Supplied in Phosphate Buffered Saline with 50% Glycerol and 5mM Sodium Azide.
Storage
Shipped at 4°C. Upon delivery aliquot and store at -20°C. Avoid freeze/thaw cycles.
General Notes
This antibody can be used to verify the expression, size, and stability of both AcGFP and eGFP fusion proteins in western blotting experiments, and to amplify GFP signals in tissues of transgenic animals.
Immunofluorescent analysis of transfected HEK293 cells with a GFP construct, in green, and stained with Anti-GFP Antibody (A85298), dilution 1:2,000, in red. The blue is Hoechst staining of nuclear DNA. The Anti-GFP Antibody reveals GFP protein expressed only in transfected cells, and as a result these cells appear orange-yellow in color.
Western blot analysis of lysates of transfected HEK293 using Anti-GFP Antibody (A85298), in green, dilution 1:2,000. The lanes contain: [Lane 1] protein standard, [Lane 2] non-transfected control cells, [Lane 3] cells transfected with a GFP construct, and [Lane 4] cells transfected with mCherry construct. The strong band at ~27 kDa corresponds to GFP protein, detected only in cells transfected with GFP construct. The antibody does not recognize mCherry. The same blot was simultaneously probed with Anti-beta Tubulin Antibody (A85429), dilution 1:10,000, in red. The single band ~50 kDa represents beta-tubulin protein expressed in all preparations.
Transfected HEK293 cells which overexpress a GFP-fusion protein including a nuclear localization sequence were stained with Anti-GFP Antibody and viewed using a microscope. Most HEK293 cells are not transfected so only the nucleus of these cells can be visualized with a blue DNA stain. Cells which are transfected with GFP are bright green. On staining with Anti-GFP Antibody (red) - cells appear orange. The red antibody staining is only seen in cells which express GFP, as expected, and the superimposition of the green and red signals results in the orange color.
Blot of HEK293 cells transfected with pFin-EF1-GFP vector (lane 1) and non-transfected cells (lane 2) probed with Anti-GFP Antibody, at a dilution of 1:2,000). There is a strong clean band at ~27 kDa corresponding to GFP in GFP-transfected cells, which is not in non-transfected cells.
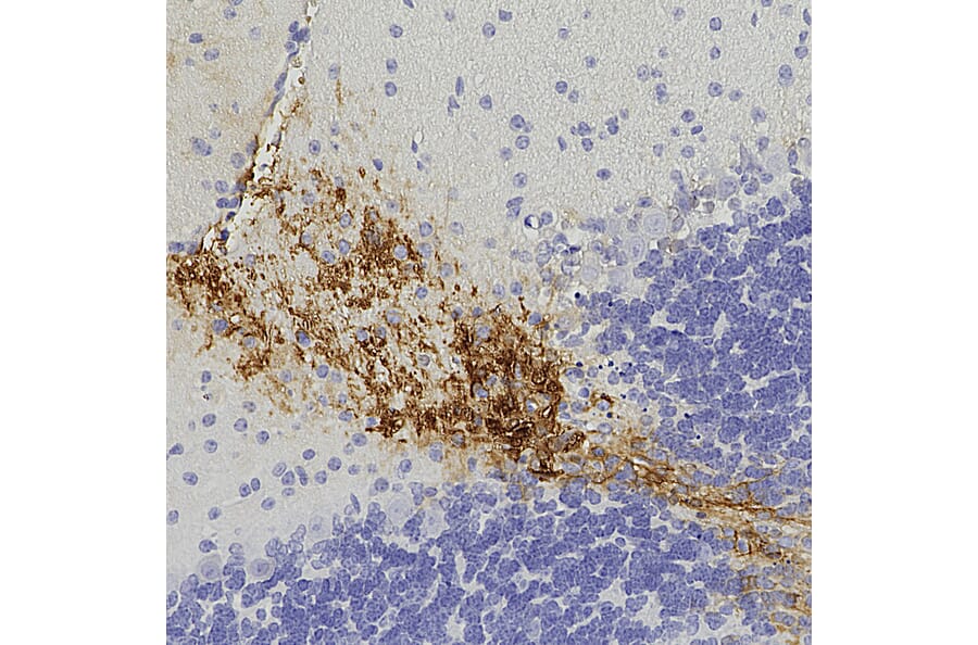
Immunohistochemistry analysis of formalin fixed paraffin embedded section of Anti-GFP Antibody (A85298) injected mouse brain at a dilution of 1:2,000 detected with DAB (brown) using the Vector Labs ImmPRESS method and reagents with citra buffer retrieval. Counterstained with Hematoxylin (blue). Anti-GFP Antibody (A85298) specifically detected GFP at the injection site.