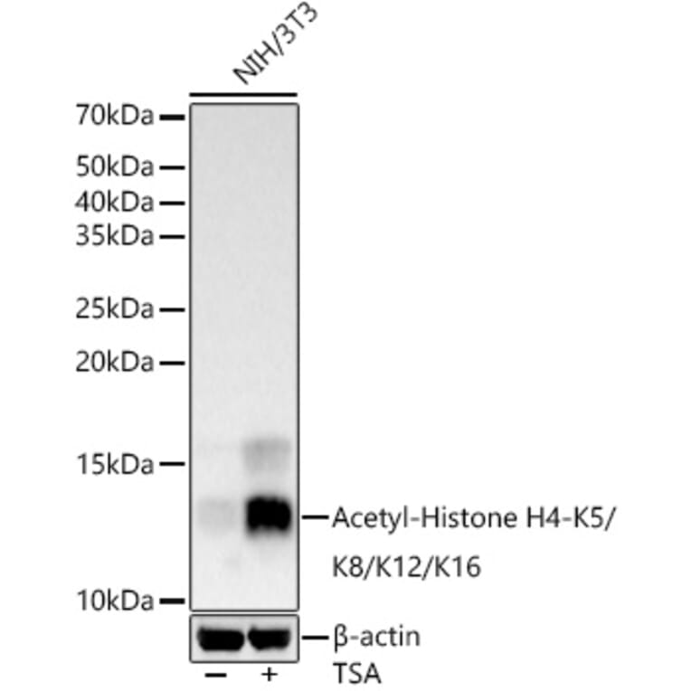
Western Blot - Anti-Histone H4 (acetyl Lys5 + Lys8 + Lys12 + Lys16) Antibody (A309705)
Western blot analysis of extracts of NIH/3T3 cells, using Anti-Histone H4 (acetyl Lys5 + Lys8 + Lys12 + Lys16) Antibody (A309705) at 1:500 dilution. NIH/3T3 cells were treated by TSA (1 uM) at 37°C for 18 hours. The secondary antibody was Goat Anti-Rabbit IgG H&L Antibody (HRP) at 1:10,000 dilution. Lysates/proteins were present at 25µg per lane. The blocking buffer used was 3% non-fat dry milk in TBST. Detection was with a ECL Basic Kit. Exposure time: 5s.
Western Blot - Anti-Histone H4 (acetyl Lys5 + Lys8 + Lys12 + Lys16) Antibody (A309705)
Western blot analysis of extracts of C6 cells, using Anti-Histone H4 (acetyl Lys5 + Lys8 + Lys12 + Lys16) Antibody (A309705) at 1:500 dilution. C6 cells were treated by TSA (1 uM) at 37°C for 18 hours. The secondary antibody was Goat Anti-Rabbit IgG H&L Antibody (HRP) at 1:10,000 dilution. Lysates/proteins were present at 25µg per lane. The blocking buffer used was 3% non-fat dry milk in TBST. Detection was with a ECL Basic Kit. Exposure time: 30s.
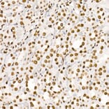
Immunohistochemistry analysis of paraffin-embedded human colon carcinoma tissue using Anti-Histone H4 (acetyl Lys5 + Lys8 + Lys12 + Lys16) Antibody (A309705) at a dilution of 1:50 (40x lens). Perform high pressure antigen retrieval with 10 mM citrate buffer pH 6.0 before commencing with IHC staining protocol.
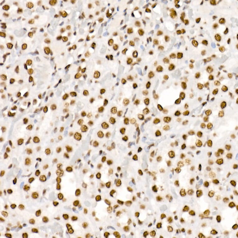
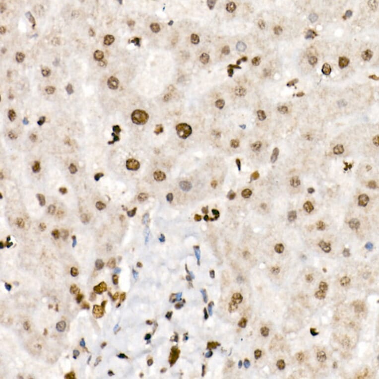
Immunohistochemistry analysis of paraffin-embedded human liver using Anti-Histone H4 (acetyl Lys5 + Lys8 + Lys12 + Lys16) Antibody (A309705) at a dilution of 1:50 (40x lens). Perform high pressure antigen retrieval with 10 mM citrate buffer pH 6.0 before commencing with IHC staining protocol.
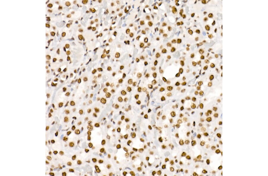
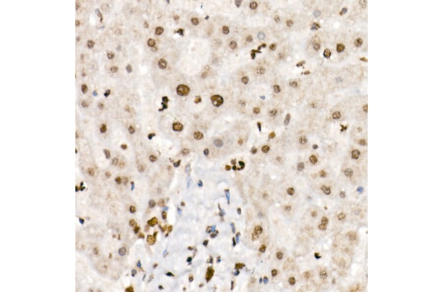
Immunohistochemistry analysis of paraffin-embedded mouse liver using Anti-Histone H4 (acetyl Lys5 + Lys8 + Lys12 + Lys16) Antibody (A309705) at a dilution of 1:50 (40x lens). Perform high pressure antigen retrieval with 10 mM citrate buffer pH 6.0 before commencing with IHC staining protocol.
Immunohistochemistry analysis of paraffin-embedded rat kidney using Anti-Histone H4 (acetyl Lys5 + Lys8 + Lys12 + Lys16) Antibody (A309705) at a dilution of 1:50 (40x lens). Perform high pressure antigen retrieval with 10 mM citrate buffer pH 6.0 before commencing with IHC staining protocol.
Immunohistochemistry analysis of paraffin-embedded rat testis using Anti-Histone H4 (acetyl Lys5 + Lys8 + Lys12 + Lys16) Antibody (A309705) at a dilution of 1:50 (40x lens). Perform high pressure antigen retrieval with 10 mM citrate buffer pH 6.0 before commencing with IHC staining protocol.
Publishing research using Anti-Histone H4 (acetyl Lys5 + Lys8 + Lys12 + Lys16) Antibody (A309705)? Please let us know so that we can list the citation on this page.
Alternative products to Anti-Histone H4 (acetyl Lys5 + Lys8 + Lys12 + Lys16) Antibody (A309705)