HeLa cells stained with Anti-GAPDH Antibody (red), Anti-TAF15 Antibody (A85450, in green, and DNA (blue). The Anti-GAPDH Antibody reveals strong cytoplasmic staining, while the Anti-TAF15 Antibody reveals a granular nuclear localization.
Immunofluorescent analysis of HeLa cells stained with Anti-GAPDH Antibody (A85377), at a dilution of 1:2,000 in red. Blue is Hoechst staining of nuclear DNA. The Anti-GAPDH Antibody (A85377) produces diffuse cytoplasmic staining of cells.
Western blot analysis of different cell cytosolic or nuclear enriched fractions, using Anti-GAPDH Antibody (A85377), at a dilution of 1:20,000, in red. The lanes contain samples of: [Lane 1] Protein standards, in red, [Lane 2] NIH-3T3 cytosolic, [Lane 3] NIH-3T3 nuclear, [Lane 4] HeLa cytosolic, and [Lane 5] HeLa nuclear fractions. Strong band at 37kDa corresponds to GAPDH protein, mainly detected in the cytosolic fractions. The same blot was simultaneously probed with Anti-SF3B4 Antibody (A85417), at a dilution of 1:1,000, in green. In contrast to GAPDH, SF3B4 is exclusively expressed in the nuclear fraction.
Western blot analysis of HEK293 cell lysates using Anti-mCherry Antibody (A270547), at a dilution of 1:1,000, in green, and Anti-GAPDH Antibody (A85377), at a dilution of 1:5,000, in red. The lanes contain: [Lane 1] protein standard, [Lane 2] untransfected HEK293 control cells, [Lane 3] HEK293 cells transfected with pCI-Neo-mod vector expressing two tdTomato protein domains, [Lane 4] HEK293 cells transfected with pCI-Neo-mod vector expressing one mCherry-HA protein domain, and [Lane 5] HEK293 cells transfected with pCI-Neo-mod vector expressing one GFP domain. Anti-mCherry Antibody (A270547) recognizes tdTomato and mCherry proteins revealing major bands at about 60kDa and 30kDa, but does not recognize GFP. The red band at 37kDa corresponds to GAPDH protein here used as a loading control.
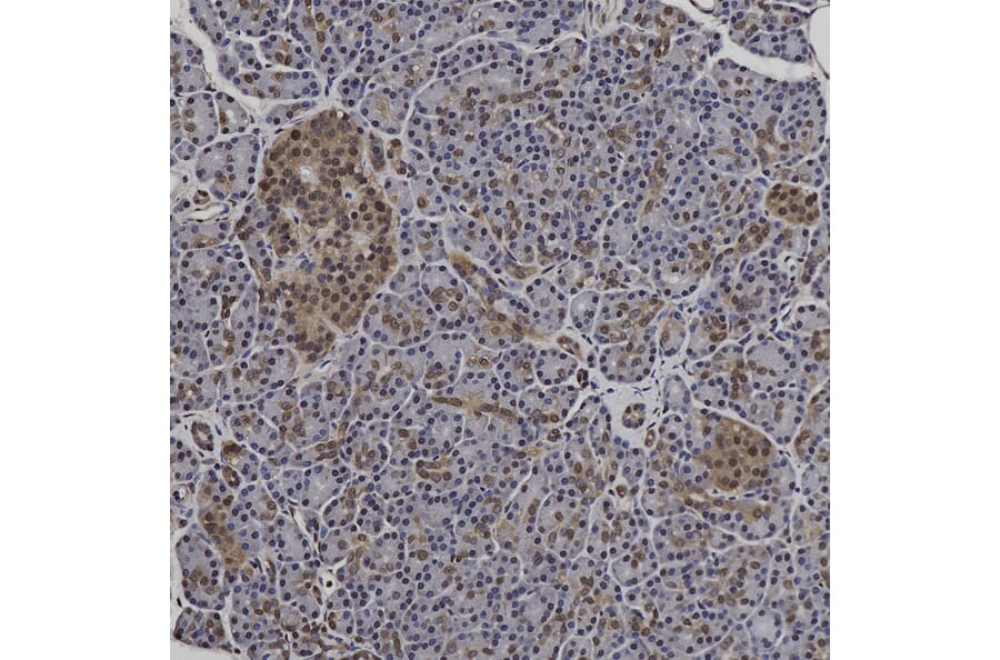
Immunohistochemistry analysis of a NBF fixed paraffin embedded human pancreas section with Anti-GAPDH Antibody (A85377) at a dilution of 1:5,000 detected with DAB (brown) using the Vector Labs ImmPRESS method and reagents with citra buffer retrieval. Counterstained with Hematoxylin (blue). The GAPDH antibody labels pancreatic exocrine glandular cells as well as a sub-population of endocrine cells. Note: this antibody performs well in testing with both 4% PFA and standard NBF fixed human, mouse, and rat tissues.