GAPDH expression in Human Liver (A), Testes (B), and Tonsil (C) lysates analyzed by western blot. Cells were lysed in RIPA buffer and 35µg protein was run per lane. Primary incubation was performed with Anti-GAPDH Antibody (A82908) at 0.1µg/ml (A) or 0.03µg/ml (B-C) and detected by chemiluminescence.
GAPDH expression in Mouse Liver (A) and Rat Heart (B) lysate analyzed by western blot. Cells were lysed in RIPA buffer and 35µg protein was run per lane. Primary incubation was performed with Anti-GAPDH Antibody (A82908) at 0.1µg/ml (A) or 0.03µg/ml (B) and detected by chemiluminescence.
GAPDH expression in HeLa (A) and NIH3T3 (B) cell lysates analyzed by western blot. Cells were lysed in RIPA buffer and 35µg protein was run per lane. Primary antibody incubation was performed with Anti-GAPDH Antibody (A82908) at 0.03µg/ml and detected by chemiluminescence.
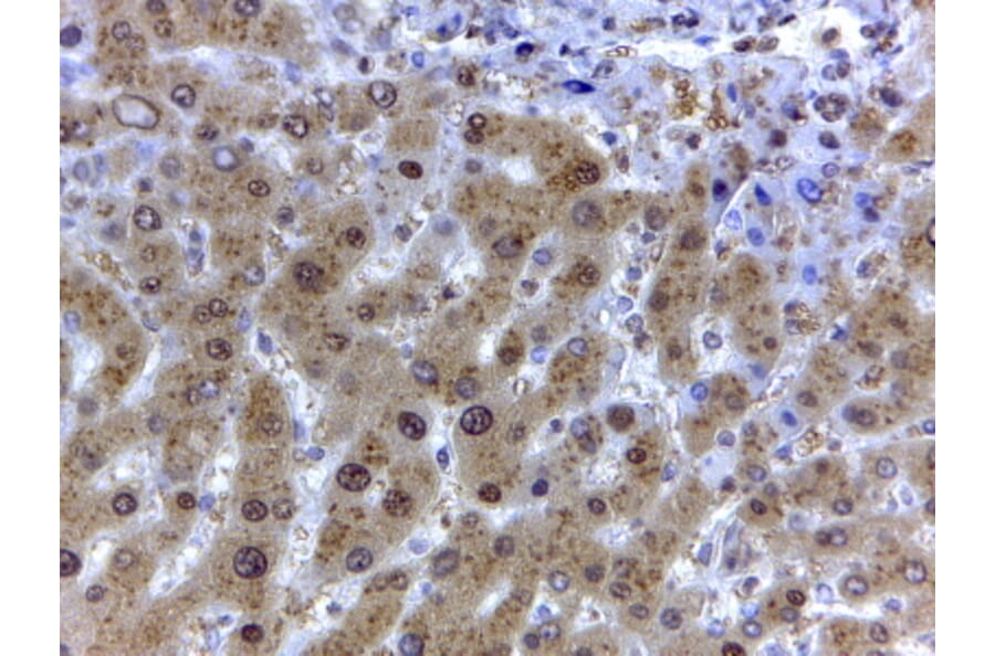
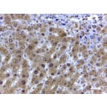
GAPDH expression in Human Liver analyzed by immunohistochemistry. Tissue was paraffin-embedded, and antigen retrieval was achieved by steaming in citrate buffer, pH 6. Staining was performed with Anti-GAPDH Antibody (A82908) at 2µg/ml and revealed with horseradish peroxidase (HRP).
GAPDH expression in HeLa cells analyzed by immunofluorescence. Cells were permeabilized with 0.15% Triton. Staining was performed with Anti-GAPDH Antibody (A82908) at 5µg/ml for 1 hour and Alexa Fluor 488 secondary antibody at 2µg/ml. Cytoplasmic and plasma membrane staining shown and nuclei were stained with DAPI (blue). Negative control: Goat IgG Isotype Control at 5µg/ml followed by Alexa Fluor 488 secondary antibody at 2µg/ml.
GAPDH expression in U251 cells analyzed by immunofluorescence. Cells were permeabilized with 0.15% Triton. Staining was performed with Anti-GAPDH Antibody (A82908) at 10µg/ml for 1 hour and Alexa Fluor 488 secondary antibody at 2µg/ml. Cytoplasmic and vesicle staining shown and nuclei were stained with DAPI (blue). Negative control: Goat IgG Isotype Control at 10µg/ml followed by Alexa Fluor 488 secondary antibody at 2µg/ml.