Epithelial Cell Markers

Lucas Baumard, PhD | 14th April 2025

Epithelial cells are one of the most abundant cell types throughout the body, covering the skin, lining blood vessels (see Endothelial Cell Markers) as well as the respiratory, genital-urinary and digestive tracts.

Epithelial cells are found throughout the body and are highly specialized by function, shape and orientation, to their tissue and niche. Therefore, epithelial cell markers differ based on location, tissue and differentiation state, with the re-emergence of stem cell-like markers in differentiated epithelial cells being a hallmark of tumorigenesis.

Table of Contents

Epithelial Cell Function

Epithelial cells are classically characterized by their shape and how they organize (Figure 1): squamous, cuboidal, columnar, and simple, stratified, transitional, respectively. Most epithelial cells throughout the body act as barrier cells, secretory cells or regulate absorption.

Different types of epithelial morphologies alongside their functions and locations

Figure 1: Epithelial cell morphologies and functions. Reproduced under Creative Commons 4.0 CC-BY from Ambrogi, M & Vezina, CM. Roles of airway and intestinal epithelia in responding to pathogens and maintaining tissue homeostasis. Front. Cell. Infect. Microbiol. 14 (2024).

In their roles as barrier and secretory cells, epithelial cells possess several distinct polarities: the apical aspect faces the lumen or externally; the basal aspect connects to the basal lamina; the luminal aspect links neighboring cells. Because of this, and combined with their numerous niches and tissues of residence, epithelial cells possess a large number of varied cell surface markers whose expression can vary with, and be directly linked to, diseases like cancer, epithelial mesenchymal transition, fibrosis, asthma, COPD, Crohn’s and celiac disease.

The wide range of diseases and clinical conditions associated with epithelial dysfunction reflects their diverse roles throughout the body. For instance, epithelial cells within the respiratory tract feature ciliated and secretory cells and play a pivotal role in maintaining mucociliary clearance.23 Their dysregulation is associated with chronic obstructive pulmonary disease (COPD) and asthma.24 Meanwhile, epithelial cells within the mammary glands fulfil several different roles, from luminal, cuboidal epithelial cells that form milk-producing structures, to myoepithelial cells which provide shape and support.25 BRCA1-associated breast cancers have been linked to the progenitors of these luminal epithelial cells.26

Pan-Epithelial Cell Markers

Epithelial cells share common features despite a varied origin and function. Epithelial cells most often are bound to either each other (adherens junctions, tight junctions, desmosomes1) or a basement membrane, (trans-membrane integrin heterodimers2). Examples of some of these more common epithelial cell markers include:

  • Keratins, cytokeratins
  • Ep-CAM
  • MUC1
  • Claudins
  • CEA

Anti-Claudin 3 Antibody [ABT-CLD3] (A97074) - IHC

Figure 2: IHC of human Intestine stained with Anti-Claudin 3 Antibody [ABT-CLD3] (A97074).

Anti-Cytokeratin 19 Antibody [A53-B/A2] (FITC) (A86359) - Flow cytometry

Figure 3: Flow cytometry analysis of MCF-7 human breast adenocarcinoma cell line with Anti-Cytokeratin 19 Antibody [A53-B/A2] (FITC) (A86359).

Epithelial Developmental Markers

Epithelial Lineage Markers

During embryogenesis and development, epithelial cells can derive either from the ectoderm, mesoderm, or endoderm 1. A brief summary of these germ layers and their common markers can be found in Table 1.

Germ Layer Mature Tissues Markers References
Endoderm Digestive and respiratory tract CXCR4, KIT, EPCAM, SOX17, GATA4 3-6
Ectoderm Brain, spinal cord, nerves, skin NES, PAX6 7,8
Mesoderm Bone, cartilage, muscles NCAM1, TBXT 9,10

Table 1: Epithelial developmental lineage markers

After embryogenesis, the development and maintenance of epithelial cells and tissues differs drastically depending on their location and function.

Epithelial Markers in the Digestive Tract

In the esophagus, multiple basal cell layers (not stem cells) give rise to various differentiated basal epithelial sub types before reaching the fully differentiated luminal-facing epithelial cell.16 Research has shown that the activity of bone morphogenetic proteins (BMPs) on BMP receptors promotes normal squamous differentiation of basal progenitor cells in the adult esophagus, whereas BMP inhibition drives eosinophilic esophagitis.17

Throughout the colon and small intestine, the stem cells that give rise to the epithelium are located in the base of regions called crypts. As the cells move up the crypt, they cease proliferation and begin differentiation into the different cell lineages of the mature villi: enteroendocrine cells and goblet cells, for example.1 The loss of E-cadherin function here has been shown to promote epithelial-mesenchymal transition (EMT),11 and the switch to N-cadherin is associated with tumorigenesis.12

Anti-BMPR2 Antibody (A87724) - Western blot

Figure 4: Western blot of various lysates using Anti-BMPR2 Antibody (A87724).

Anti-N Cadherin Antibody [MNCD2] (A248060) - IHC

Figure 5: IHC of human heart with Anti-N Cadherin Antibody [MNCD2] (A248060).

Epithelial-Mesenchymal Transition (EMT)

EMT is the process by which epithelial cells lose their typically close adhesion to nearby cells and adopt the migratory and invasive phenotype of mesenchymal cells instead, enhancing their production of extra-cellular matrix (ECM) components and gaining resistance to apoptosis. EMT is a necessary biological process during embryonic and organ development, but is also associated with cancer and metastasis.

A hallmark of EMT is the movement of cells from the basement membrane through the ECM. Changes to cell-ECM interactions can be reflected in changing expression of the Integrin family of transmembrane receptors.13 In other situations, integrins can drive EMT. The alphav beta6 integrin (normally associated with wound healing and embryogenesis) has been shown to enhance tumorigenesis through autocrine release of TGF-β (another important EMT factor)14 and increased migration.15

Carcinoembryonic Antigen (CEA) in Developing and Mature Epithelium

Carcinoembryonic antigen (CEA) is an oncofetal antigen: it is uncommonly expressed after fetal development yet is highly expressed in a some cancers.18 CEA is expressed on only a few, specific epithelial cells within healthy adult tissue, making it a useful marker for these cells (Table 1).

Tissue Cell Types Reference
Colon Columnar epithelial cells, Goblet cells 19-21
Stomach Mucous neck cells, Pyloric mucous cells 22
Tongue, esophagus, cervix Squamous epithelial cells 20
Pancreas Secretory epithelia, Duct cells of sweat glands 21

Table 2: CEA expression in different epithelial subtypes

Epithelial Adhesion Markers

Epithelial cells form 2D sheets and 3D layers depending on tissue type and are therefore in contact with each other as well as neighboring cell types (Figure 6). In their role as barriers, the expression of binding proteins on the luminal surfaces of epithelial cells regulates the rigidity and porosity of the barrier. In turn this can regulate absorption and secretion and prevent the ingress of pathogens. Some of these markers are downregulated in various tumors, which can help prevent immune cell integration and killing.27

Epithelial cell junction proteins

Figure 6: Epithelial cell junction proteins.

Of these adhesion markers, epithelial cell adhesion molecule (EpCAM or TACST-1, TROP1, CD326) is one of the most well studied, being expressed in most epithelial cell types throughout the body and over expressed in an equal number of cancers in various tissues.28 This transmembrane glycoprotein mediates cell-cell adhesion but is structurally different to the other adhesion protein families.29

Claudins are a moderately large (24 member) family of tight-junction, transmembrane proteins widely expressed on epithelial cells.30 They are important proteins in the regulation of intra-cellular transport.31 Mutations in the claudin genes are associated with metabolic and mineral-dependent diseases such as kidney failure and magnesium wasting disease.32 Their expression is highly upregulated in some cancers, whilst down regulated in others.33

Anti-EpCAM Antibody [EGP40/837] (A249262) - Immunofluorescence

Figure 7: Immunofluorescence of MCF-7 cells using Anti-EpCAM Antibody [EGP40/837] (A249262) in green. Nuclei are stained with NucSpot in red.

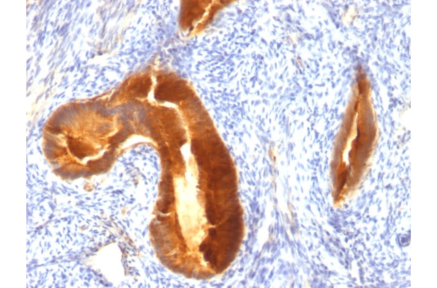
Anti-Claudin 4 Antibody [ABT-CLD4] (A97073) - IHC

Figure 8: IHC of human colon with Anti-Claudin 4 Antibody [ABT-CLD4] (A97073).

Epithelial Structural Markers

Epithelial cell proteins can also provide structural support for either their host cell or neighboring cells.

The keratin (or cytokeratin) family are filament forming proteins that make up the main cytoskeletal component of epithelial cells and provide mechanical support. They are broadly divided into type I and type II (Ka- and Kb- prefixes, respectively), with epithelial keratins including both types.34 There are 54 members across these two types. Though mostly associated with epithelial cells, they are also expressed on some endothelial35 and muscle cell types.36

Mutations in the keratins genes are linked to specific tissue-fragility disorders and cancer,35 with antibodies against the proteins being a useful tool in diagnostic pathology. Keratins are also associated with various tumor types:29 overexpression of keratin-19,37 and the loss of keratin-8 and -18, are markers of epithelial mesenchymal transition.38 Antibodies against keratin can be found against individual keratin proteins or against several keratin proteins. The antibodies MOC31 and CK AE1/AE3 are commonly used to diagnose a positive cancer state by the positive presence of keratins.

Epithelial membrane antigen (or MUC1), is a glycoprotein expressed on the apical surface of glandular epithelial cells, where it maintains a physically barrier and prevents adhesion of pathogens.39 It is also able to bind growth factors such as connective tissue growth factor, platelet-derived growth factor A and B and epidermal growth factor.40 Overactivation of this protein is associated with cancer proliferation and survival.

Anti-Cytokeratin 8 Antibody [K8/383] (A249150) - Immunofluorescence

Figure 9: Immunofluorescence of HeLa cells using Anti-Cytokeratin 8 Antibody [K8/383] (A249150) in green. Nuclei are stained with RedDot in red.

Anti-MUC1 Antibody [MUC1/955] (A249396) - IHC

Figure 10: IHC of human endometrial carcinoma with Anti-MUC1 Antibody [MUC1/955] (A249396).

Methods to Study Epithelial Populations

Because epithelial cells are typically part of larger tissue structures, they are most commonly studied by Immunohistochemistry (IHC). IHC allows the rapid identification of specific epithelial sub-types and measuring the change in expression of surface markers important for disease diagnosis and prognosis. Prepared patient tissue in the form of whole tissue or biopsies allows the visualization of tissue structure and cell make-up, with fluorescent IHC adding useful details such as the location of markers on and within individual cells. This is particularly relevant to epithelial cells due to their distinct polarities, which affects the types of proteins present across the cell.

Once epithelial cells have been detached from both the extracellular/ basal matrix and each other, they can be stained with antibodies in preparation for Flow cytometry. Depending on the available equipment, 10s of markers can be identified; extracellular, intracellular and intranuclear allowing the study of the transport and expression of proteins and the isolation of specific subtypes of epithelial cell.

Epithelial Cell Marker Antibodies

References

Diagrams created using BioRender.

  1. Blanpain, C., Horsley, V. & Fuchs, E. Epithelial stem cells: turning over new leaves. Cell 128, 445-458 (2007).
  2. Giancotti, F. G. & Tarone, G. Positional control of cell fate through joint integrin/receptor protein kinase signaling. Annu Rev Cell Dev Biol 19, 173-206 (2003).
  3. Green, M. D. et al. Generation of anterior foregut endoderm from human embryonic and induced pluripotent stem cells. Nature Biotechnology 29, 267-272 (2011).
  4. Nostro, M. C. et al. Stage-specific signaling through TGFβ family members and WNT regulates patterning and pancreatic specification of human pluripotent stem cells. Development 138, 861-871 (2011).
  5. Kanai-Azuma, M. et al. Depletion of definitive gut endoderm in Sox17-null mutant mice. Development 129, 2367-2379 (2002).
  6. Fujikura, J. et al. Differentiation of embryonic stem cells is induced by GATA factors. Genes Dev 16, 784-789 (2002).
  7. Lendahl, U., Zimmerman, L. B. & McKay, R. D. CNS stem cells express a new class of intermediate filament protein. Cell 60, 585-595 (1990).
  8. Zhang, X. et al. Pax6 is a human neuroectoderm cell fate determinant. Cell Stem Cell 7, 90-100 (2010).
  9. Evseenko, D. et al. Mapping the first stages of mesoderm commitment during differentiation of human embryonic stem cells. Proceedings of the National Academy of Sciences 107, 13742-13747 (2010).
  10. Wilkinson, D. G., Bhatt, S. & Herrmann, B. G. Expression pattern of the mouse T gene and its role in mesoderm formation. Nature 343, 657-659 (1990).
  11. Hay, E. D. & Zuk, A. Transformations between epithelium and mesenchyme: Normal, pathological, and experimentally induced. American Journal of Kidney Diseases 26, 678-690 (1995).
  12. Zeisberg, M. & Neilson, E. G. Biomarkers for epithelial-mesenchymal transitions. J Clin Invest 119, 1429-1437 (2009).
  13. Li, Y., Yang, J., Dai, C., Wu, C. & Liu, Y. Role for integrin-linked kinase in mediating tubular epithelial to mesenchymal transition and renal interstitial fibrogenesis. J Clin Invest 112, 503-516 (2003).
  14. Oft, M., Heider, K. H. & Beug, H. TGFbeta signaling is necessary for carcinoma cell invasiveness and metastasis. Curr Biol 8, 1243-1252 (1998).
  15. Bates, R. C. et al. Transcriptional activation of integrin beta6 during the epithelial-mesenchymal transition defines a novel prognostic indicator of aggressive colon carcinoma. J Clin Invest 115, 339-347 (2005).
  16. Zhang, Y., Bailey, D., Yang, P., Kim, E. & Que, J. The development and stem cells of the esophagus. Development 148 (2021).
  17. Jiang, M. et al. BMP-driven NRF2 activation in esophageal basal cell differentiation and eosinophilic esophagitis. The Journal of Clinical Investigation 125, 1557-1568 (2015).
  18. Hammarström, S. The carcinoembryonic antigen (CEA) family: structures, suggested functions and expression in normal and malignant tissues. Seminars in Cancer Biology 9, 67-81 (1999).
  19. Stanners, C. P. Cell Adhesion and Communication Mediated by the CEA Family. (1998).
  20. Nap, M., Mollgard, K., Burtin, P. & Fleuren, G. J. Immunohistochemistry of Carcino-Embryonic Antigen in the Embryo, Fetus and Adult. Tumor Biology 9, 145-153 (2009).
  21. Nap, M. et al. Specificity and Affinity of Monoclonal Antibodies against Carcinoembryonic Antigen1. Cancer Research 52, 2329-2339 (1992).
  22. Prall, F. et al. CD66a (BGP), an adhesion molecule of the carcinoembryonic antigen family, is expressed in epithelium, endothelium, and myeloid cells in a wide range of normal human tissues. Journal of Histochemistry & Cytochemistry 44, 35-41 (1996).
  23. Crystal, R. G., Randell, S. H., Engelhardt, J. F., Voynow, J. & Sunday, M. E. Airway epithelial cells: current concepts and challenges. Proc Am Thorac Soc 5, 772-777 (2008).
  24. Puchelle, E., Zahm, J. M., Tournier, J. M. & Coraux, C. Airway epithelial repair, regeneration, and remodeling after injury in chronic obstructive pulmonary disease. Proc Am Thorac Soc 3, 726-733 (2006).
  25. Biswas, S. K., Banerjee, S., Baker, G. W., Kuo, C. Y. & Chowdhury, I. The Mammary Gland: Basic Structure and Molecular Signaling during Development. Int J Mol Sci 23 (2022).
  26. Molyneux, G. et al. Basal-like Breast Cancers Originate from Luminal Epithelial Progenitors and Not from Basal Stem Cells. Cell Stem Cell 7, 403-417 (2010).
  27. Harjunpää, H., Llort Asens, M., Guenther, C. & Fagerholm, S. C. Cell Adhesion Molecules and Their Roles and Regulation in the Immune and Tumor Microenvironment. Frontiers in Immunology 10 (2019).
  28. Momburg, F., Moldenhauer, G., Hämmerling, G. J. & Möller, P. Immunohistochemical Study of the Expression of a Mr 34,000 Human Epithelium-specific Surface Glycoprotein in Normal and Malignant Tissues1. Cancer Research 47, 2883-2891 (1987).
  29. Ordóñez, N. G. Broad-spectrum immunohistochemical epithelial markers: a review. Human Pathology 44, 1195-1215 (2013).
  30. Lal-Nag, M. & Morin, P. J. The claudins. Genome Biology 10, 235 (2009).
  31. Van Itallie, C. M. & Anderson, J. M. Claudins and epithelial paracellular transport. Annu Rev Physiol 68, 403-429 (2006).
  32. Simon, D. B. et al. Paracellin-1, a renal tight junction protein required for paracellular Mg2+ resorption. Science 285, 103-106 (1999).
  33. Morin, P. J. Claudin proteins in human cancer: promising new targets for diagnosis and therapy. Cancer Res 65, 9603-9606 (2005).
  34. Schweizer , J. r. et al. New consensus nomenclature for mammalian keratins. Journal of Cell Biology 174, 169-174 (2006).
  35. Remotti, F., Fetsch, J. F. & Miettinen, M. Keratin 1 expression in endothelia and mesenchymal tumors: an immunohistochemical analysis of normal and neoplastic tissues. Hum Pathol 32, 873-879 (2001).
  36. Brown, D., Theaker, J., Banks, P., Gatter, K. & Mason, D. Cytokeratin expression in smooth muscle and smooth muscle tumours. Histopathology 11, 477-486 (1987).
  37. Noroozinia, F., Gheibi, A., Ilkhanizadeh, B. & Abbasi, A. Ck19 is a Useful Marker in Distinguishing Follicular Variant of Papillary Thyroid Carcinoma from Benign Thyroid Lesions with Follicular Growth Pattern. Acta Endocrinol (Buchar) 12, 387-391 (2016).
  38. Fortier, A. M., Asselin, E. & Cadrin, M. Keratin 8 and 18 loss in epithelial cancer cells increases collective cell migration and cisplatin sensitivity through claudin1 up-regulation. J Biol Chem 288, 11555-11571 (2013).
  39. Nath, S. & Mukherjee, P. MUC1: a multifaceted oncoprotein with a key role in cancer progression. Trends in Molecular Medicine 20, 332-342 (2014).
  40. Hattrup, C. L. & Gendler, S. J. MUC1 alters oncogenic events and transcription in human breast cancer cells. Breast Cancer Res 8, R37 (2006).