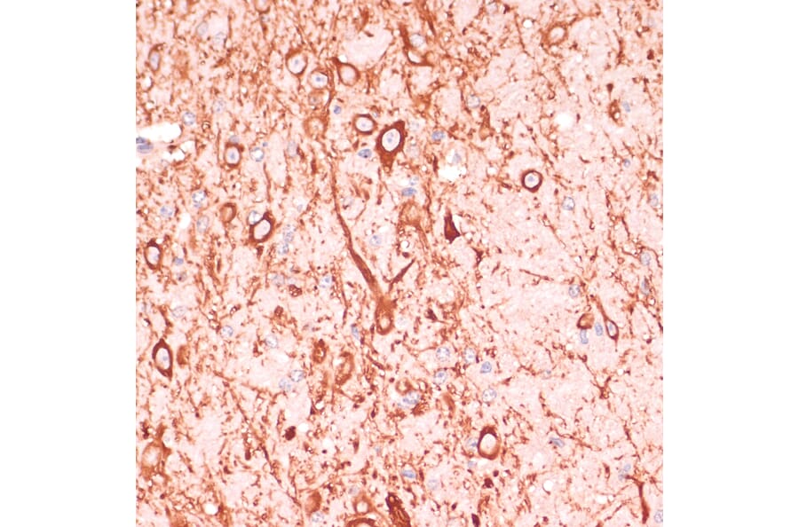
Immunohistochemistry analysis of paraffin-embedded mouse brain using Anti-MAP2 Antibody (A91285) at a dilution of 1:100 (40x lens). Perform microwave antigen retrieval with 10 mM PBS buffer pH 7.2 before commencing with IHC staining protocol.
Immunohistochemistry analysis of paraffin-embedded mouse brain using Anti-MAP2 Antibody (A91285) at a dilution of 1:100 (40x lens). Perform microwave antigen retrieval with 10 mM PBS buffer pH 7.2 before commencing with IHC staining protocol.
Immunofluorescence analysis of mouse brain cells using Anti-MAP2 Antibody (A91285) at a dilution of 1:20 (40x lens). DAPI was used to stain the cell nuclei (blue).
Immunofluorescence analysis of rat brain cells using Anti-MAP2 Antibody (A91285) at a dilution of 1:20 (40x lens). DAPI was used to stain the cell nuclei (blue).