ISO 9001:2015 Certified
Live Customer Support
4.5/5 on Trustpilot
100% Quality Guarantee

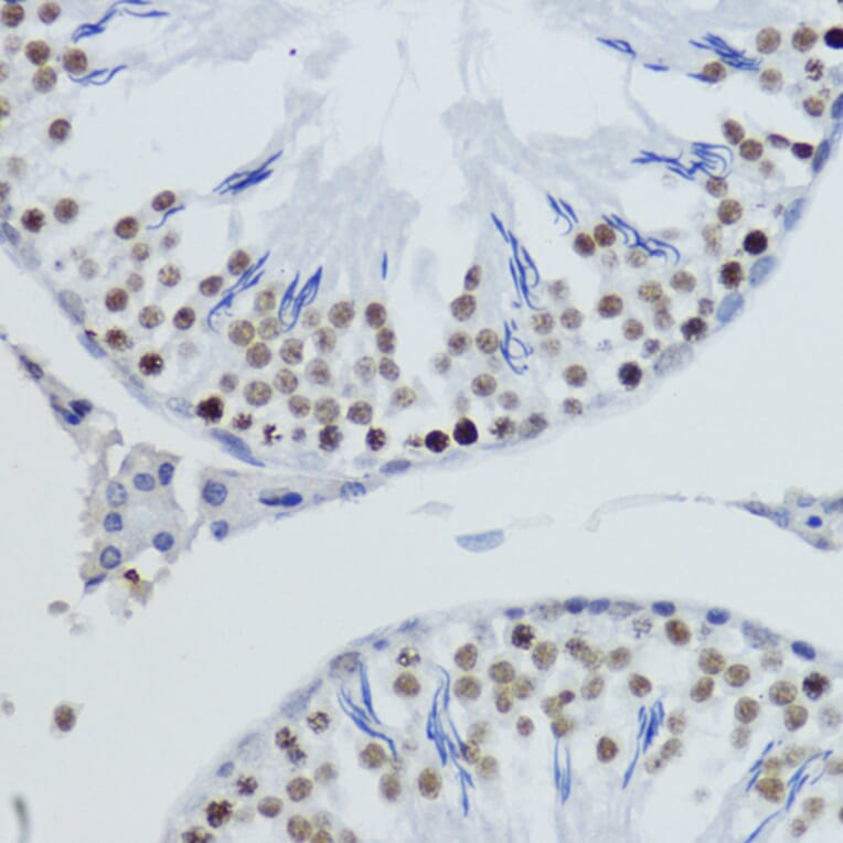
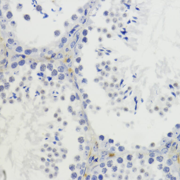
Anti-Histone H4 (di methyl Lys20) Antibody (A16719)

Rabbit polyclonal antibody to Histone H4 (di methyl Lys20) for WB, IHC, ICC/IF, IP, ChIP and ChIP-seq.

Shipping Information

$40
Dispatched from St. Louis, MO.
Lead Time: 7-10 business days.
Name
Anti-Histone H4 (di methyl Lys20) Antibody
Description
Rabbit polyclonal antibody to Histone H4 (di methyl Lys20).
Applications
WB, IHC, ICC/IF, IP, ChIP, ChIP-seq
Dilutions
WB: 1:500-1:1,000, IHC: 1:50-1:200, ICC/IF: 1:50-1:200, IP: 1:50-1:200, ChIP: 1:20-1:100, ChIP-seq: 1:20-1:100
Reactivity
Human, Mouse, Rat
Immunogen
A synthetic dimethylated peptide around K20 of human histone H4 (NP_003529.1).
Sequence
HRKVL
Host
Rabbit
Clonality
Polyclonal
Isotype
IgG
Conjugate

Unconjugated

Purification
Affinity purification.
Concentration
Lot Specific
Molecular Weight
11 kDa
Product Form
Liquid
Formulation
Supplied in Phosphate Buffered Saline, pH 7.3, with 50% Glycerol and 0.01% Thiomersal.
Storage
Shipped at 4°C. Upon delivery aliquot and store at -20°C. Avoid freeze/thaw cycles.
Synonyms
H4/A, H4C1, H4FA, HIST1H4A
Disclaimer
This product is for research use only. It is not intended for diagnostic or therapeutic use.
Publishing research using Anti-Histone H4 (di methyl Lys20) Antibody (A16719)? Please let us know so that we can list the citation on this page.

Alternative products to Anti-Histone H4 (di methyl Lys20) Antibody (A16719)