ISO 9001:2015 Certified
Live Customer Support
4.5/5 on Trustpilot
100% Quality Guarantee

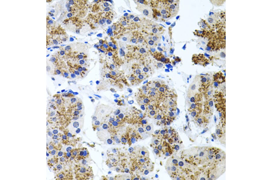
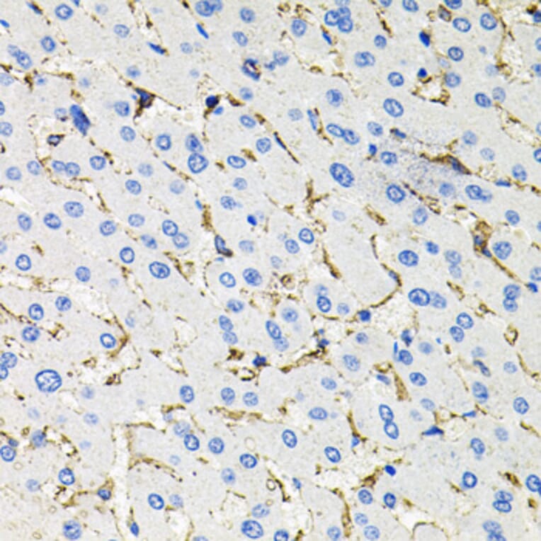
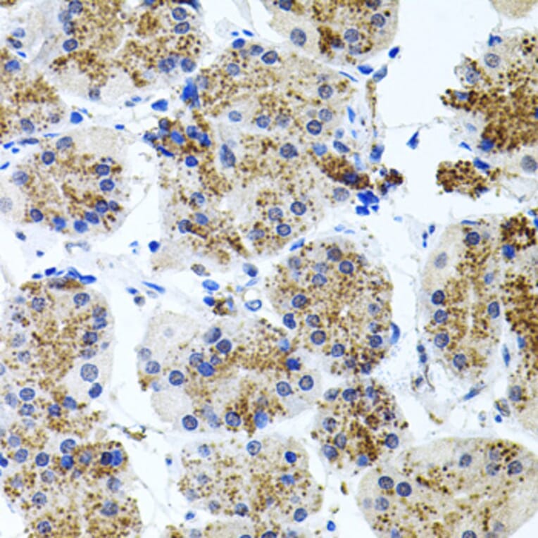
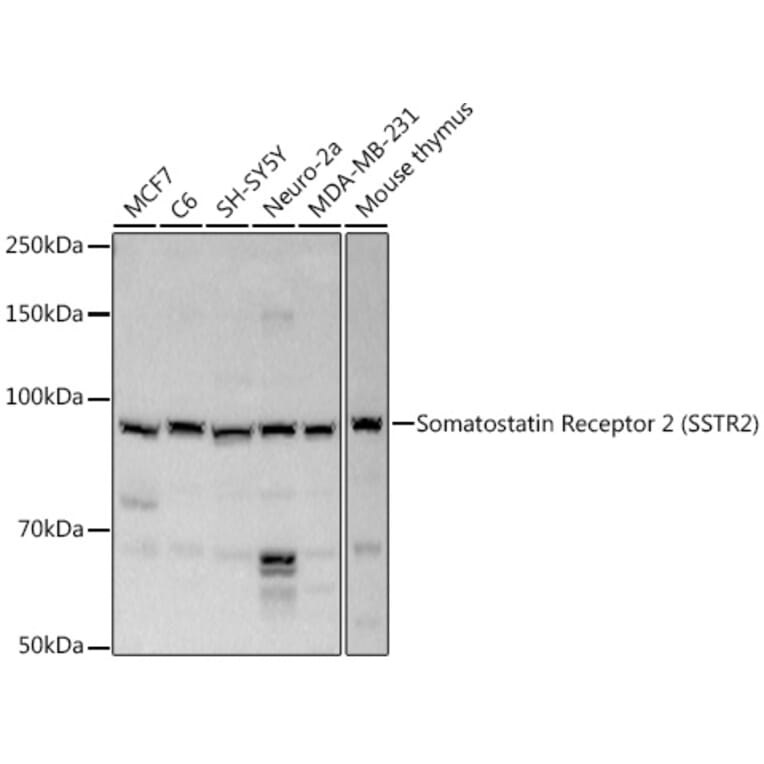
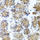
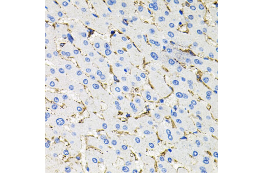
Anti-Somatostatin Receptor 2 Antibody (A14373)

Rabbit polyclonal antibody to Somatostatin Receptor 2 for WB and IHC.

Shipping Information

$40
Dispatched from St. Louis, MO.
Lead Time: 7-10 business days.
Name
Anti-Somatostatin Receptor 2 Antibody
Description
Rabbit polyclonal antibody to Somatostatin Receptor 2.
Applications
WB, IHC
Dilutions
WB: 1:500-1:1,000, IHC: 1:50-1:100
Reactivity
Human, Mouse, Rat
Immunogen
Recombinant fusion protein containing a sequence corresponding to amino acids 302-369 of human Somatostatin Receptor 2 (SSTR2) (NP_001041.1).
Sequence
YANSCANPILYAFLSDNFKKSFQNVLCLVKVSGTDDGERSDSKQDKSRLNETTETQRTLLNGDLQTSI
Host
Rabbit
Clonality
Polyclonal
Isotype
IgG
Conjugate

Unconjugated

Purification
Affinity purification.
Concentration
Lot Specific
Molecular Weight
87 kDa
Product Form
Liquid
Formulation
Supplied in Phosphate Buffered Saline, pH 7.3, with 50% Glycerol and 0.05% Proclin 300.
Storage
Shipped at 4°C. Upon delivery aliquot and store at -20°C. Avoid freeze/thaw cycles.
Synonyms
Somatostatin receptor type 2, SRIF-1, SRIF1, SS-2-R, SS2-R, SS2R, SSR2_HUMAN, SST2, SSTR2
Disclaimer
This product is for research use only. It is not intended for diagnostic or therapeutic use.
Publishing research using Anti-Somatostatin Receptor 2 Antibody (A14373)? Please let us know so that we can list the citation on this page.

Alternative products to Anti-Somatostatin Receptor 2 Antibody (A14373)