ISO 9001:2015 Certified
Live Customer Support
4.5/5 on Trustpilot
100% Quality Guarantee

Anti-NF-L Antibody [NR-4] - BSA and Azide free (A252674)

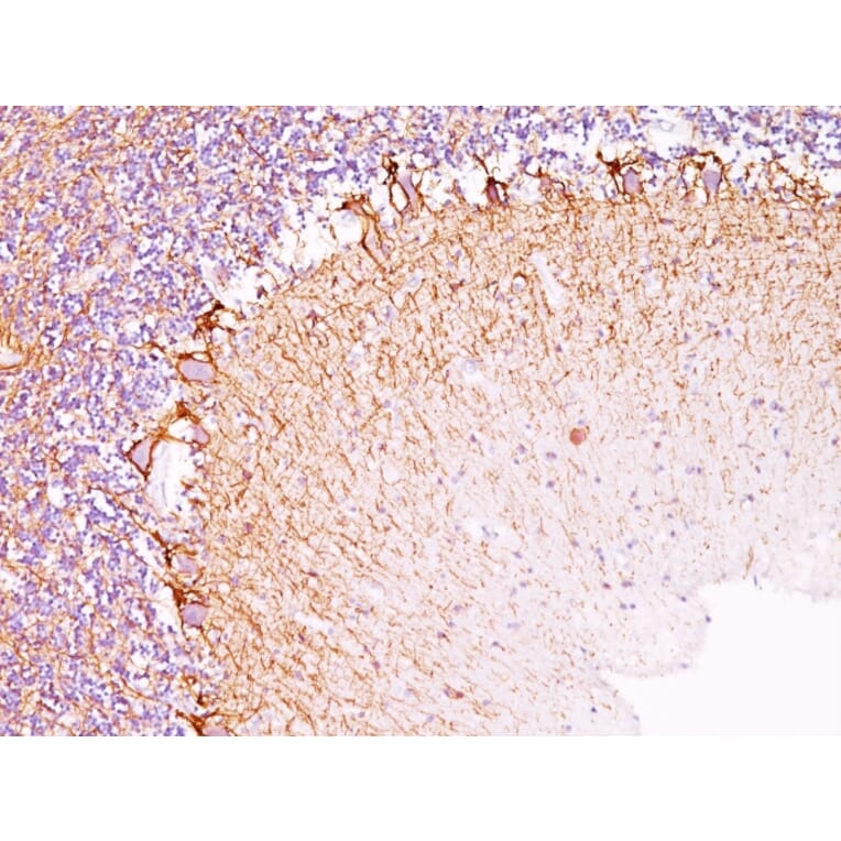
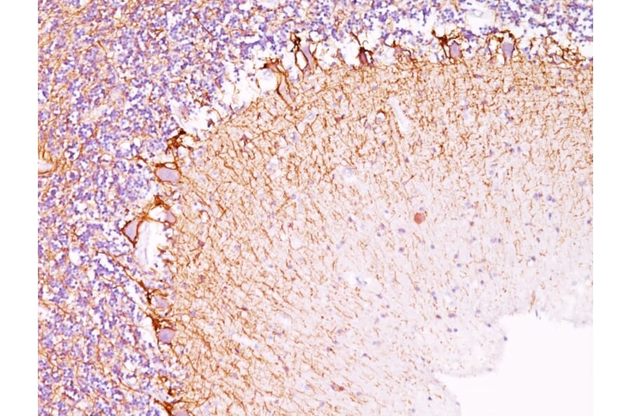
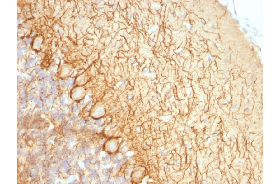
Mouse monoclonal [NR-4] antibody to NF-L for IF, Flow Cytometry and IHC-P.

Alternative Formats and ConjugatesAlternative Formats

Shipping Information

$40
Dispatched from St. Louis, MO.
Lead Time: 5-8 business days.
Name
Anti-NF-L Antibody [NR-4] - BSA and Azide free
Description
Mouse monoclonal [NR-4] antibody to NF-L.
Specificity
This antibody reacts with a 68kDa protein, identified as light sub-unit of neurofilaments (NF-L). Neurofilaments make up the main structural elements of axons and dendrites and are found in neurons, peripheral nerves, and sympathetic ganglion cells. Neurofilaments consist of three major subunits with molecular weights of 68kDa (NF-L), 160kDa (NF-M) and 200kDa (NF-H). Anti-neurofilament stains a number of neural, neuroendocrine, and endocrine tumors. Neuromas, ganglioneuromas, gangliogliomas, ganglioneuroblastomas, and neuroblastomas stain positively for anti-neurofilament. Neurofilaments are also present in paragangliomas as well as adrenal and extra-adrenal pheochromocytomas. Carcinoids, neuroendocrine carcinomas of the skin, and oat cell carcinomas of the lung also express neurofilament.
Applications
IF, Flow Cytometry, IHC-P
Dilutions
IF: 1-2 µg/ml, Flow Cytometry: 1-2 µg/million cells, IHC-P: 1-2 µg/ml
Reactivity
Human, Rat, Porcine, Bovine, Chicken
Immunogen
Crude neurofilament preparation from porcine spinal cord.
Host
Mouse
Clonality
Monoclonal
Clone ID
NR-4
Isotype
IgG1
Light Chains
kappa
Conjugate

Unconjugated

Purification
Protein A/G chromatography.
Concentration
1 mg/ml
Molecular Weight
68 kDa
Product Form
Liquid
Formulation
Supplied in 10mM Phosphate Buffered Saline; without Sodium Azide and carrier free.
Storage
Shipped at 4°C. Upon delivery aliquot and store at -20°C. Avoid freeze / thaw cycles.
General Notes
This monoclonal antibody is also available in a different formulation with BSA and Sodium Azide - Anti-NF-L Antibody [NR-4] (A249494).
Synonyms
68 kDa neurofilament protein, 68kDa Neurofilament, NEFL, Neurofilament light polypeptide, Neurofilament triplet L protein, NF68, NFL
Disclaimer
This product is for research use only. It is not intended for diagnostic or therapeutic use.
Publishing research using Anti-NF-L Antibody [NR-4] - BSA and Azide free (A252674)? Please let us know so that we can list the citation on this page.

Alternative products to Anti-NF-L Antibody [NR-4] - BSA and Azide free (A252674)

Proteins predicted to interact with NF-L

Predicted protein interactions based upon String database. Revelancy score correlates with probability of interaction.
99.9% Relevancy Score
99.6% Relevancy Score
98.6% Relevancy Score
97.6% Relevancy Score
95% Relevancy Score
92.4% Relevancy Score
92% Relevancy Score
92% Relevancy Score
91.2% Relevancy Score