Western Blot - Anti-Histone H4 (acetyl Lys12) Antibody (A91511)
Western blot analysis of extracts of various cell lines, using Anti-Histone H4 (acetyl Lys12) Antibody (A91511) at 1:500 dilution. HeLa cells and C6 cells were treated by TSA (1 uM) at 37°C for 18 hours. The secondary antibody was Goat Anti-Rabbit IgG H&L Antibody (HRP) at 1:10,000 dilution. Lysates/proteins were present at 25µg per lane. The blocking buffer used was 3% non-fat dry milk in TBST. Detection was with a ECL Basic Kit. Exposure time: 30s.
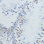
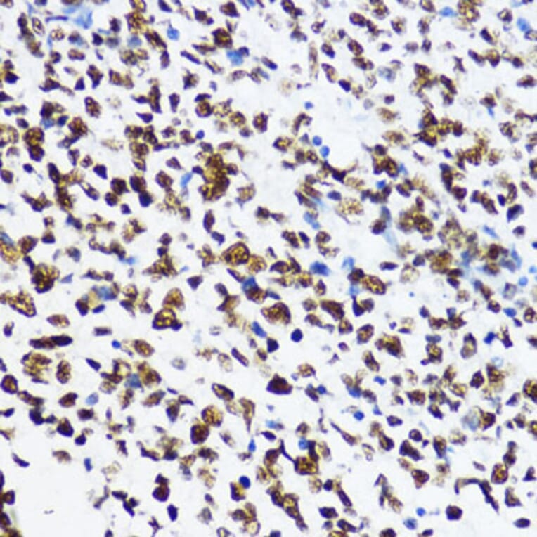
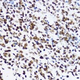
Immunohistochemistry analysis of paraffin-embedded human appendix tissue using Anti-Histone H4 (acetyl Lys12) Antibody (A91511) at a dilution of 1:200 (40x lens). Perform microwave antigen retrieval with 10 mM PBS buffer pH 7.2 before commencing with IHC staining protocol.
Immunohistochemistry analysis of paraffin-embedded rat ovary using Anti-Histone H4 (acetyl Lys12) Antibody (A91511) at a dilution of 1:200 (40x lens). Perform microwave antigen retrieval with 10 mM PBS buffer pH 7.2 before commencing with IHC staining protocol.
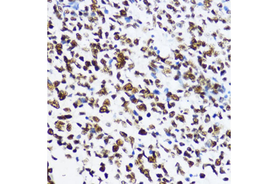
Immunohistochemistry analysis of paraffin-embedded mouse testis using Anti-Histone H4 (acetyl Lys12) Antibody (A91511) at a dilution of 1:200 (40x lens). Perform microwave antigen retrieval with 10 mM PBS buffer pH 7.2 before commencing with IHC staining protocol.
Immunohistochemistry analysis of paraffin-embedded mouse spinal cord using Anti-Histone H4 (acetyl Lys12) Antibody (A91511) at a dilution of 1:200 (40x lens). Perform microwave antigen retrieval with 10 mM PBS buffer pH 7.2 before commencing with IHC staining protocol.
Immunofluorescence analysis of C6 cells using Anti-Histone H4 (acetyl Lys12) Antibody (A91511) at a dilution of 1:100. C6 cells were treated by TSA (1 uM) at 37°C for 18 hours. DAPI was used to stain the cell nuclei (blue).
Immunofluorescence analysis of NIH/3T3 cells using Anti-Histone H4 (acetyl Lys12) Antibody (A91511) at a dilution of 1:100. NIH/3T3 cells were treated by TSA (1 uM) at 37°C for 18 hours. DAPI was used to stain the cell nuclei (blue).