Supplied in Phosphate Buffered Saline with 50% Glycerol and 5mM Sodium Azide.
Storage
Shipped at 4°C. Store at +4°C. Do not freeze!
General Notes
This antibody can be used to verify the expression, size, and stability of both AcGFP and eGFP fusion proteins in western blotting experiments, and to amplify GFP signals in tissues of transgenic animals.
Immunofluorescent analysis of transfected HEK293 cells with a GFP fusion protein construct, in green, and stained with Anti-GFP Antibody (A85300), dilution 1:1,000, in red. The blue is DAPI staining of nuclear DNA. The Anti-GFP Antibody (A85300) reveals GFP protein expressed only in transfected cells, and as a result these cells appear golden yellow in color. Top: merged image. Bottom: individual channels.
Western blot analysis of HEK293 cell lysates using Anti-GFP Antibody (A85300), dilution 1:1,000, in green. The lanes contain [Lane 1] protein standards, [Lane 2] non-transfected control cells, [Lane 3] cells transfected with a GFP construct and [Lane 4] cells transfected with an mCherry construct. The strong band at ~27 kDa corresponds to the GFP protein, which is detected only in cells transfected with the GFP construct. This antibody does not recognize the mCherry protein. The blot was simultaneously probed with Anti-Heat Shock Protein 60 Antibody (A85438), dilution 1:10,000, in red. The single band at 60 kDa represents HSP60 protein expressed in all preparations, and used as a loading control.
Transfected HEK293 cells which overexpressed GFP-fusion protein fused to a nuclear localization sequence were stained with Anti-GFP Antibody. Most HEK293 cells are not transfected so only the nucleus of these cells can be visualized with a blue DNA stain. Cells which are transfected with GFP are bright green. Staining with Anti-GFP Antibody is shown in red. Red antibody staining is only seen in cells which express GFP, as expected, and the superimposition of green and red results in an orange signal.
Blot of HEK293 cells transfected with pFin-EF1-GFP vector. This vector expresses full length GFP and crude homogenate from these cells was probed with Anti-GFP Antibody. There is a strong clean band at about 27kDa corresponding to GFP.
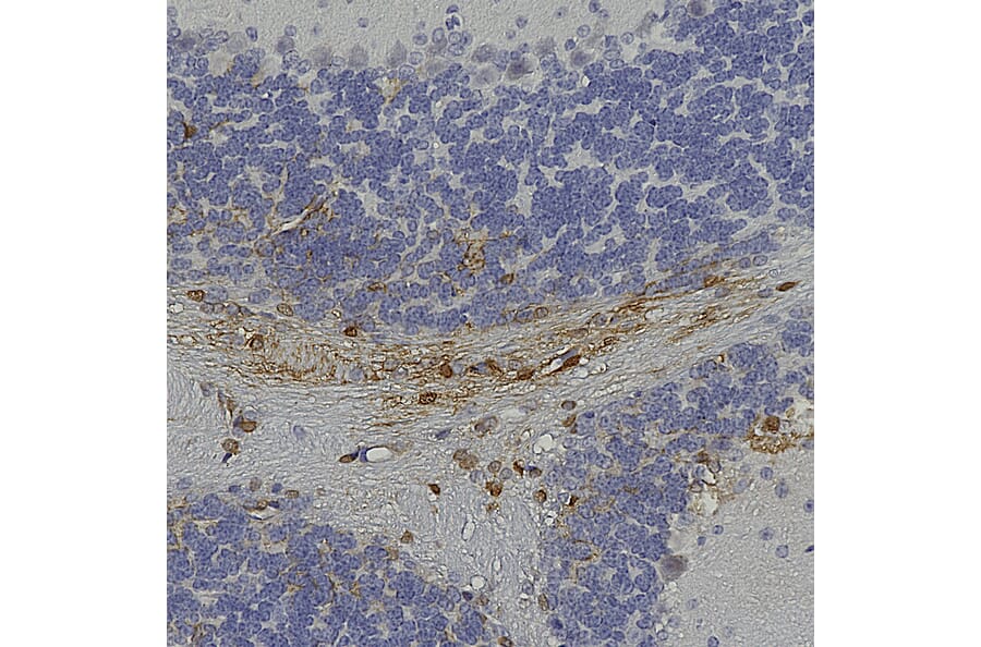
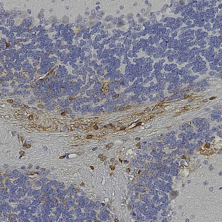
Immunohistochemistry analysis of formalin fixed paraffin embedded section of transgenic GFP expressing mouse brain with Anti-GFP Antibody (A85300) at a dilution of 1:4,000 detected in DAB (brown) following the ABC method. Counterstained with Hematoxylin (blue). Anti-GFP Antibody (A85300) specifically detected GFP positive cells in the cerebellum.