Western Blot - Anti-Histone H4 Antibody [ARC2340] (A308423)
Western blot analysis of extracts of various cell lines, using Anti-Histone H4 Antibody [ARC2340] (A308423) at 1:1,000 dilution. The secondary antibody was Goat Anti-Rabbit IgG H&L Antibody (HRP) at 1:10,000 dilution. Lysates/proteins were present at 25µg per lane. The blocking buffer used was 3% non-fat dry milk in TBST. Detection was with a ECL Enhanced Kit (RM00021). Exposure time: 10s.
Immunohistochemistry analysis of paraffin-embedded rat liver using Anti-Histone H4 Antibody [ARC2340] (A308423) at a dilution of 1:100 (40x lens). Perform microwave antigen retrieval with 10 mM Tris/EDTA buffer pH 9.0 before commencing with IHC staining protocol.
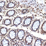
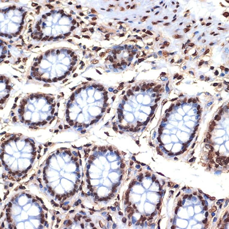
Immunohistochemistry analysis of paraffin-embedded human colon tissue using Anti-Histone H4 Antibody [ARC2340] (A308423) at a dilution of 1:100 (40x lens). Perform microwave antigen retrieval with 10 mM Tris/EDTA buffer pH 9.0 before commencing with IHC staining protocol.
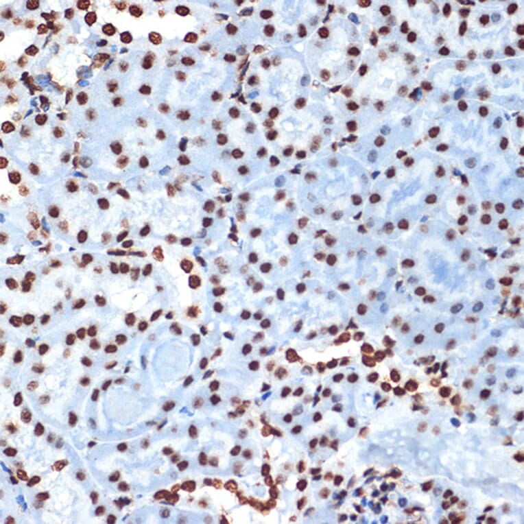
Immunohistochemistry analysis of paraffin-embedded mouse kidney using Anti-Histone H4 Antibody [ARC2340] (A308423) at a dilution of 1:100 (40x lens). Perform microwave antigen retrieval with 10 mM Tris/EDTA buffer pH 9.0 before commencing with IHC staining protocol.
Publishing research using Anti-Histone H4 Antibody [ARC2340] (A308423)? Please let us know so that we can list the citation on this page.
Alternative products to Anti-Histone H4 Antibody [ARC2340] (A308423)