Western blot analysis of extracts of various cell lines, using Anti-GAPDH Antibody (A17302) at 1:10,000 dilution. Lysates/proteins were present at 25µg per lane. The blocking buffer used was 3% non-fat dry milk in TBST. Detection was with a ECL Basic Kit. Exposure time: 3s.
Western blot analysis of extracts of various cell lines, using Anti-GAPDH Antibody (A17302) at 1:10,000 dilution. Lysates/proteins were present at 25µg per lane. The blocking buffer used was 3% non-fat dry milk in TBST. Detection was with a ECL Basic Kit. Exposure time: 10s.
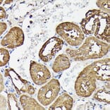
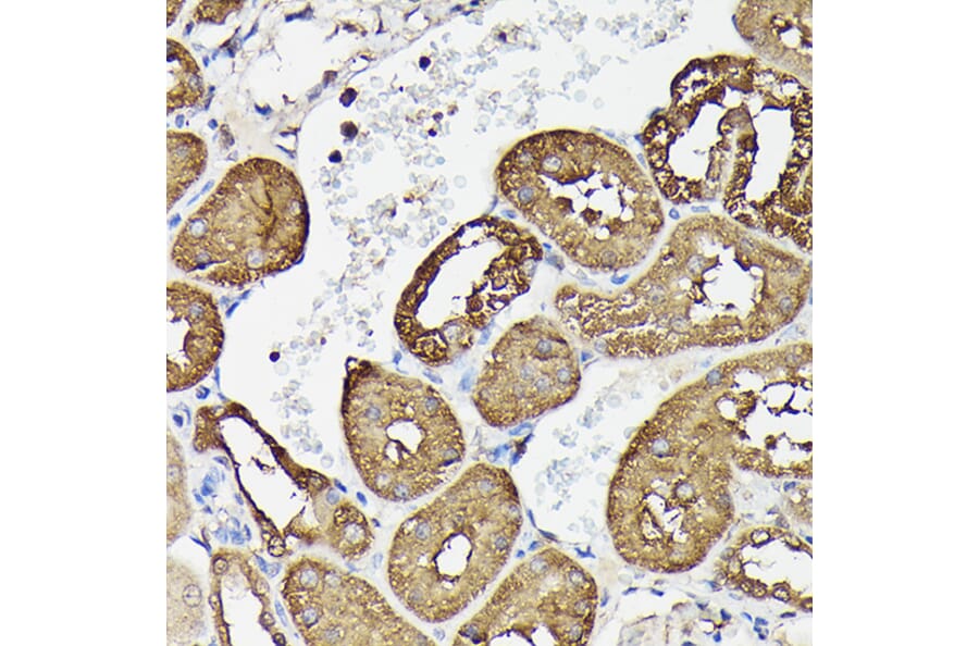
Immunohistochemistry analysis of paraffin-embedded rat kidney using Anti-GAPDH Antibody (A17302)Immunohistochemistry analysis of paraffin-embedded rat kidney using GAPDH Rabbit polyclonal antibody (AC001) at a dilution of 1:100 (40x lens). Perform high pressure antigen retrieval with 10 mM citrate buffer pH 6.0 before commencing with IHC staining protocol.
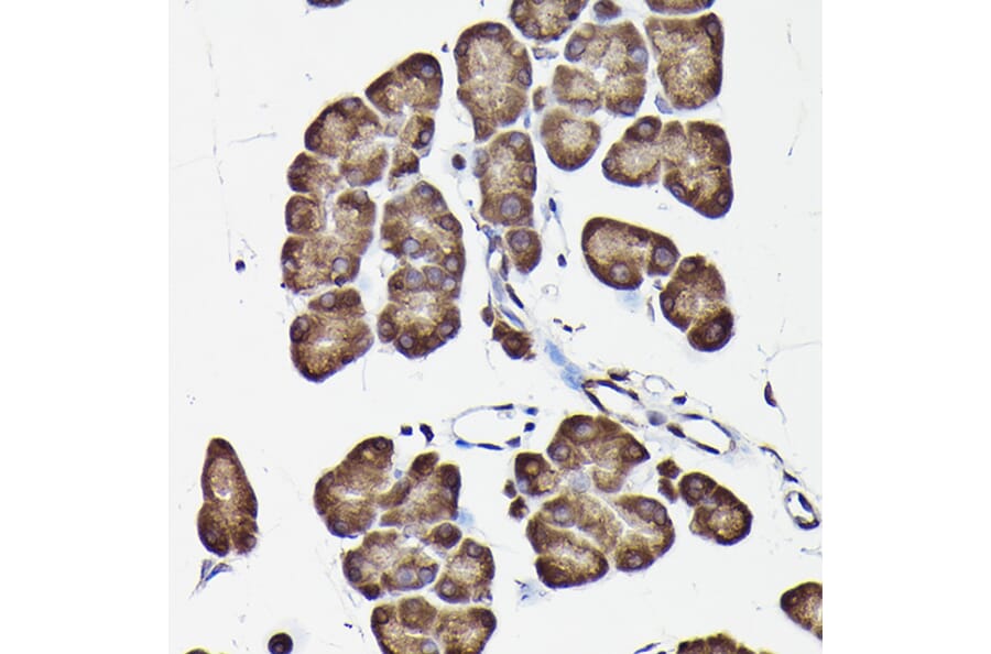
Immunohistochemistry analysis of paraffin-embedded rat pancreas using Anti-GAPDH Antibody (A17302)Immunohistochemistry analysis of paraffin-embedded rat pancreas using GAPDH Rabbit polyclonal antibody (AC001) at a dilution of 1:100 (40x lens). Perform high pressure antigen retrieval with 10 mM citrate buffer pH 6.0 before commencing with IHC staining protocol.
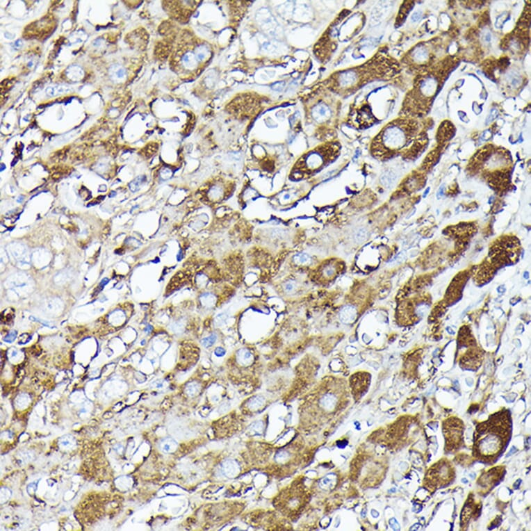
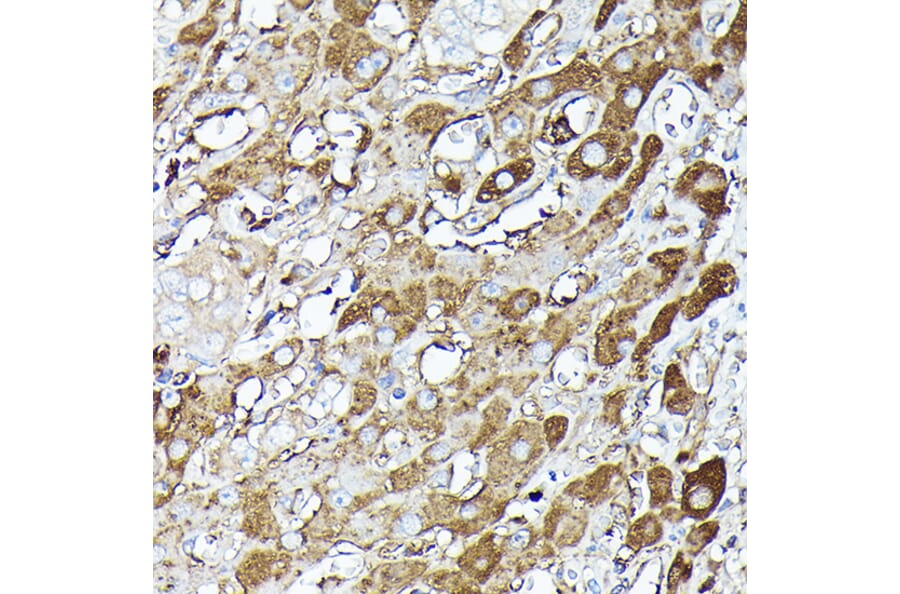
Immunohistochemistry analysis of paraffin-embedded human liver cancer using Anti-GAPDH Antibody (A17302)Immunohistochemistry analysis of paraffin-embedded human liver cancer using GAPDH Rabbit polyclonal antibody (AC001) at a dilution of 1:100 (40x lens). Perform high pressure antigen retrieval with 10 mM citrate buffer pH 6.0 before commencing with IHC staining protocol.
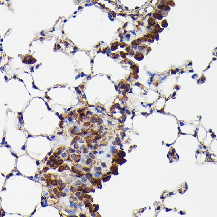
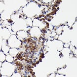
Immunohistochemistry analysis of paraffin-embedded mouse lung using Anti-GAPDH Antibody (A17302)Immunohistochemistry analysis of paraffin-embedded mouse lung using GAPDH Rabbit polyclonal antibody (AC001) at a dilution of 1:100 (40x lens). Perform high pressure antigen retrieval with 10 mM citrate buffer pH 6.0 before commencing with IHC staining protocol.
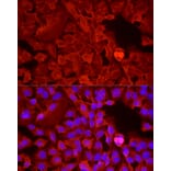
Immunofluorescence analysis of HeLa cells using Anti-GAPDH Antibody (A17302) at a dilution of 1:20 (40x lens). DAPI was used to stain the cell nuclei (blue).
Immunofluorescence analysis of NIH/3T3 cells using Anti-GAPDH Antibody (A17302) at a dilution of 1:20 (40x lens). DAPI was used to stain the cell nuclei (blue).
Immunofluorescence analysis of PC-12 cells using Anti-GAPDH Antibody (A17302) at a dilution of 1:20 (40x lens). DAPI was used to stain the cell nuclei (blue).
Immunofluorescence analysis of U2OS cells using Anti-GAPDH Antibody (A17302) at a dilution of 1:20 (40x lens). DAPI was used to stain the cell nuclei (blue).
Immunoprecipitation analysis of 300µg extracts of HeLa cells using 3µg of Anti-GAPDH Antibody (A17302). This Western blot was performed on the immunoprecipitate using Anti-GAPDH Antibody (A17302) at a dilution of 1:20000.