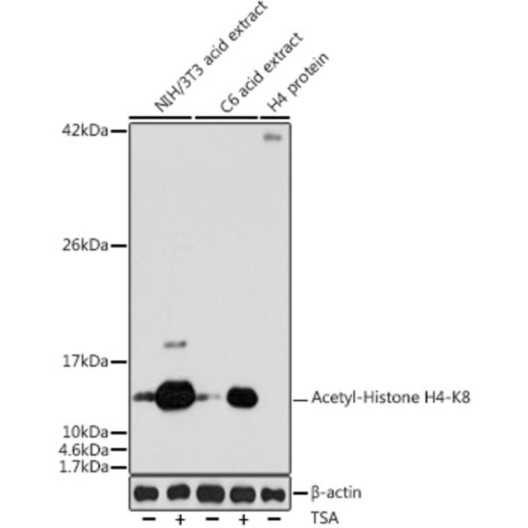
Western Blot - Anti-Histone H4 (acetyl Lys8) Antibody (A16744)
Western blot analysis of extracts of various cell lines, using Anti-Histone H4 (acetyl Lys8) Antibody (A16744) at 1:1,000 dilution. NIH/3T3 cells and C6 cells were treated by TSA (1 uM) at 37°C for 18 hours. The secondary antibody was Goat Anti-Rabbit IgG H&L Antibody (HRP) at 1:10,000 dilution. Lysates/proteins were present at 25µg per lane. The blocking buffer used was 3% non-fat dry milk in TBST. Detection was with a ECL Basic Kit. Exposure time: 30s.
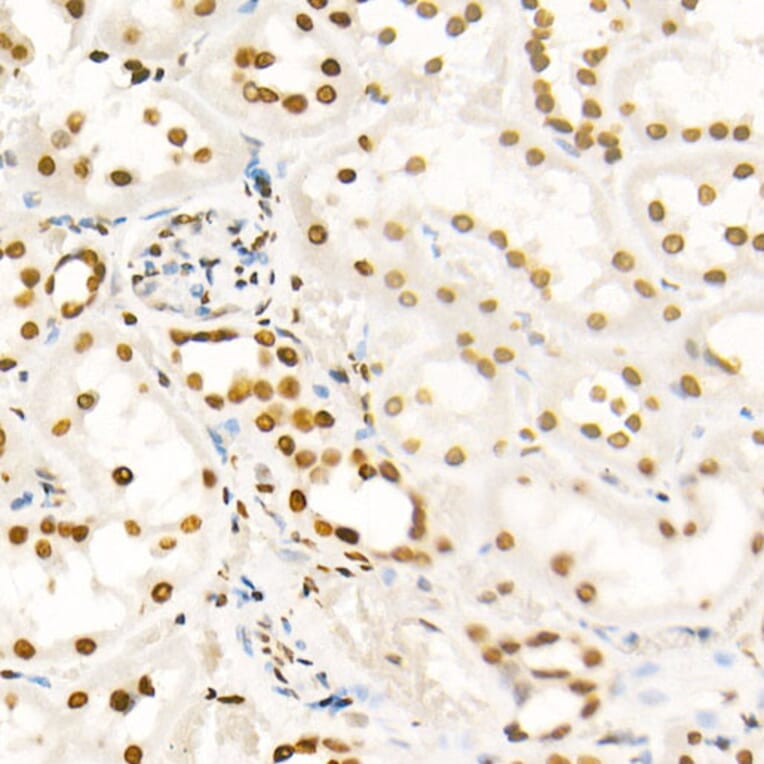
Immunohistochemistry analysis of paraffin-embedded human kidney using Anti-Histone H4 (acetyl Lys8) Antibody (A16744) at a dilution of 1:20 (40x lens). Perform high pressure antigen retrieval with 10 mM citrate buffer pH 6.0 before commencing with IHC staining protocol.
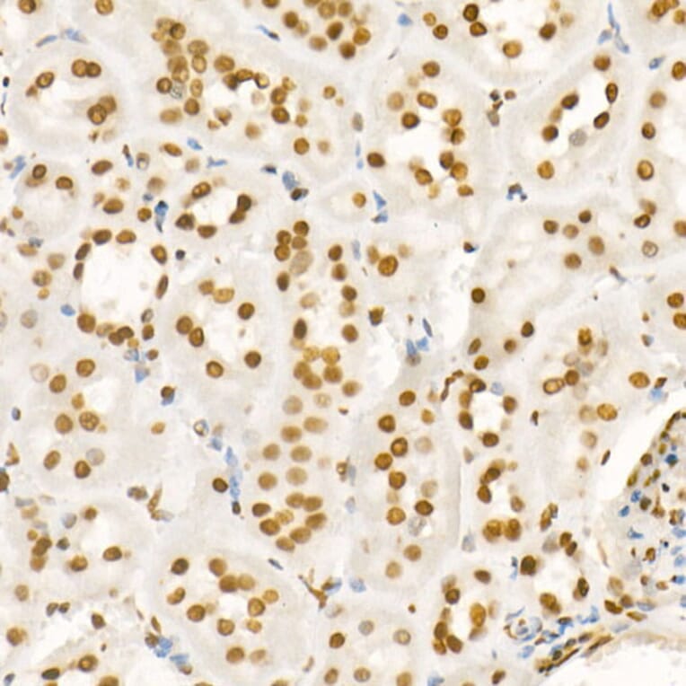
Immunohistochemistry analysis of paraffin-embedded mouse liver using Anti-Histone H4 (acetyl Lys8) Antibody (A16744) at a dilution of 1:20 (40x lens). Perform high pressure antigen retrieval with 10 mM citrate buffer pH 6.0 before commencing with IHC staining protocol.
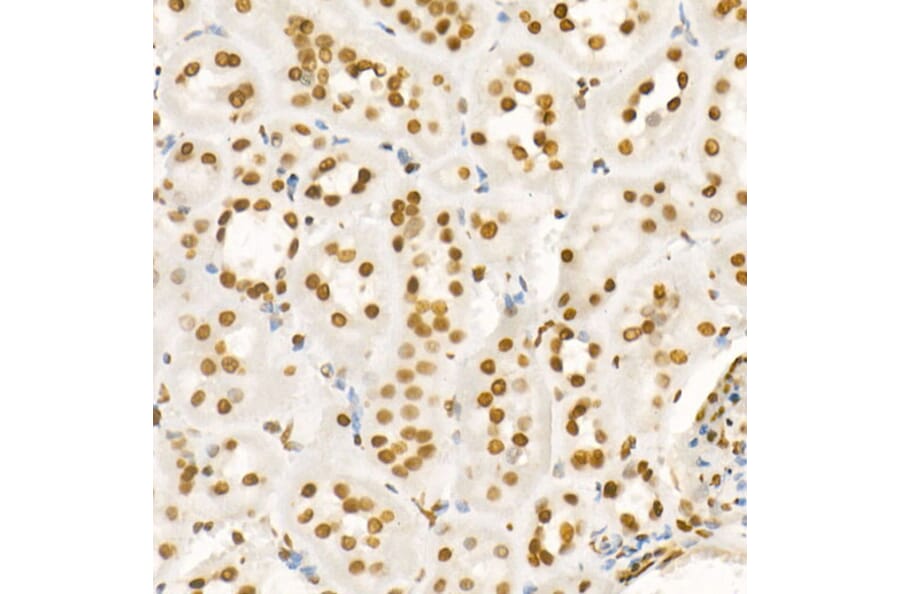
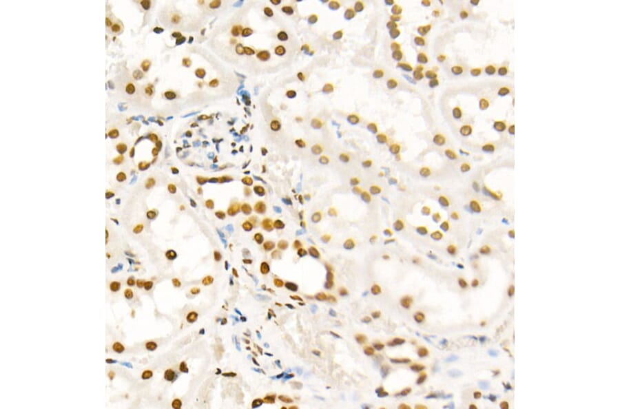
Immunohistochemistry analysis of paraffin-embedded rat kidney using Anti-Histone H4 (acetyl Lys8) Antibody (A16744) at a dilution of 1:20 (40x lens). Perform high pressure antigen retrieval with 10 mM citrate buffer pH 6.0 before commencing with IHC staining protocol.
Chromatin immunoprecipitation (ChIP) analysis of extracts of HeLa cells, using Anti-Histone H4 (acetyl Lys8) Antibody (A16744) and Rabbit IgG. The amount of immunoprecipitated DNA was checked by quantitative PCR. Histogram was constructed by the ratios of the immunoprecipitated DNA to the input.