Western Blot - Anti-Histone H4 (mono methyl Lys20) Antibody (A16718)
Western blot analysis of extracts of various cell lines, using Anti-Histone H4 (mono methyl Lys20) Antibody (A16718) at 1:1,000 dilution. The secondary antibody was Goat Anti-Rabbit IgG H&L Antibody (HRP) at 1:10,000 dilution. Lysates/proteins were present at 25µg per lane. The blocking buffer used was 3% non-fat dry milk in TBST. Detection was with a ECL Basic Kit. Exposure time: 10s.
Western Blot - Anti-Histone H4 (mono methyl Lys20) Antibody (A16718)
Western blot analysis of extracts of various cell lines, using Anti-Histone H4 (mono methyl Lys20) Antibody (A16718) at 1:1,000 dilution. The secondary antibody was Goat Anti-Rabbit IgG H&L Antibody (HRP) at 1:10,000 dilution. Lysates/proteins were present at 25µg per lane. The blocking buffer used was 3% non-fat dry milk in TBST. Detection was with a ECL Basic Kit. Exposure time: 90s.
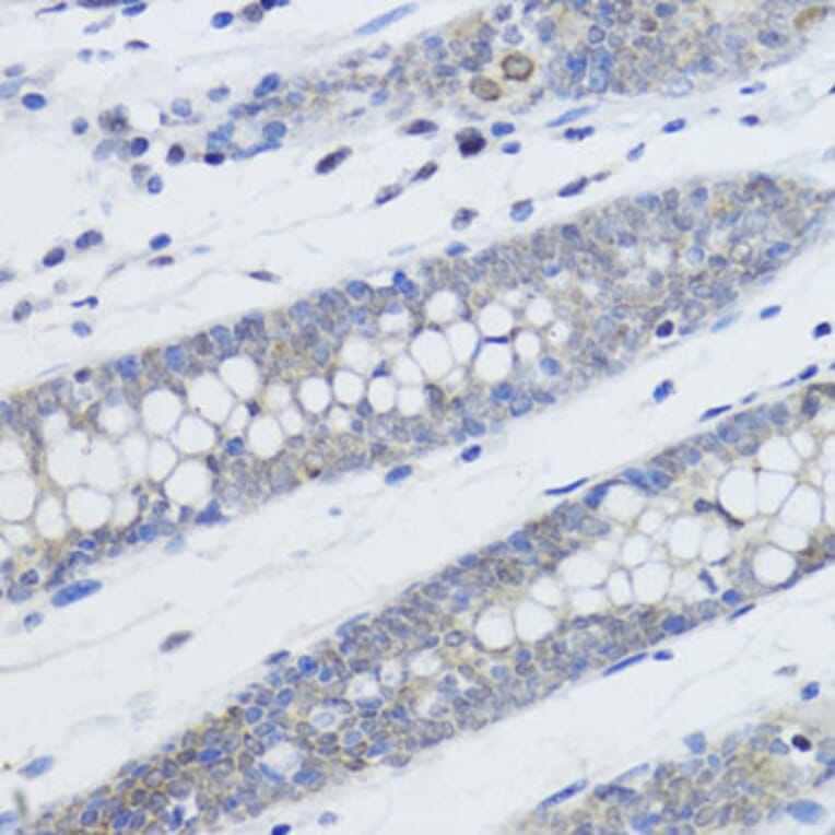
Immunohistochemistry analysis of paraffin-embedded human colon tissue using Anti-Histone H4 (mono methyl Lys20) Antibody (A16718) at a dilution of 1:200 (40x lens). Perform microwave antigen retrieval with 10 mM PBS buffer pH 7.2 before commencing with IHC staining protocol.
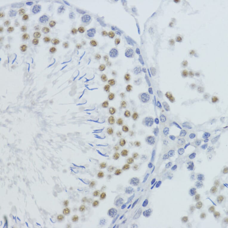
Immunohistochemistry analysis of paraffin-embedded rat testis using Anti-Histone H4 (mono methyl Lys20) Antibody (A16718) at a dilution of 1:200 (40x lens). Perform microwave antigen retrieval with 10 mM PBS buffer pH 7.2 before commencing with IHC staining protocol.
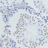
Immunohistochemistry analysis of paraffin-embedded mouse testis using Anti-Histone H4 (mono methyl Lys20) Antibody (A16718) at a dilution of 1:200 (40x lens). Perform microwave antigen retrieval with 10 mM PBS buffer pH 7.2 before commencing with IHC staining protocol.