Above is a diagram showing human NF-L with the location of the epitopes. Anti-NF L Antibody [1D44] (A333277) was made against a proprietary immunogen containing amino acids 316-370. The antibody has an epitope similar to that of the Uman NF-Light™ assay monoclonal UD2, also known as 2.1.
A Keyence merged image of an entire coronal section from a of rat given a contusion injury three days previously and stained for Anti-NF-L Antibody (red) and Anti-NF L Antibody [1D44] (A333277) (green). Anti-NF L Antibody [1D44] (A333277) positive profiles are particularly obvious in the dorsal columns, corticospinal tracts and rubrospinal tracts, less abundant in the lateral and ventral funuculi and least abundant but not totally absent in the spinal cord gray matter.
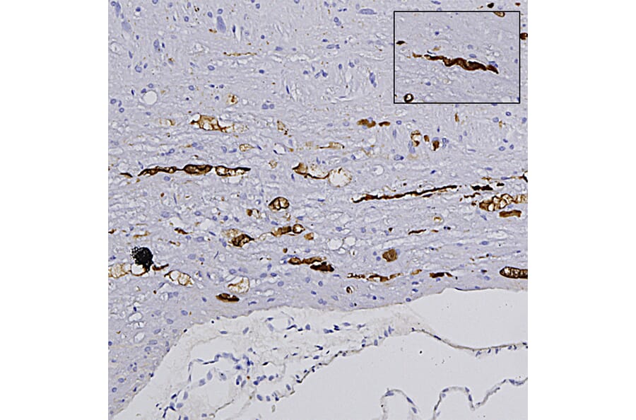
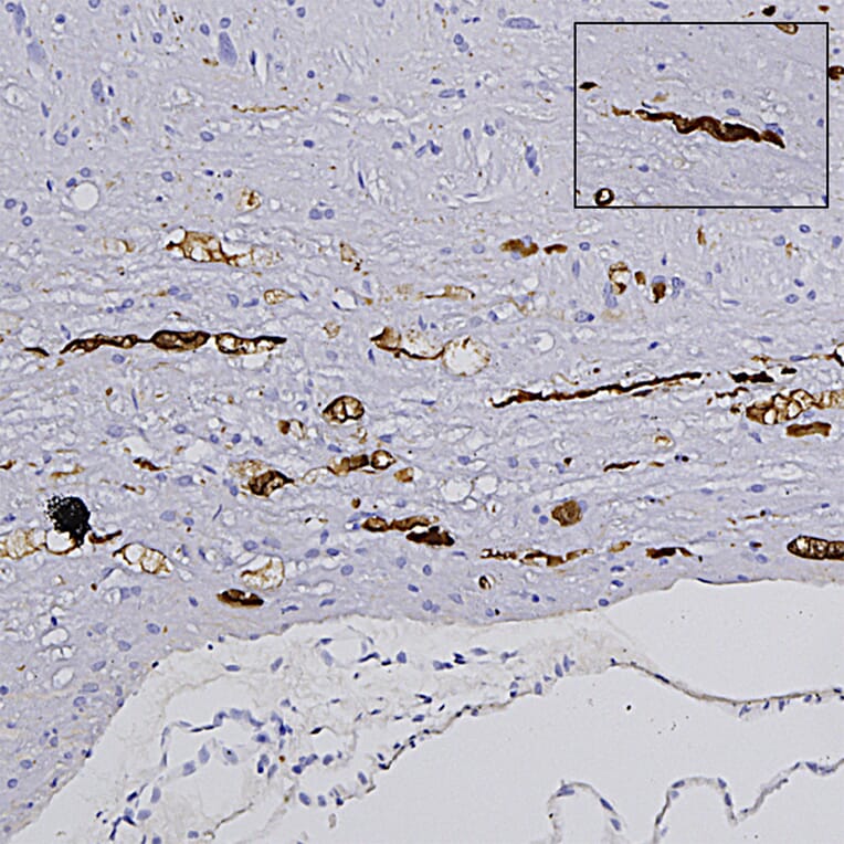
Immunohistochemistry analysis of formalin fixed paraffin embedded heterozygous G85R-SOD1-YFP mice injected with mutant SOD1 in the hind limb and degenerated processes were seen in the sciatic nerve, in fibers in the spinal cord and as shown here in the brain stem. The inset shows an example of a helical typical of degenerating processes. Note swollen and sinusoidal profiles. The inset shows an example of a beaded profile typical of degenerating processes. Staining was with Anti-NF L Antibody [1D44] (A333277) diluted 1:2,000 using Vector Labs mouse on mouse Immpress method and reagents following protocol.
Western Blot - Anti-NF-L Antibody [1D44] (A333277)
Western blot analysis of different tissue lysates using Anti-NF L Antibody [1D44] (A333277) at a dilution of 1:1,000 (green). The lanes contain: [Lane 1] protein standard with standards of indicated molecular weight and homogenates of, [Lane 2] rat brain, [Lane 3] rat spinal cord, [Lane 4] mouse brain, [Lane 5] mouse spinal cord, [Lane 6] cow spinal cord, and [Lane 7] pig spinal cord. Strong band at about 68kDa corresponds to full length NF-L protein. Lower molecular weight bands detected in the samples are presumably proteolytic forms of NF-L.
Publishing research using Anti-NF-L Antibody [1D44] (A333277)? Please let us know so that we can list the citation on this page.
Alternative products to Anti-NF-L Antibody [1D44] (A333277)