ISO 9001:2015 Certified
Live Customer Support
4.5/5 on Trustpilot
100% Quality Guarantee

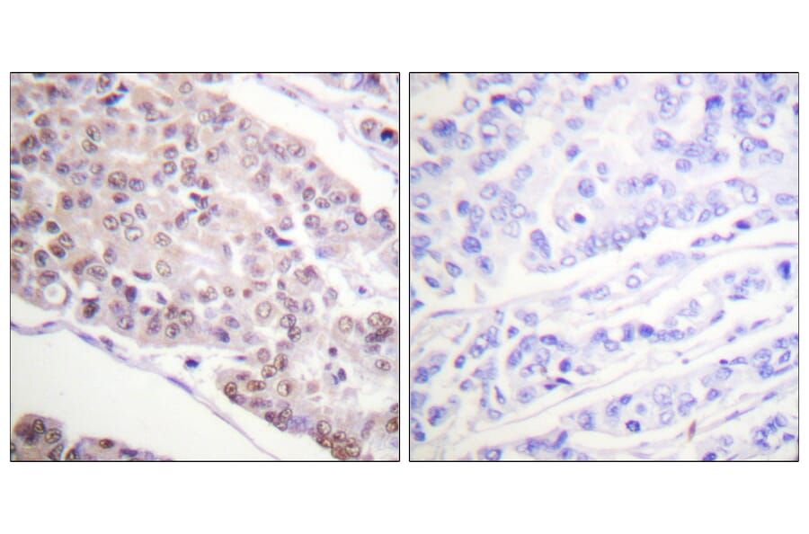
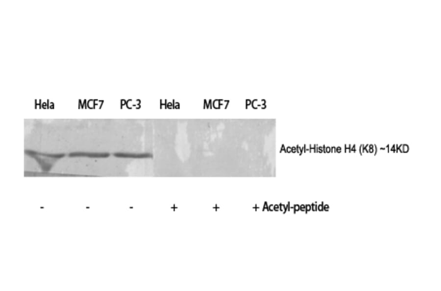
Anti-Histone H4 (acetyl Lys8) Antibody (A93770)

Rabbit polyclonal antibody to Histone H4 (acetyl Lys8) for WB, IHC, IF and ELISA.

Shipping Information

$40
Dispatched from St. Louis, MO.
Lead Time: 6-8 business days.
Name
Anti-Histone H4 (acetyl Lys8) Antibody
Description
Rabbit polyclonal antibody to Histone H4 (acetyl Lys8).
Specificity
This antibody detects endogenous levels of total Histone H4 protein only when acetylated at Lys8.
Applications
WB, IHC, IF, ELISA
Dilutions
WB: 1:500~1:1000, ELISA: 1:20000
Reactivity
Human, Mouse, Rat, Monkey
Cross Reactivity
No reported cross-reactivity.
Immunogen
Synthetic peptide derived from human Histone H4 around the acetylated site of Lys8 (amino acids 1-50).
Host
Rabbit
Clonality
Polyclonal
Isotype
IgG
Conjugate

Unconjugated

Purification
Purified from rabbit serum by antigen affinity chromatography using the immunizing phospho peptide.
Molecular Weight
11kDa
Product Form
Liquid
Formulation
Supplied in Phosphate Buffered Saline (without Mg2+ and Ca2+), pH 7.4, with 150mM NaCl, 0.02% Sodium Azide, and 50% Glycerol.
Storage
Shipped at 4°C. Upon delivery aliquot and store at -20°C. Avoid freeze / thaw cycles.
Synonyms
H4/A, H4C1, H4FA, HIST1H4A
Disclaimer
This product is for research use only. It is not intended for diagnostic or therapeutic use.
Publishing research using Anti-Histone H4 (acetyl Lys8) Antibody (A93770)? Please let us know so that we can list the citation on this page.

Alternative products to Anti-Histone H4 (acetyl Lys8) Antibody (A93770)