Primary Antibodies
Secondary Antibodies
Proteins & Peptides
ELISA Kits
About Us
Contact Us
Sign In/Register
0
ISO 9001:2015 Certified
Live Customer Support
4.5/5 on Trustpilot
100% Quality Guarantee
Home
Primary Antibodies
NF-L Antibodies
Anti-NEFL Antibody (A46680)
Anti-NEFL Antibody (A46680)
Overview
Specifications
Images
Enlarge Image
Enlarge Image
$430
Product Datasheet
Rabbit polyclonal antibody to NEFL for IHC.
100% Guarantee
Price Match Guarantee
Product Size:
100µl
Quantity:
1
2
3
4
5
6
7
8
9
10
Add To Cart
Request a Quotation
Custom or Bulk Request
Shipping Information
Freight/Packing Charges:
$40
Dispatched from St. Louis, MO.
Lead Time: 6-9 business days.
Tags:
Pan Neuronal Marker
Specifications
Name
Anti-NEFL Antibody
Description
Rabbit polyclonal antibody to NEFL
Specificity
The antibody detects endogenous levels of total NEFL protein.
Applications
IHC
Reactivity
Human
Immunogen
Fusion protein corresponding to a region derived from internal residues of human neurofilament, light polypeptide
Host
Rabbit
Clonality
Polyclonal
Conjugate
Unconjugated
Purification
Antigen affinity purification.
Concentration
0.6 mg/mL
Formulation
Supplied in PBS, pH 7.3, containing 0.05% sodium azide and 50% glycerol.
Storage
Shipped at 4°C. Upon delivery aliquot and store at -20°C. Avoid freeze/thaw cycles.
Synonyms
68 kDa neurofilament protein, 68kDa Neurofilament, Neurofilament light polypeptide, Neurofilament triplet L protein, NF68, NFL
Suitable Secondaries
Goat Anti-Rabbit IgG H&L Antibody (AP) (A294874)
Goat Anti-Rabbit IgG H&L Antibody (Biotin) (A294795)
Goat Anti-Rabbit IgG H&L Antibody (FITC) (A294887)
Goat Anti-Rabbit IgG H&L Antibody (HRP) (A294888)
See all Anti-Rabbit IgG Secondaries →
Disclaimer
This product is for research use only. It is not intended for diagnostic or therapeutic use.
Scientific Validation Data
Validation Data
(2)
Enlarge Image
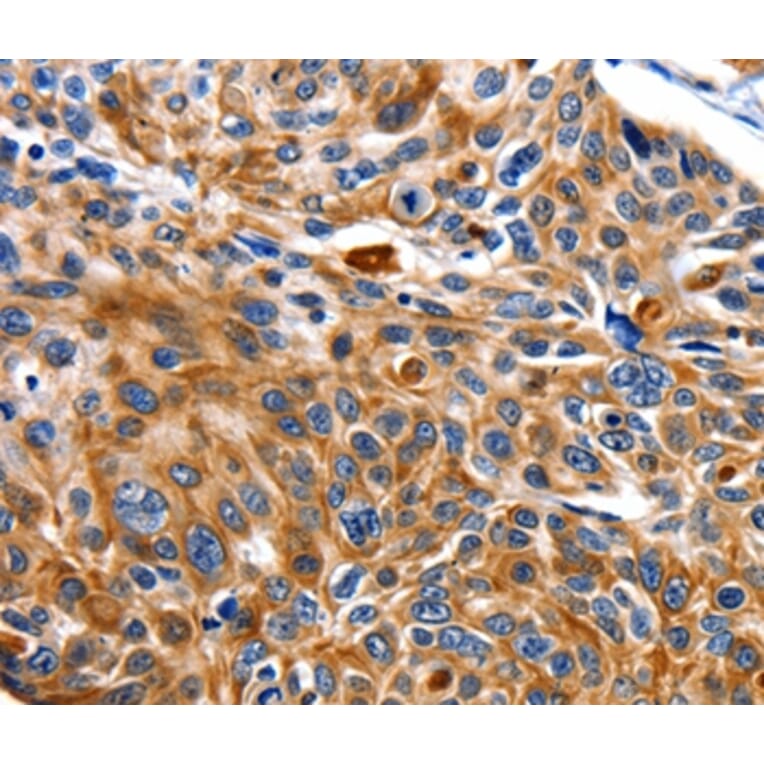
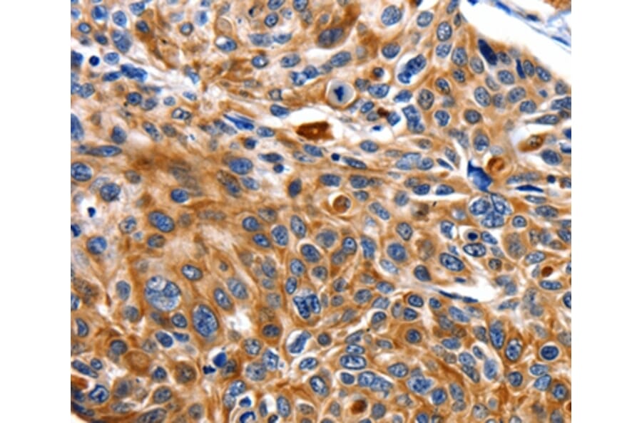
Immunohistochemistry - Anti-NEFL Antibody (A46680)
Immunohistochemical analysis of paraffin-embedded Human colon cancer tissue using #35557 at dilution 1/20.
Enlarge Image
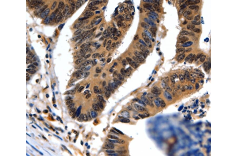
Immunohistochemistry - Anti-NEFL Antibody (A46680)
Immunohistochemical analysis of paraffin-embedded Human oesophagus cancer tissue using #35557 at dilution 1/20.
Publishing research using Anti-NEFL Antibody (A46680)? Please
let us know
so that we can list the citation on this page.
Alternative products to Anti-NEFL Antibody (A46680)
(7)
A85454
Anti-NF-L Antibody [DA2]
Mouse monoclonal [DA2] antibody to NF-L for WB, ICC/IF and IHC.
(11)
A85451
Anti-NF-L Antibody
Rabbit polyclonal antibody to NF-L for WB and ICC/IF.
(7)
A104310
Anti-NF-L Antibody [1B11]
Mouse monoclonal [1B11] antibody to NF-L for WB, ICC/IF and IHC.
(4)
A85453
Anti-NF-L Antibody [7D1]
Mouse monoclonal [7D1] antibody to NF-L for WB, ICC/IF and IHC.
(6)
A85286
Anti-NF-L Antibody
Chicken polyclonal antibody to NF-L for WB, ICC/IF and IHC.
(4)
A333279
Anti-NF-L Antibody
Rabbit polyclonal antibody to NF-L for WB, ICC/IF, ELISA and IHC.
(7)
A270580
Anti-NF-L Antibody
Rabbit polyclonal antibody to NF-L for WB and ICC/IF.
(5)
A333276
Anti-NF-L Antibody [6H63]
Mouse monoclonal [6H63] antibody to NF-L for WB, ICC/IF and ELISA.
(5)
A249494
Anti-NF-L Antibody [NR-4]
Mouse monoclonal [NR-4] antibody to NF-L for IF, Flow Cytometry and IHC-P.
(5)
A252674
Anti-NF-L Antibody [NR-4] - BSA and Azide free
Mouse monoclonal [NR-4] antibody to NF-L for IF, Flow Cytometry and IHC-P.
(4)
A333277
Anti-NF-L Antibody [1D44]
Mouse monoclonal [1D44] antibody to NF-L for WB, ICC/IF and ELISA.
(4)
A270560
Anti-NF-L Antibody [6H112]
Mouse monoclonal [6H112] antibody to NF-L for WB, ICC/IF and IHC.
(7)
A85454
Anti-NF-L Antibody [DA2]
Mouse monoclonal [DA2] antibody to NF-L for WB, ICC/IF and IHC.
(11)
A85451
Anti-NF-L Antibody
Rabbit polyclonal antibody to NF-L for WB and ICC/IF.
(7)
A104310
Anti-NF-L Antibody [1B11]
Mouse monoclonal [1B11] antibody to NF-L for WB, ICC/IF and IHC.
(4)
A85453
Anti-NF-L Antibody [7D1]
Mouse monoclonal [7D1] antibody to NF-L for WB, ICC/IF and IHC.
(6)
A85286
Anti-NF-L Antibody
Chicken polyclonal antibody to NF-L for WB, ICC/IF and IHC.
(4)
A333279
Anti-NF-L Antibody
Rabbit polyclonal antibody to NF-L for WB, ICC/IF, ELISA and IHC.
(7)
A270580
Anti-NF-L Antibody
Rabbit polyclonal antibody to NF-L for WB and ICC/IF.
(5)
A333276
Anti-NF-L Antibody [6H63]
Mouse monoclonal [6H63] antibody to NF-L for WB, ICC/IF and ELISA.
(5)
A249494
Anti-NF-L Antibody [NR-4]
Mouse monoclonal [NR-4] antibody to NF-L for IF, Flow Cytometry and IHC-P.
(5)
A252674
Anti-NF-L Antibody [NR-4] - BSA and Azide free
Mouse monoclonal [NR-4] antibody to NF-L for IF, Flow Cytometry and IHC-P.
(4)
A333277
Anti-NF-L Antibody [1D44]
Mouse monoclonal [1D44] antibody to NF-L for WB, ICC/IF and ELISA.
(4)
A270560
Anti-NF-L Antibody [6H112]
Mouse monoclonal [6H112] antibody to NF-L for WB, ICC/IF and IHC.
See all NEFL Antibodies
Proteins predicted to interact with NF-L
Predicted protein interactions based upon String database. Revelancy score correlates with probability of interaction.
NF-M Antibodies
99.9% Relevancy Score
NF-H Antibodies
99.6% Relevancy Score
alpha Internexin Antibodies
98.6% Relevancy Score
SOD1 Antibodies
97.6% Relevancy Score
KIF5A Antibodies
95% Relevancy Score
KLC3 Antibodies
92.4% Relevancy Score
KLC1 Antibodies
92% Relevancy Score
KLC2 Antibodies
92% Relevancy Score
MAPK11 Antibodies
91.2% Relevancy Score
Top