Natural Killer Cell Markers

Lucas Baumard, PhD | 7th July 2025

Natural killer (NK) cells are large, granular lymphocytes (Figure 1) of the innate immune system that act as a first line of defense against early infection and cellular transformation by directly lysing affected cells with cytolytic molecules.

Unlike T cells and B cells, NK cells do not express clonotypic receptors and therefore do not require prior antigen sensitization to eliminate their target cells. Instead, they express a variety of NK receptors (NKRs), such as the killer immunoglobulin-like receptors (KIRs), to distinguish healthy “self” cells from cells that are “non-self” or diseased.

NK cell marker expression varies depending on their location in the body and NK cell subset and lineage. The study of the expression of markers associated with NK cell activation can determine developmental stage and the capacity to respond to an infection or tumor.

TEM morphology of a natural killer cell

Figure 1: Morphology of a conventional NK cell in the spleen, shown by transmission electron microscopy (TEM). Of note is the very large nucleus (dark grey). Edited and reproduced under CC BY 4.0 from 1.

Table of Contents

NK Cell Development

Conventional or circulating NK cells (cNK cells) develop from common lymphoid progenitor (CLP) cells of the bone marrow, which in turn develop from CD34+ hematopoietic stem cells (HSCs) (Figure 2). While a spectrum of NK cell developmental intermediates can be found in the bone marrow, the conventional model suggests that NK cell progenitors finalize development by seeding secondary lymphoid tissues such as the tonsil – although non-lymphoid organs such as the liver has also been seen to host NK cell developmental stages. After precursor differentiation within tissues, mature, functional cNK cells then enter the circulation.2

Diagram of NK cell development

Figure 2: Development of conventional NK cells. Important markers of functional NK cells are indicated. Note that Stage 6 are depicted as adaptive or memory-like (ml) NK cells, while some suggest that these are distinct populations.

The stages of cNK cell differentiation are complex and incompletely understood, complicated by the suggestion that some subsets along the NK lineage are functionally distinct subsets (see CD56 Expression Determines Major cNK Subsets). Due to this incomplete understanding, there are numerous naming conventions for cNK cell development, where they have been variably described as:

  • Stages 1-63,4
  • Stages A-F (mainly for mouse NK cells)5
  • Immature/transitional/mature (correspondingly named M1/M2/M3),6 or
  • Based on specific marker expression, in particular levels of CD562,7

Common markers for these stages and their precursors can be found in Table 1. Some of the most important markers are described in greater detail further below (see CD56 and CD16 Determine Major cNK Subsets and Adaptive NK Markers).

HSC LMPP CLP NKP
Stage 1
Pre-NK
Stage 2a
Pre-NK
Stage 2b
iNK
Stage 3
CD56bright
Stage 4a
CD56bright
Stage 4b
CD56dim
Stage 5
CD56dim
Stage 6
Lin - - - - - - - - - - -
CD34 + low + + + + +/- - - - -
c-Kit + low + + - + + +/low low/− low/- -
CD244 - + + + + + + + + + +
CD45RA - + + + + + + +/− +/− - -
CD127 - - + + + + +/- - - - -
CD7 - - + + + + + + + + +
CD10 - - + + +/- - - - - - -
ILR1 - - - low - + + +/low low/- low/- low/-
CD122 - - - + - + + + + + +
HLA-DR - - - + + + - - - - -
NKp46 (NCR1) - - - - - - +/- + + + +
NKp30 - - - - - - +/- + + + +
CD161 - - - - - - +/- + + + +
NKG2D - - - - - - +/- + + + +
NKG2A - - - - - - - + + low/- low/-
NKp80 - - - - - - - - + + +
CD56 - - - - - low/- low/- ++ ++ low low
CD16 - - - - - - - - - + +
KIR - - - - - - - - - +/- +
NKG2C - - - - - - - - - + +
CD57 - - - - - - - - - - +

Table 1: Human NK cell surface markers expressed during distinct developmental stages. ++, high expression; +, moderate expression; low, low expression; –, no detectable expression. Adapted from 3

Using the Stage 1-6 terminology, mature cNK cells emerge at Stage 4 (4a/4b). Commitment to the NK lineage happens incrementally prior to this stage, marked by the expression of key markers. CLP cells are multipotent and can develop into T cells, B cells or other innate lymphoid cells (ILCs).6,8,9 CLP cells destined for an NK fate can be identified by:3

  1. Gradual downregulation of CD34 and upregulation of CD56, marking commitment to the NK lineage
  2. Acquisition of CD94, marking commitment to the mature cNK cell stage (Stage 4)
  3. Reduced CD56, increased CD16 and increased killer immunoglobulin-like receptors (KIRs)
  4. Expression of CD57 marking terminal differentiation of NK cells

Despite the linearity of the model depicted in Figure 2, NK cell development may be more complex and plastic, including branching development from precursors to different types of functionally mature cNK cells.7

CD56 and CD16 Determine Major cNK Subsets

CD56 (NCAM1) is the canonical NK cell marker, and divides NK cells into two main types based on the intensity of CD56 expression:10

  1. CD117+/−CD94+CD16−CD56bright NK cells (stage 4), known for producing high levels of cytokines such as IL-12, IL-15 and IL-18, but lack perforin expression11,12
  2. CD117−CD94+/−CD16+CD56dim effector NK cell (stage 5) with more potent cytolytic potential, expressing higher levels of IFN-γ and CD1612

CD56 is as an adhesion molecule that is thought to facilitate NK-target cell interactions.13 CD56dim or CD56bright status therefore reflects differences in the homing ability and phenotypes of these stages.11 CD56bright NK cells represent approximately 10% of mature peripheral blood NK cells (though they are the predominant subset in lymph nodes) and develop to full maturity upon expression of the receptor NKp80 at stage 4b.14 The other 90% of cNK cells in the blood of healthy individuals are CD56dim and are thought to develop from CD56bright cells.

Alongside CD56, CD16 is another marker that classically defines mature cNK cells (Figure 3). CD56dimCD16bright cells represent the largest subset in peripheral blood NK cells whilst CD56dimCD16− and CD56−CD16+ are in the minority.15 High levels of CD16 are associated with antibody-dependent cellular cytotoxicity (ADCC), a common mechanism by which NK cells kill target cells,11 and CD16 is a receptor for the Fc portion of IgG antibodies.16 CD16 is found in different isoforms with CD16a mostly expressed on NK cells but also macrophages and monocytes whereas CD16b is expressed on neutrophils.16,17 CD16 is rapidly downregulated after stimulation.18

Flow cytometry analysis of CD56 and CD16 expression in NK cells.

Figure 3: CD56 and CD16 expression distinguish NK cell subsets. A, Flow cytometry analysis of NK cell subsets in human peripheral blood based on the relative expression of CD16 and CD56. 1: CD56bright CD16−. 2: CD56bright CD16dim. 3: CD56dim CD16−. 4: CD56dim CD16+. 5: CD56− CD16+. B, Percentages of NK cell subsets compared to the total NK cell population. Edited and reproduced under Creative Commons 4.0 CC-BY from 19.

CD27 is an NK cell marker that has only recently begun to be studied. Most peripheral blood human NK cells are CD27low and this CD27low population shows higher cytotoxicity in vitro, whereas the CD27high population produces more IFN-γ and TNF-α.20 The study authors postulated that the CD27low population represented a more mature, differentiated NK cell.

Flow cytometry - Anti-NCAM1 Antibody [LT56] (APC) (A86431)

Figure 4: Flow cytometry analysis of human peripheral blood stained with Anti-NCAM1 Antibody [LT56] (APC) (A86431).

Flow cytometry - Anti-CD16 Antibody [LNK16] (A85767)

Figure 5: Flow cytometry analysis of human peripheral blood cells stained with Anti-CD16 Antibody [LNK16] (A85767).

Adaptive NK Cell Markers

NK cells have historically been defined as non-specific cytolytic cells, but recent evidence suggests that some populations of NK cells exhibit adaptive or memory-like traits.3,21 These populations undergo large clonal expansions following re-exposure to viral infection such as CMV.3

Memory-like or adaptive NK cells typically express the CD94/NKG2C receptor for recognizing virally infected cells, although they can also be primed by repeated exposure to consistent cytokine contexts.2 They are also characterized by expression of KIRs (see Inhibitory/activator receptors on NK cells) and CD57 and a lack of CD161, NKp30, and CD7.4

CD57 (B3GAT1) expression has been shown to increase with age22 and is associated with maturing NK cells and CD8+ T cells. CD57 expression also reflects high cytolytic potential, reduced IFN-γ production and increased granzyme expression in NK cells.23,24 CD57+ NKG2C.high NK cells have been shown to increase in number at the onset of infection and to decrease after antigen clearance, albeit less rapidly than other NK subsets, indicating less susceptibility to death.24

Adaptive NK cells are typically CD56dim, though they are a distinct population from the CD56dim stage 5 cNK cells described earlier and may develop from them. They are sometimes considered a terminally differentiated stage 6, though they may also be a distinct population (Figure 2).2,7

Flow cytometry - Anti-CD57 Antibody [TB01] (A86858)

Figure 6: Flow cytometry analysis of buffy coat cells stained with Anti-CD57 Antibody [TB01] (A86858).

Flow cytometry - Anti-CD94 Antibody [HP-3D9] (PE) (A86325)

Figure 7: Flow cytometry analysis of human peripheral blood cells stained with Anti-CD94 Antibody [HP-3D9] (PE) (A86325).

Mouse vs Human cNK Cell Markers

Although cNK cells follow approximately the same developmental progression in humans as in mice, the characteristic markers of each stage can differ. These are illustrated in Table 2.

Stage Mouse Markers Human Markers
HSC Lin-
c-Kit+
Sca-1+
Lin-
CD34+
CD133+
CD244+
CLP Lin-
c-Kit+
CD122-
IL-7Rα+
Sca-1+
Flt-3+
Lin-
CD34+
CD45RA+
CD127+
CD133+
CD244+
NKP Lin-
c-Kit-
CD122+
IL-7Rα+/-
NKG2D+
2B4+
Lin-
CD34+
CD45RA+
CD122+
CD38+
CD244+
Immature / M1 NK1.1+
NKp46+
CD122+
NKG2D+
CD27+
CD11b-
CD56bright
CD122+
CD16-
CD57-
KIR-
Transitional / M2 NK1.1+
NKp46+
CD122+
NKG2D+
CD27+
CD11b+
CD56dim
CD122+
CD16+
CD57-
KIR+
Mature / M3 NK1.1+
NKp46+
CD122+
NKG2D+
CD27-
CD11b+
CD56dim
CD122+
CD16+
CD57+
KIR+

Table 2: Distinct markers in mouse and human NK cells. Adapted from 6

The NK Cell Immunological Synapse

NK cells form immunological synapses (IS) between themselves and target cells to direct cytotoxic activity in a coordinated manner (Figure 8). The NK cell binds to the target cell with integrin and adhesion molecules. This drives intracellular NK cell remodeling by the recruitment of F-actin and the engagement of inhibitory/activator receptors at the IS (Figure 8B). If these receptors’ output activates the NK cell, lytic granules within the NK cell move along the microtubules towards the microtubule-organizing center (MTOC) at the IS (Figure 8C) before being released into the target cell through the cell membrane (Figure 8D).

Flow cytometry gating strategy for pDCs from live lymphocytes

Figure 8: The formation of the immunological synapse (IS) between an NK cell and a tumor cell and the release of cytolytic mediators into the target cell. Reproduced under Creative Commons 4.0 CC BY from 25.

Markers of the Immunological Synapse

Lytic granules of the IS contain perforin and granzyme B (GzB). Perforin is a glycoprotein released from CD8+ T cells and NKs that acts to kill target cells by the formation of pores in their cell membranes, disrupting mineral homeostasis and inducing pro-apoptotic pathways.26,27 GzB is a serine protease released by activated CD8+ T cells and NK cells.28 Unlike perforin, GzB release requires two checks to be made: MHC antigen presentation and a secondary signal from IL-12 or IFN-γ.29,30 GzB enters the target cell’s cytoplasm, where it disrupts various proteins, eventually leading to cell death.28

Through the close proximity of cells in the immunological synapse, NK cells also kill by the direct contact of ‘death factors’ inducing apoptosis in target cells, the second major mechanism through which NK cells mediate cytotoxicity alongside ADCC.

Tumor necrosis factor-related apoptosis-inducing ligand (TRAIL) and FasL (CD95L) are both members of the TNF superfamily. These factors induce apoptosis in tumor and virus-infected cells with a complicated series of checks and balances to prevent unintentional killing. However, TRAIL is less harmful to healthy tissues driving interest in its therapeutic potential.31

TRAIL induces apoptosis through interaction with its receptors on target cells which leads to the recruitment of apoptosis molecules in target cells and their death.32 TRAIL is upregulated on NK cells in response to IFN-γ and is also expressed on cytotoxic T cells.33-35

FasL is a transmembrane protein expressed in NK cells, T cells and macrophages that drives apoptosis in target cells upon binding to the Fas/ CD95 receptor expressed on most tissues.36,37

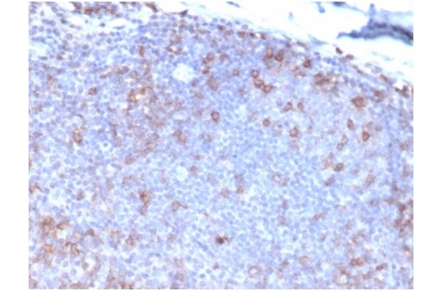
IHC - Anti-Fas Ligand Antibody [FASLG/4453] (A277667)

Figure 9: IHC of human tonsil tissue stained with Anti-Fas Ligand Antibody [FASLG/4453] (A277667).

IHC - Anti-Perforin Antibody [PRF1/2470] (A249713)

Figure 10: IHC of human spleen tissue stained with Anti-Perforin Antibody [PRF1/2470] (A249713).

NK Cell Inhibitory and Activator Signals

NK cells mediate their effector activity through the release of cytokines and chemokines or by direct cytotoxic attack, often without the need for recognition of a specific antigen.38 Instead, NK cells detect aberrant cells and microbes through various cell surface receptors. Most of these receptors are also expressed on other cells such as T cells (e.g. Toll-like receptors (TLR)), with the exception of the NK cell-specific natural cytotoxicity receptors (NCRs).39 These receptors, instead of detecting antigens, detect signs of distress/stress or non-self ligands from pathogens. Interactions between NCRs and their ligands dictate activation/quiescent states of NK cells and form a complex system of activating and inhibitory signaling to prevent the targeting of healthy cells (Table 3). This system is further complicated by the activity of cytokines and chemokines and their receptors.

Type of Receptor NK Cell Receptor Corresponding Target Cell Receptor
Inhibitory KIR-L HLA-A, B and C
LAIR-1 Collagen
CD94-NKG2A HLA-E
SIGLEC3, 7, 9 Sialic acid
KLRG1 Cadherins
NKR-P1A LLT-1
LILRB1 HLA class 1
Activating or Inhibitory CD244 (2B4) CD48
Activating receptors, adhesion or co-stimulation molecules SLAMF7 (CD319) SLAMF7 (CD319)
α4β1 integrin VCAM-1
β2 integrins
(CD11a-CD18,
CD11b-CD18,
CD11c-CD18)
ICAM-1 (CD54)
ICAM-2 (CD102)
CD23
iC3b…
CD226 Nectin-2 (CD112)
Poliovirus receptor (PVR, CD155)
CRTAM CADM1 (Necl2)
CD27 CD70
CD16 IgG
NKp46 Viral hemagglutinins
KIR-S HLA-C
CD94-NKG2C HLA-E
CD94-NKG2E HLA-E
NKG2D ULBP (RAET)
MICA
MICB
SLAMF6 SLAMF6
PEN-5 L-selectin
CD96 PVR (CD155)
NKp80 CLEC2B (AICL)
CD100 CD72
NKp30 Cytomegalovirus pp65
BAG6 (BAT3)
NKp44 Viral hemagglutinins
PSG1 (CD66) PSG1 (CD66)
CD160 HLA-C

Table 3: The complicated network of (some of the) activating and inhibitory signals between NK cells and target cells that are integrated to determine NK cell activation or deactivation in humans. Cytokines, chemokines and their receptors are not shown, but also strongly influence NK cell activity. Adapted from 40

Inhibitory and Activator Receptors as NK Markers

An example of an inhibitory receptor is the killer cell immunoglobulin-like receptor (KIRs) family. Expressed on NK and T cells, these receptors block NK cell activation, and therefore killing, upon binding to HLA class 1 (HLA-A, -B and -C) molecules.41 The structure of KIRs differs based on the HLA subtype they bind: three IG-like subdomains for HLA-B alleles, two for HLA-A and -C.42,43 Cells that lose these molecules – tumor-transformed and viral-infected – are swiftly killed. KIRs are not expressed in the mouse.44

CD94 is a protein that forms heterodimeric receptors with the NKG2 family and is expressed mostly on CD56bright (and to a lesser extent on CD56dim) NK cells, as well as adaptive NK cells.11 CD94 is also co-expressed on CD8 T cells with NKG2A.45 CD94 is associated with inhibitory or activator cytotoxic activity depending on the heterodimer formed: CD94/NKG2A and CD94/NKG2C, respectively.11 These heterodimers recognize HLA-E (class 1).15 Alongside effects on cytotoxic activity, CD94 may also regulate NK survival with its expression associated with increased NK apoptosis.46

CD8 is a marker associated mostly with T cells. However, NK cells can also express the co-receptor (termed NK8+ cells), though at lower levels compared to T cells.47 These cells are associated with having increased expression of the inhibitory receptors ILT2, KIR2DL4 and increased expression of the activator receptor NKG2D. NK8+ cells have been shown to be able to suppress activation and proliferation of CD4+, but not CD8+ T cells, most likely through reduced HLA-G-mediated NK suppression.47

Tissue-Resident NK Cell Markers

In contrast to circulating cNK cells, tissue-resident NK cells (trNK cells) are found in tissues throughout the body, including non-immune tissues such as the liver, lung, small intestine and uterus. Development of these is poorly understood and they may develop from different progenitors and require distinct cues to cNK cells.48

Key tissue residency markers include CD56bright, CD16-, CD69+, CD103+, CD49a+, and CXCR6+, with low expression of perforin and granzyme B.49

trNK cells can also exhibit tissue-specific markers to reflect tissue-specific functions, such as placental vascular remodeling in the uterus. Specific KIR expression often differs between organs, while CD56 expression is one of the few consistent markers across liver, lung and uterine trNK cells 48.

Natural Killer Cell Marker Antibodies

References

Diagrams created with BioRender.com.

  1. Chen, Y. et al. Galectin-3-ITGB1 Signaling Mediates Interleukin 10 Production of Hepatic Conventional Natural Killer Cells in Hepatitis B Virus Transgenic Mice and Correlates with Hepatocellular Carcinoma Progression in Patients. Viruses 16, 737 (2024).
  2. Mace, E. M. Human natural killer cells: Form, function, and development. J Allergy Clin Immunol 151, 371-385 (2023).
  3. Perera Molligoda Arachchige, A. S. Human NK cells: From development to effector functions. Innate Immun 27, 212-229 (2021).
  4. Di Vito, C., Mikulak, J. & Mavilio, D. On the Way to Become a Natural Killer Cell. Frontiers in Immunology 10, 2019 (2019).
  5. Abel, A. M., Yang, C., Thakar, M. S. & Malarkannan, S. Natural Killer Cells: Development, Maturation, and Clinical Utilization. Front Immunol 9, 1869 (2018).
  6. Bi, J. & Wang, X. Molecular Regulation of NK Cell Maturation. Frontiers in Immunology 11, 2020 (2020).
  7. Cichocki, F., Grzywacz, B. & Miller, J. S. Human NK Cell Development: One Road or Many? Frontiers in Immunology 10, (2019).
  8. Lim, A. I. et al. Systemic human ILC precursors provide a substrate for tissue ILC differentiation. Cell 168, 1086-1100. e1010 (2017).
  9. Chen, L. et al. CD56 expression marks human group 2 innate lymphoid cell divergence from a shared NK cell and group 3 innate lymphoid cell developmental pathway. Immunity 49, 464-476. e464 (2018).
  10. Freud, A. G. & Caligiuri, M. A. Human natural killer cell development. Immunological Reviews 214, 56-72 (2006).
  11. Cooper, M. A., Fehniger, T. A. & Caligiuri, M. A. The biology of human natural killer-cell subsets. Trends in Immunology 22, 633-640 (2001).
  12. Anfossi, N. et al. Human NK cell education by inhibitory receptors for MHC class I. Immunity 25, 331-342 (2006).
  13. Nitta, T., Yagita, H., Sato, K. & Okumura, K. Involvement of CD56 (NKH-1/Leu-19 antigen) as an adhesion molecule in natural killer-target cell interaction. Journal of Experimental Medicine 170, 1757-1761 (1989).
  14. Freud, A. G. et al. NKp80 Defines a Critical Step during Human Natural Killer Cell Development. Cell Rep 16, 379-391 (2016).
  15. Caligiuri, M. A. Human natural killer cells. Blood, The Journal of the American Society of Hematology 112, 461-469 (2008).
  16. Romee, R. et al. NK cell CD16 surface expression and function is regulated by a disintegrin and metalloprotease-17 (ADAM17). Blood 121, 3599-3608 (2013).
  17. Victor, A. R. et al. Epigenetic and Posttranscriptional Regulation of CD16 Expression during Human NK Cell Development. The Journal of Immunology 200, 565-572 (2018).
  18. Harrison, D., Phillips, J. H. & Lanier, L. Involvement of a metalloprotease in spontaneous and phorbol ester-induced release of natural killer cell-associated Fc gamma RIII (CD16-II). Journal of immunology 147, 3459-3465 (1991).
  19. Amand, M. et al. Human CD56dimCD16dim Cells As an Individualized Natural Killer Cell Subset. Frontiers in Immunology 8, (2017).
  20. Silva, A., Andrews, D. M., Brooks, A. G., Smyth, M. J. & Hayakawa, Y. Application of CD27 as a marker for distinguishing human NK cell subsets. International Immunology 20, 625-630 (2008).
  21. Sun, J. C., Lopez-Verges, S., Kim, C. C., DeRisi, J. L. & Lanier, L. L. NK cells and immune "memory". J Immunol 186, 1891-1897 (2011).
  22. Abo, T., Miller, C. A. & Balch, C. M. Characterization of human granular lymphocyte subpopulations expressing HNK-1 (Leu-7) and Leu-11 antigens in the blood and lymphoid tissues from fetuses, neonates and adults. European Journal of Immunology 14, 616-623 (1984).
  23. Chattopadhyay, P. K. et al. The cytolytic enzymes granyzme A, granzyme B, and perforin: expression patterns, cell distribution, and their relationship to cell maturity and bright CD57 expression. Journal of Leucocyte Biology 85, 88-97 (2009).
  24. Lopez-Vergès, S. et al. CD57 defines a functionally distinct population of mature NK cells in the human CD56dimCD16+ NK-cell subset. Blood, The Journal of the American Society of Hematology 116, 3865-3874 (2010).
  25. Meza Guzman, L. G., Keating, N. & Nicholson, S. E. Natural Killer Cells: Tumor Surveillance and Signaling. Cancers 12, 952 (2020).
  26. Osińska, I., Popko, K. & Demkow, U. Perforin: an important player in immune response. Cent Eur J Immunol 39, 109-115 (2014).
  27. Law, R. H. et al. The structural basis for membrane binding and pore formation by lymphocyte perforin. Nature 468, 447-451 (2010).
  28. Rousalova, I. & Krepela, E. Granzyme B-induced apoptosis in cancer cells and its regulation (review). Int J Oncol 37, 1361-1378 (2010).
  29. Curtsinger, J. M., Valenzuela, J. O., Agarwal, P., Lins, D. & Mescher, M. F. Cutting edge: type I IFNs provide a third signal to CD8 T cells to stimulate clonal expansion and differentiation. The Journal of Immunology 174, 4465-4469 (2005).
  30. Curtsinger, J. M., Lins, D. C. & Mescher, M. F. Signal 3 determines tolerance versus full activation of naive CD8 T cells: dissociating proliferation and development of effector function. The Journal of Experimental Medicine 197, 1141-1151 (2003).
  31. Wiley, S. R. et al. Identification and characterization of a new member of the TNF family that induces apoptosis. Immunity 3, 673-682 (1995).
  32. Pan, G. et al. The receptor for the cytotoxic ligand TRAIL. Science 276, 111-113 (1997).
  33. von Karstedt, S., Montinaro, A. & Walczak, H. Exploring the TRAILs less travelled: TRAIL in cancer biology and therapy. Nature Reviews Cancer 17, 352-366 (2017).
  34. Volpe, E., Sambucci, M., Battistini, L. & Borsellino, G. Fas-Fas Ligand: Checkpoint of T Cell Functions in Multiple Sclerosis. Front Immunol 7, 382 (2016).
  35. Voskoboinik, I., Whisstock, J. C. & Trapani, J. A. Perforin and granzymes: function, dysfunction and human pathology. Nature Reviews Immunology 15, 388-400 (2015).
  36. Suda, T., Takahashi, T., Golstein, P. & Nagata, S. Molecular cloning and expression of the Fas ligand, a novel member of the tumor necrosis factor family. Cell 75, 1169-1178 (1993).
  37. Krammer, P. H., Galle, P. R., Möller, P. & Debatin, K.-M. CD95 (APO-1/Fas)-mediated apoptosis in normal and malignant liver, colon, and hematopoietic cells. Advances in Cancer Research 75, 251-273 (1998).
  38. Lanier, L. L., Cwirla, S., Federspiel, N. & Phillips, J. H. Human natural killer cells isolated from peripheral blood do not rearrange T cell antigen receptor beta chain genes. The Journal of Experimental Medicine 163, 209-214 (1986).
  39. Vivier, E., Nunès, J. A. & Vély, F. Natural killer cell signaling pathways. Science 306, 1517-1519 (2004).
  40. Vivier, E., Tomasello, E., Baratin, M., Walzer, T. & Ugolini, S. Functions of natural killer cells. Nature Immunology 9, 503-510 (2008).
  41. Moretta, L. & Moretta, A. Killer immunoglobulin-like receptors. Curr Opin Immunol 16, 626-633 (2004).
  42. Litwin, V., Gumperz, J., Parham, P., Phillips, J. H. & Lanier, L. L. NKB1: a natural killer cell receptor involved in the recognition of polymorphic HLA-B molecules. Journal of Experimental Medicine 180, 537-543 (1994).
  43. Vitale, M. et al. Physical and functional independency of p70 and p58 natural killer (NK) cell receptors for HLA class I: their role in the definition of different groups of alloreactive NK cell clones. Proceedings of the National Academy of Sciences 93, 1453-1457 (1996).
  44. Brown, M. G., Scalzo, A. A., Matsumoto, K. & Yokoyama, W. M. The natural killer gene complex: a genetic basis for understanding natural killer cell function and innate immunity. Immunological Reviews 155, 53-65 (1997).
  45. Gunturi, A., Berg, R. E. & Forman, J. The role of CD94/NKG2 in innate and adaptive immunity. Immunologic Research 30, 29-34 (2004).
  46. Ida, H., Robertson, M. J., Voss, S., Ritz, J. & Anderson, P. CD94 ligation induces apoptosis in a subset of IL-2-stimulated NK cells. J Immunol 159, 2154-2160 (1997).
  47. McKinney, E. F. et al. A CD8+ NK cell transcriptomic signature associated with clinical outcome in relapsing remitting multiple sclerosis. Nature Communications 12, 635 (2021).
  48. Hashemi, E. & Malarkannan, S. Tissue-Resident NK Cells: Development, Maturation, and Clinical Relevance. Cancers 12 (2020).
  49. Franklin, M., Connolly, E. & Hussell, T. Recruited and Tissue-Resident Natural Killer Cells in the Lung During Infection and Cancer. Frontiers in Immunology 13, (2022).