Primary Antibodies
Secondary Antibodies
Proteins & Peptides
ELISA Kits
About Us
Contact Us
Sign In/Register
0
ISO 9001:2015 Certified
Live Customer Support
4.5/5 on Trustpilot
100% Quality Guarantee
Home
Primary Antibodies
GAPDH Antibodies
Anti-GAPDH Antibody (A47880)
Anti-GAPDH Antibody (A47880)
Overview
Specifications
Images
Enlarge Image
Enlarge Image
$780
Product Datasheet
Rabbit polyclonal antibody to GAPDH for ELISA, WB and IHC.
100% Guarantee
Price Match Guarantee
Product Size:
100µl
Quantity:
1
2
3
4
5
6
7
8
9
10
Add To Cart
Request a Quotation
Custom or Bulk Request
Shipping Information
Freight/Packing Charges:
$40
Dispatched from St. Louis, MO.
Lead Time: 6-9 business days.
Tags:
Cytoplasm Marker
Cytoskeleton Marker
Loading Control
Nuclear Marker
Specifications
Name
Anti-GAPDH Antibody
Description
Rabbit polyclonal antibody to GAPDH
Applications
ELISA
,
WB
,
IHC
Reactivity
Human, Mouse, Rat
Immunogen
Raised against a 16 amino acid peptide from near the amino-terminus of human GAPDH.
Host
Rabbit
Clonality
Polyclonal
Conjugate
Unconjugated
Purification
Affinity chromatography purified via peptide column
Formulation
Supplied in phosphate-buffered saline with 0.02% Sodium Azide.
Storage
Shipped at 4°C. Upon delivery aliquot and store at -20°C. Avoid freeze/thaw cycles.
Synonyms
GAPD, Glyceraldehyde-3-phosphate dehydrogenase, Peptidyl-cysteine S-nitrosylase GAPDH
Suitable Secondaries
Goat Anti-Rabbit IgG H&L Antibody (AP) (A294874)
Goat Anti-Rabbit IgG H&L Antibody (Biotin) (A294795)
Goat Anti-Rabbit IgG H&L Antibody (FITC) (A294887)
Goat Anti-Rabbit IgG H&L Antibody (HRP) (A294888)
See all Anti-Rabbit IgG Secondaries →
Disclaimer
This product is for research use only. It is not intended for diagnostic or therapeutic use.
Scientific Validation Data
Validation Data
(2)
Enlarge Image
Anti-GAPDH Antibody (A47880)
Western blot analysis of GAPDH in HeLa cell lysate with GAPDH antibody at (A) 0.125, (B) 0.25 and (C) 0.5 µg/mL.
Enlarge Image
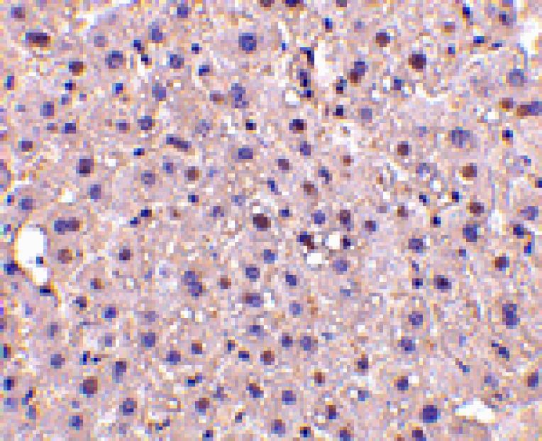
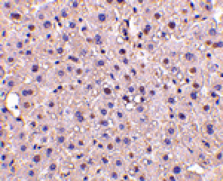
Immunohistochemistry - Anti-GAPDH Antibody (A47880)
Immunohistochemistry of GAPDH in human liver tissue with GAPDH antibody at 10 µg/mL.
Publishing research using Anti-GAPDH Antibody (A47880)? Please
let us know
so that we can list the citation on this page.
Most popular Anti-GAPDH Antibodies
(8)
A85382
1 Citation
Anti-GAPDH Antibody [1D4]
Mouse monoclonal [1D4] antibody to GAPDH for WB, ICC/IF and IHC.
(6)
A85271
3 Citations
Anti-GAPDH Antibody [GA1R]
Mouse monoclonal (GA1R) antibody to GAPDH for Dot, ELISA, IS and WB.
(6)
A85377
Anti-GAPDH Antibody
Rabbit polyclonal antibody to GAPDH for WB, ICC/IF and IHC.
A83722
Anti-GAPDH Antibody
Goat polyclonal antibody to GAPDH for ELISA, WB, IF and IHC.
(8)
A85382
1 Citation
Anti-GAPDH Antibody [1D4]
Mouse monoclonal [1D4] antibody to GAPDH for WB, ICC/IF and IHC.
(6)
A85271
3 Citations
Anti-GAPDH Antibody [GA1R]
Mouse monoclonal (GA1R) antibody to GAPDH for Dot, ELISA, IS and WB.
(6)
A85377
Anti-GAPDH Antibody
Rabbit polyclonal antibody to GAPDH for WB, ICC/IF and IHC.
A83722
Anti-GAPDH Antibody
Goat polyclonal antibody to GAPDH for ELISA, WB, IF and IHC.
Alternative products to Anti-GAPDH Antibody (A47880)
A279474
Anti-GAPDH Antibody [6C5]
Mouse monoclonal [6C5] antibody to GAPDH for WB, ELISA, IF, IHC-Fr and IP.
(7)
A92899
Anti-GAPDH Antibody
Rabbit polyclonal antibody to GAPDH for WB, IHC, ICC/IF and IP.
(12)
A309068
Anti-GAPDH Antibody [ARC50888]
Rabbit monoclonal [ARC50888] antibody to GAPDH for WB, IHC and ICC/IF.
(2)
A32410
Anti-GAPDH (1A6) Antibody
Mouse monoclonal antibody to GAPDH (1A6) for ELISA, WB, IHC and IF.
(3)
A121579
Anti-GAPDH Antibody
Goat polyclonal antibody to GAPDH for WB, IF, IHC-P and IHC-Fr.
A279385
Anti-GAPDH Antibody [4G5]
Mouse monoclonal [4G5] antibody to GAPDH for WB, ELISA, IF, IHC-Fr and IP.
(6)
A82908
Anti-GAPDH Antibody
Goat polyclonal antibody to GAPDH for ELISA, WB, IHC and IF.
A1075
Anti-GAPDH Antibody
Mouse monoclonal antibody to GAPDH for WB, IP, IF and IHC.
A41210
Anti-GAPDH Antibody
Mouse monoclonal antibody to GAPDH for WB.
A39192
Anti-GAPDH Antibody
Rabbit polyclonal antibody to GAPDH for WB and IHC.
(2)
A121396
Anti-GAPDH Antibody [RM114]
Recombinant rabbit monoclonal [RM114] antibody to GAPDH for WB, IP, ChIP, ICC and IHC.
(2)
A121592
Anti-GAPDH Antibody
Goat polyclonal antibody to GAPDH for WB, IF, IHC-P and IHC-Fr.
A279474
Anti-GAPDH Antibody [6C5]
Mouse monoclonal [6C5] antibody to GAPDH for WB, ELISA, IF, IHC-Fr and IP.
(7)
A92899
Anti-GAPDH Antibody
Rabbit polyclonal antibody to GAPDH for WB, IHC, ICC/IF and IP.
(12)
A309068
Anti-GAPDH Antibody [ARC50888]
Rabbit monoclonal [ARC50888] antibody to GAPDH for WB, IHC and ICC/IF.
(2)
A32410
Anti-GAPDH (1A6) Antibody
Mouse monoclonal antibody to GAPDH (1A6) for ELISA, WB, IHC and IF.
(3)
A121579
Anti-GAPDH Antibody
Goat polyclonal antibody to GAPDH for WB, IF, IHC-P and IHC-Fr.
A279385
Anti-GAPDH Antibody [4G5]
Mouse monoclonal [4G5] antibody to GAPDH for WB, ELISA, IF, IHC-Fr and IP.
(6)
A82908
Anti-GAPDH Antibody
Goat polyclonal antibody to GAPDH for ELISA, WB, IHC and IF.
A1075
Anti-GAPDH Antibody
Mouse monoclonal antibody to GAPDH for WB, IP, IF and IHC.
A41210
Anti-GAPDH Antibody
Mouse monoclonal antibody to GAPDH for WB.
A39192
Anti-GAPDH Antibody
Rabbit polyclonal antibody to GAPDH for WB and IHC.
(2)
A121396
Anti-GAPDH Antibody [RM114]
Recombinant rabbit monoclonal [RM114] antibody to GAPDH for WB, IP, ChIP, ICC and IHC.
(2)
A121592
Anti-GAPDH Antibody
Goat polyclonal antibody to GAPDH for WB, IF, IHC-P and IHC-Fr.
See all GAPDH Antibodies
Proteins predicted to interact with GAPDH
Predicted protein interactions based upon String database. Revelancy score correlates with probability of interaction.
TPI1 Antibodies
99.9% Relevancy Score
PGK2 Antibodies
99.9% Relevancy Score
hnRNP Q Antibodies
99.9% Relevancy Score
PGK1 Antibodies
99.9% Relevancy Score
RPL13A Antibodies
99.9% Relevancy Score
Aldolase Antibodies
99.9% Relevancy Score
ENO1 Antibodies
99.8% Relevancy Score
SIAH1 Antibodies
99.7% Relevancy Score
GPI Antibodies
99.5% Relevancy Score
Top