ISO 9001:2015 Certified
Live Customer Support
4.5/5 on Trustpilot
100% Quality Guarantee

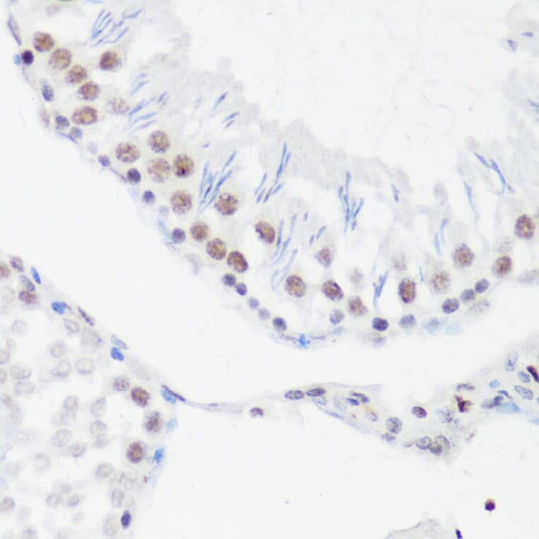
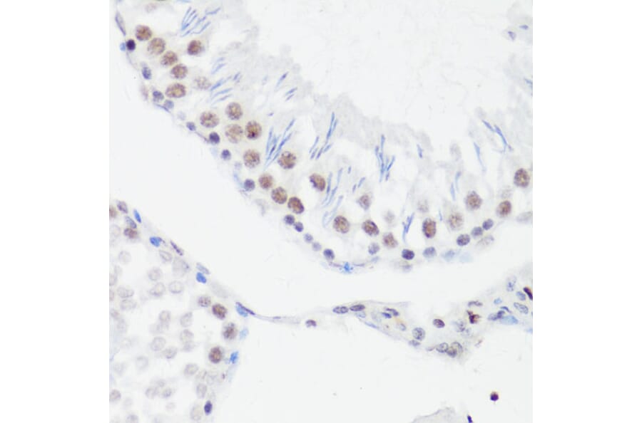
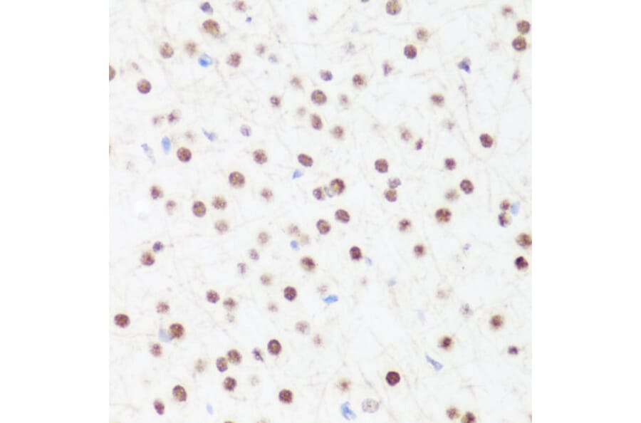
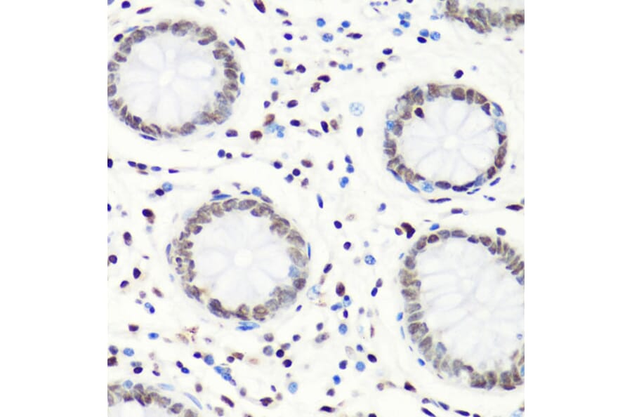
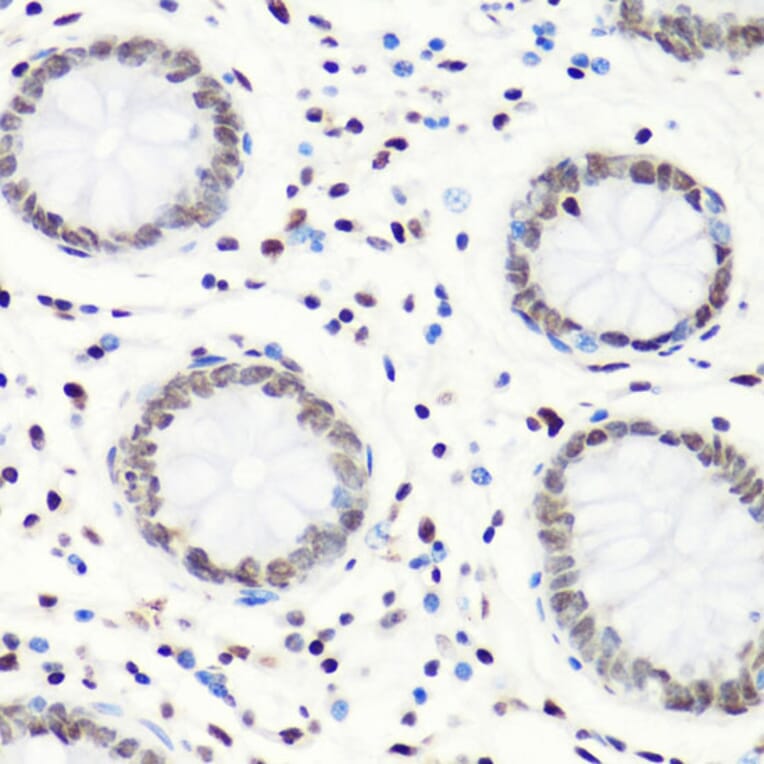
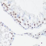
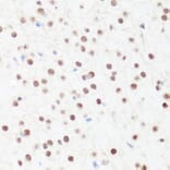
Anti-Histone H4 (mono methyl Arg3) Antibody (A88207)

Rabbit polyclonal antibody to Histone H4 (mono methyl Arg3) for WB, IHC, ICC/IF and IP.

Shipping Information

$40
Dispatched from St. Louis, MO.
Lead Time: 7-10 business days.
Name
Anti-Histone H4 (mono methyl Arg3) Antibody
Description
Rabbit polyclonal antibody to Histone H4 (mono methyl Arg3).
Applications
WB, IHC, ICC/IF, IP
Dilutions
WB: 1:500-1:2,000, IHC: 1:50-1:200, ICC/IF: 1:50-1:200, IP: 1:50-1:200
Reactivity
Human, Mouse, Rat
Immunogen
A synthetic monomethylated peptide around R3 of human Histone H4 (NP_003529.1).
Sequence
SGRGK
Host
Rabbit
Clonality
Polyclonal
Isotype
IgG
Conjugate

Unconjugated

Purification
Affinity purification.
Concentration
Lot Specific
Molecular Weight
13 kDa
Product Form
Liquid
Formulation
Supplied in Phosphate Buffered Saline, pH 7.3, with 50% Glycerol and 0.01% Thiomersal.
Storage
Shipped at 4°C. Upon delivery aliquot and store at -20°C. Avoid freeze/thaw cycles.
Synonyms
H4/A, H4C1, H4FA, HIST1H4A
Disclaimer
This product is for research use only. It is not intended for diagnostic or therapeutic use.
Publishing research using Anti-Histone H4 (mono methyl Arg3) Antibody (A88207)? Please let us know so that we can list the citation on this page.

Alternative products to Anti-Histone H4 (mono methyl Arg3) Antibody (A88207)