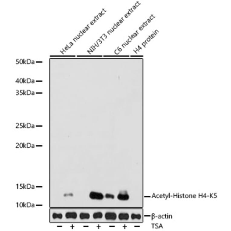
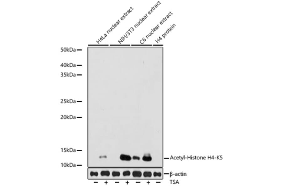
Western Blot - Anti-Histone H4 (acetyl Lys5) Antibody [ARC0002] (A306100)
Western blot analysis of extracts of various cell lines, using Anti-Histone H4 (acetyl Lys5) Antibody [ARC0002] (A306100) at 1:1,000 dilution. HeLa cells and NIH/3T3 cells and C6 cells were treated by TSA (1 uM) at 37°C for 18 hours. The secondary antibody was Goat Anti-Rabbit IgG H&L Antibody (HRP) at 1:10,000 dilution. Lysates/proteins were present at 25µg per lane. The blocking buffer used was 3% non-fat dry milk in TBST. Detection was with a ECL Basic Kit. Exposure time: 10s.
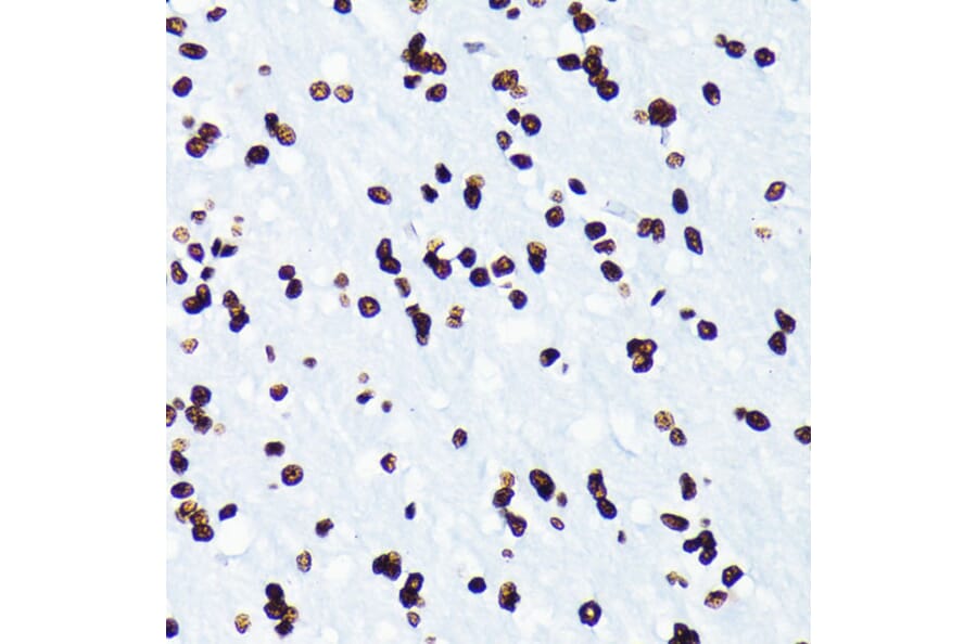
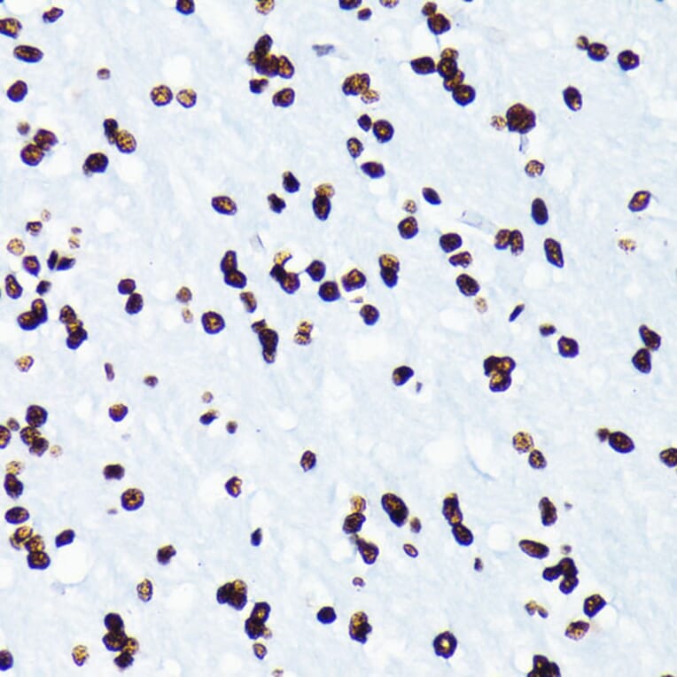
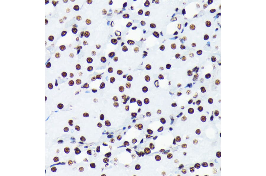
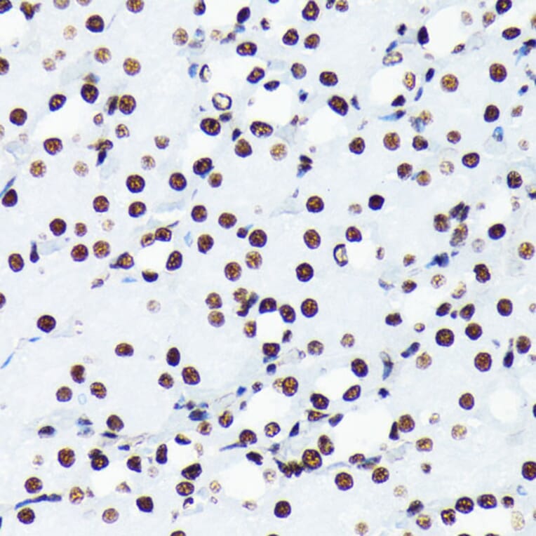
Immunohistochemistry analysis of paraffin-embedded rat brain using Anti-Histone H4 (acetyl Lys5) Antibody [ARC0002] (A306100) at a dilution of 1:100 (40x lens). Perform microwave antigen retrieval with 10 mM PBS buffer pH 7.2 before commencing with IHC staining protocol.
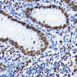
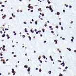
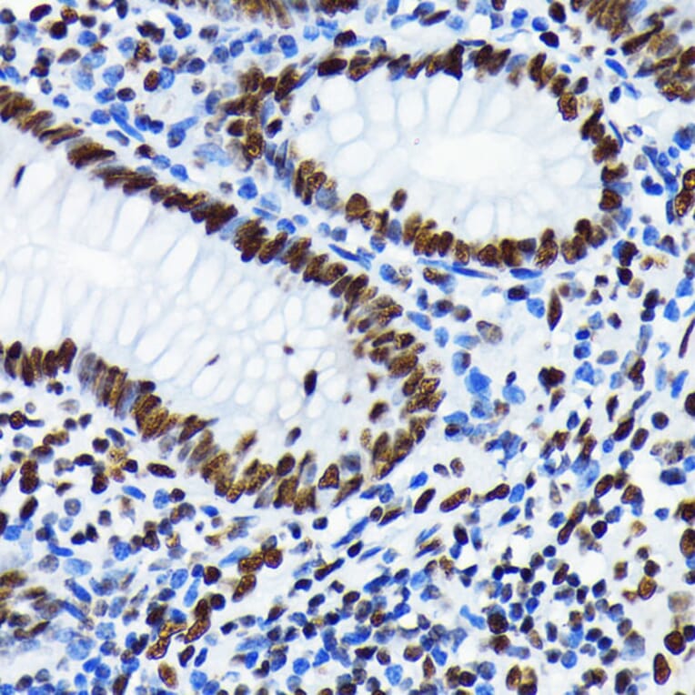
Immunohistochemistry analysis of paraffin-embedded human appendix tissue using Anti-Histone H4 (acetyl Lys5) Antibody [ARC0002] (A306100) at a dilution of 1:100 (40x lens). Perform microwave antigen retrieval with 10 mM PBS buffer pH 7.2 before commencing with IHC staining protocol.
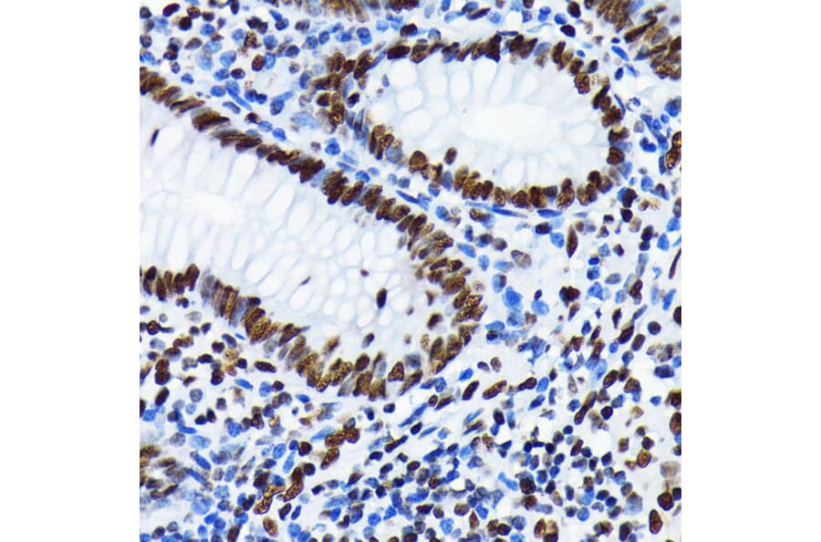
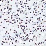
Immunohistochemistry analysis of paraffin-embedded mouse kidney using Anti-Histone H4 (acetyl Lys5) Antibody [ARC0002] (A306100) at a dilution of 1:100 (40x lens). Perform microwave antigen retrieval with 10 mM PBS buffer pH 7.2 before commencing with IHC staining protocol.
Immunofluorescence analysis of C6 cells using Anti-Histone H4 (acetyl Lys5) Antibody [ARC0002] (A306100). C6 cells were treated by TSA (1 uM) at 37°C for 18 hours(left). DAPI was used to stain the cell nuclei (blue).
Immunofluorescence analysis of NIH-3T3 cells using Anti-Histone H4 (acetyl Lys5) Antibody [ARC0002] (A306100). NIH-3T3 cells were treated by TSA (1 uM) at 37°C for 18 hours(left). DAPI was used to stain the cell nuclei (blue).
Immunofluorescence analysis of U-2 OS cells using Anti-Histone H4 (acetyl Lys5) Antibody [ARC0002] (A306100). U-2 OS cells were treated by TSA (1 uM) at 37°C for 18 hours(left). DAPI was used to stain the cell nuclei (blue).
Publishing research using Anti-Histone H4 (acetyl Lys5) Antibody [ARC0002] (A306100)? Please let us know so that we can list the citation on this page.
Alternative products to Anti-Histone H4 (acetyl Lys5) Antibody [ARC0002] (A306100)