Western Blot - Anti-GAPDH Antibody [ARC50888] (A309068)
Western blot analysis of extracts of HeLa cells, using Anti-GAPDH Antibody [ARC50888] (A309068) at 1:10,000 dilution. The secondary antibody was Goat Anti-Rabbit IgG H&L Antibody (HRP) at 1:10,000 dilution. Lysates/proteins were present at 25µg per lane. The blocking buffer used was 3% non-fat dry milk in TBST. Detection was with a ECL Basic Kit. Exposure time: 10s.
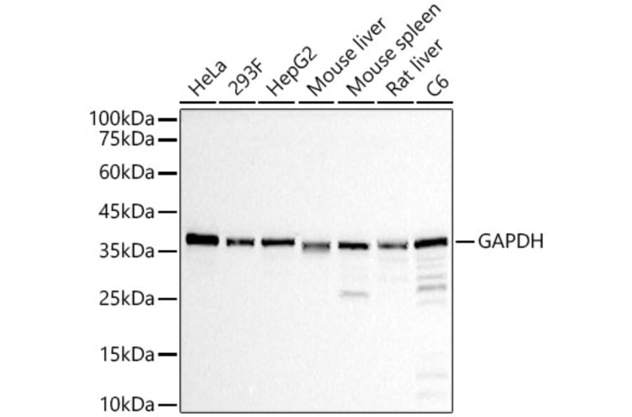
Western Blot - Anti-GAPDH Antibody [ARC50888] (A309068)
Western blot analysis of various lysates, using Anti-GAPDH Antibody [ARC50888] (A309068) at 1:10,000 dilution. Lysates/proteins were present at 25µg per lane. The blocking buffer used was 3% non-fat dry milk in TBST. Detection was with a ECL Basic Kit. Exposure time: 10s.
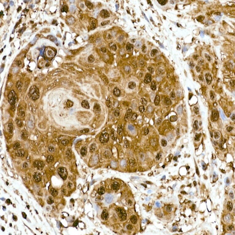
Immunohistochemistry analysis of paraffin-embedded human esophageal cancer using Anti-GAPDH Antibody [ARC50888] (A309068) at a dilution of 1:100 (40x lens). Perform high pressure antigen retrieval with 10 mM citrate buffer pH 6.0 before commencing with IHC staining protocol.
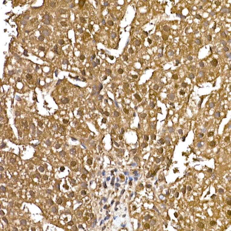
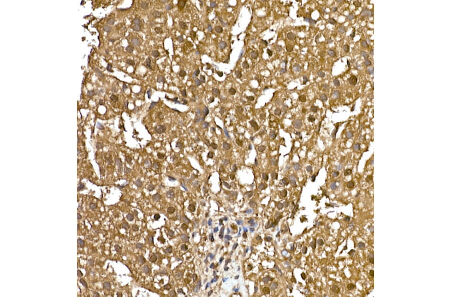
Immunohistochemistry analysis of paraffin-embedded human liver cancer using Anti-GAPDH Antibody [ARC50888] (A309068) at a dilution of 1:100 (40x lens). Perform high pressure antigen retrieval with 10 mM citrate buffer pH 6.0 before commencing with IHC staining protocol.
Immunohistochemistry analysis of paraffin-embedded human liver using Anti-GAPDH Antibody [ARC50888] (A309068) at a dilution of 1:100 (40x lens). Perform high pressure antigen retrieval with 10 mM citrate buffer pH 6.0 before commencing with IHC staining protocol.
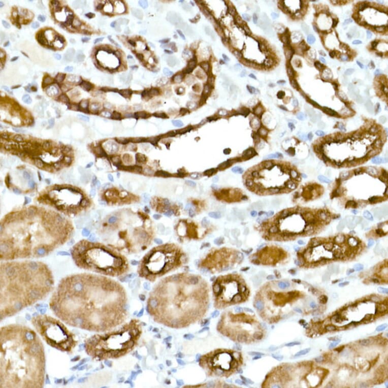
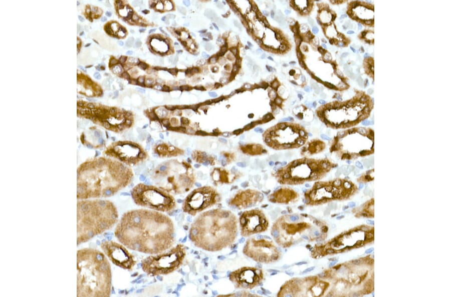
Immunohistochemistry analysis of paraffin-embedded mouse kidney using Anti-GAPDH Antibody [ARC50888] (A309068) at a dilution of 1:100 (40x lens). Perform high pressure antigen retrieval with 10 mM citrate buffer pH 6.0 before commencing with IHC staining protocol.
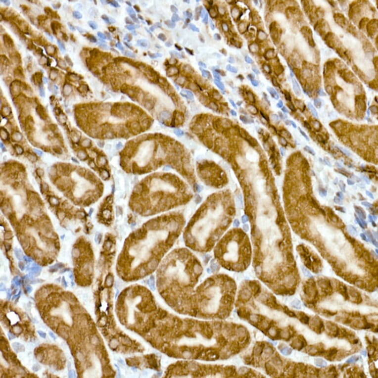
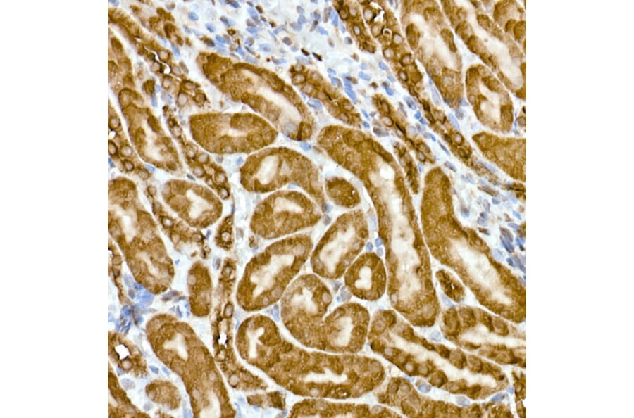
Immunohistochemistry analysis of paraffin-embedded mouse stomach using Anti-GAPDH Antibody [ARC50888] (A309068) at a dilution of 1:100 (40x lens). Perform high pressure antigen retrieval with 10 mM citrate buffer pH 6.0 before commencing with IHC staining protocol.
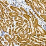
Immunohistochemistry analysis of paraffin-embedded rat kidney using Anti-GAPDH Antibody [ARC50888] (A309068) at a dilution of 1:100 (40x lens). Perform high pressure antigen retrieval with 10 mM citrate buffer pH 6.0 before commencing with IHC staining protocol.
Immunohistochemistry analysis of paraffin-embedded rat ovary using Anti-GAPDH Antibody [ARC50888] (A309068) at a dilution of 1:100 (40x lens). Perform high pressure antigen retrieval with 10 mM citrate buffer pH 6.0 before commencing with IHC staining protocol.
Immunofluorescence analysis of NIH/3T3 using Anti-GAPDH Antibody [ARC50888] (A309068) at a dilution of 1:100 (40x lens). DAPI was used to stain the cell nuclei (blue).
Immunofluorescence analysis of PC-12 using Anti-GAPDH Antibody [ARC50888] (A309068) at a dilution of 1:100 (40x lens). DAPI was used to stain the cell nuclei (blue).
Immunofluorescence analysis of U2OS using Anti-GAPDH Antibody [ARC50888] (A309068) at a dilution of 1:100 (40x lens). DAPI was used to stain the cell nuclei (blue).