Mast Cell Markers

Lucas Baumard, PhD | 3rd August 2025

Mast cells are myeloid immune cells derived from pluripotent hematopoietic stem cell (HSC) progenitors in the bone marrow. Terminally differentiated mast cells reside within the connective tissue of almost every organ, where they mediate long-lived inflammatory immune responses. Innate or adaptive immune processes can activate mast cells, leading to degranulation and the release of inflammatory mediators such as histamine, cytokines and chemokines.1 Mast cell activation forms a key part of the immune response against invading pathogens and toxins, but can also aberrantly activate to drive allergic reactions and anaphylaxis.

Mast cells can be recognized by their large size and cytoplasm densely packed with secretory granules (Figure 1), as well as characteristic protein markers such as c-Kit (CD117). These markers can also be used to distinguish mast cells from other immune cells, and determine their developmental stage and activation status.

Resting and degranulating mast cell TEM

Figure 1: Transmission electron micrographs of resting (a) and degranulating (b) rat peritoneal mast cells. Edited and reproduced under CC BY 4.0 from 2

Table of Contents

Markers of Mast Cell Development

Human mast cells develop from CD34+/c-Kit+ pluripotent progenitors in the bone marrow that are also capable of developing into neutrophils, eosinophils, basophils or monocytes.3 From the bone marrow, a number of mast cell precursor cells are released into the bloodstream to migrate to peripheral tissues, where they mature and terminally differentiate into tissue-resident mast cells based on the local cytokine environment (Figure 2).1

Mast cell development and localization

Figure 2: Mast cell precursors and their markers in the bone marrow, spleen, blood and tissue. MPP, multipotent progenitor; CMP, common myeloid progenitor; GMP, granulocyte/monocyte progenitor; BMCP, basophil/mast cell progenitor; MCp, mast cell progenitor. Information adapted from Dahlin, J. S. & Hallgren, J. Mast cell progenitors: Origin, development and migration to tissues. Mol. Immunol. 63, 9–17 (2015).

CD34 is a transmembrane protein expressed on mast cells but also hematopoietic stem cells, hematopoietic progenitors and vascular endothelial cells.4 CD34 is expressed at high levels in mature murine mast cells 5, but it does not seem to be expressed in human mast cells.6,7 In humans, therefore, CD34 would be best used as a marker of mast cell progenitors, not differentiated mast cells. Experiments in CD34 knockout mice demonstrate reduced mast cell adhesion and migratory potential, highlighting the role of the protein in mast cell migration from the circulation into tissues.4 These studies also indicate that human mast cells, unlike murine, are unable to re-migrate after populating tissues from the circulation.

Mast cell progenitors can be distinguished from other CD34+/ c-Kit+ precursor cells by CD13 (aminopeptidase N, gp150). CD13 is a type II integral membrane protein and myeloid marker expressed during haematopoiesis and myeloid differentiation.8 CD13 is expressed on myeloid cells, lymphocytes, epithelial and endothelial cells.9 CD13 has been shown to be a regulator of mast cell activation: CD13-deficient murine mast cells have lowered antigen- or IgE-triggered activation, most likely through a currently unclear interaction with the IgE receptor FcεRI.10

CD13 is found on early rodent and human mast cells but is absent or found at lower levels on tissue resident mast cells.11-13 CD34+/c-kit+/CD13+ expression identifies pluripotent progenitors destined for a mast cell/monocyte fate whilst CD34+/c-kit+/CD13−and CD34+/c-kit−/CD13+ cells are destined to be monocytes, eosinophils, basophils or neutrophils, but not mast cells.3

IF - Anti-CD34 Antibody [4H11[APG]] (PE) (A85517)

Figure 3 : IF of human chronic myeloid leukemia cell line MOLM-7 stained with Anti-CD34 Antibody [4H11[APG]] (PE) (A85517).

Flow cytometry - Anti-CD13 Antibody [WM15] (PerCP-Cyanine 5.5) (A121926)

Figure 4: Flow cytometry analysis of human peripheral blood cells stained with Anti-CD13 Antibody [WM15] (PerCP-Cyanine 5.5) (A121926).

c-Kit Marks Mature Mast Cells

c-Kit (KIT, CD117) is a type III tyrosine kinase receptor not expressed on mast cell precursors,6 instead being expressed on mature mast cells.14 c-Kit is also expressed in epithelial cells, germ cells, melanocytes, eosinophils and is upregulated in activated T cells and dendritic cells.15-18 c-Kit is associated with cancer and mast cell diseases, with 90% of adult mastocytosis patients carrying the D816V c-Kit mutation.15,19 Most other terminally differentiated cells of hematopoietic origins lose c-Kit,20 making the marker a useful one for differentiating mast cells from other hematopoietic populations.

IL-4 and IL-10 have been shown to reduce c-Kit expression in murine bone marrow-derived mast cells and a human mast cell line (HMC-1) whilst TGF-b downregulates c-Kit in the former population.21-23

c-Kit is the receptor for Stem cell factor (SCF, c-Kit ligand, mast cell growth factor) which is the main human growth factor in driving mast cell differentiation and survival.24,25 SCF can also induce mast cell secretion of cytokines, histamine and serotonin.26-28 Activation of c-Kit by SCF downregulates the receptor and leads to intracellular signaling chains across a number of different pathways.19 c-Kit knock-out mice are sterile due to loss of c-Kit-mediated germ cell protection from apoptosis, while a single point mutation in the c-Kit gene is sufficient to lead to significant mast cell loss.29,30 Anti-SCF antibodies have shown the ability to suppress murine lung inflammation in an asthma model though it is unclear if mast cells or other c-Kit-expressing immune cells are the driver.31

Flow cytometry - Anti-c-Kit Antibody [104D2] (PE-Cyanine 5) (A122041)

Figure 5: Flow cytometry analysis of human peripheral blood cells stained with Anti-c-Kit Antibody [104D2] (PE-Cyanine 5) (A122041).

IF - Anti-c-Kit Antibody (A8390)

Figure 6: IF of NIH/3T3 cells stained with Anti-c-Kit Antibody (A8390) (red). Nuclei are marked by DAPI (blue).

Mast Cell Subsets and Their Markers

In humans, mast cells can be broadly ordered into two subsets based on the distribution of granular proteases. These are MCTC cells, which are found in skin and tonsils,32 or MCT cells, found in nasal and lung mucosal tissues.33

These subtypes can exhibit plastic gene expression, particularly during pathology, allowing for the further classification into sub-subtypes. For instance, the MCTC subtype is increased in the airways of patients with severe asthma,34 while an ‘MCT/CPA3’ subtype has been associated with poorer asthma control with higher bronchial sensitivity and eosinophilic infiltration compared to MCT.35

MCTC cells are typically characterized by the expression of tryptase, chymase, cathepsin G, and carboxypeptidase, whereas MCT only express tryptase.36 Nonetheless, this binary distinction between MCTC and MCT cells may be more complex: one study looking at surface marker expression by flow cytometry identified 102 markers on human lung mast cells but was unable to identify distinct subsets (in previous studies, cells were characterized into MCTC/MCT by IHC).37 Overall, research into the functional differences between the two subtypes is currently lacking.

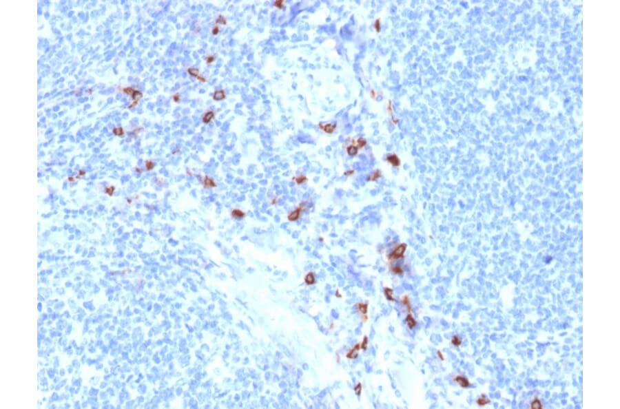
IHC - Anti-Mast Cell Tryptase Antibody [TPSAB1/1963] (A250207)

Figure 7: IHC of human tonsil tissue stained with Anti-Mast Cell Tryptase Antibody [TPSAB1/1963] (A250207).

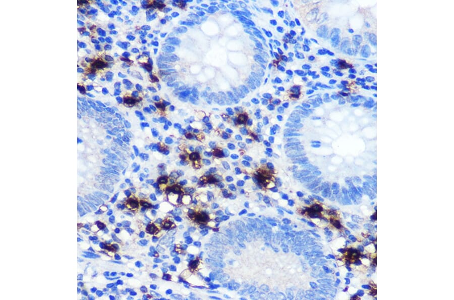
IHC - Anti-Mast Cell Chymase Antibody [ARC0614] (A80816)

Figure 8: IHC of human appendix tissue stained with Anti-Mast Cell Chymase Antibody [ARC0614] (A80816).

Markers Associated with Mast Cell Function

Mast cells are mostly known for their role in triggering the inflammatory cascade. Mast cells can be activated by antigen binding to membrane-bound IgE or by peptides, neuropeptides and drugs, though the end effect of degranulation is similar.1 Degranulation causes the release of histamine and other cytotoxic factors.

Mast cells bind to and capture IgE that has been released by plasma cells via the FcεRI receptor, and binding of that captured IgE to the specific antigen/allergen results in activation of the mast cells as the initial step in allergic reactions.1 The α-subunit of FcεRI binds the Fc portion of the IgE and the β- and γ-subunits mediate intracellular signal transduction of this receptor.10 FcεRI is also expressed on basophils, Langerhans cells and activate monocytes.1 FcεRI has seen therapeutic interest: blocking IgE-FcεRI interactions could desensitize the receptor to allergen and reduce mast cell degranulation.

IHC - Anti-FCER1A Antibody [CRA2] (A420)

Figure 9: IHC of human skin sections from atopic dermatitis lesional skin stained with Anti-FCER1A Antibody [CRA2] (A420). Anti-FCER1A Antibody [CRA1] (A419) recognizes the non-IgE binding site of FcεR1α, while CRA2 recognizes the IgE binding site. Therefore, CRA2 cannot bind to IgE-bound FcεRIα whereas CRA1 recognizes both bound and non-bound states.

ELISA - Anti-Human IgE Antibody [RM122] (A121346)

Figure 10: ELISA of human immunoglobulins shows Anti-Human IgE Antibody [RM122] (A121346) reacts only to human IgE, showing no cross reactivity with Human IgG, IgM, IgD, or IgA.

Histamine was originally thought to be the only amine (compound derived from ammonia) present in human mast cells, though more recent studies have shown that human mast cells (and murine mast cells) are also capable of releasing serotonin.1,38 Mast cells are the major producer of histamine in the human body but it is also produced by basophils, T cells, dendritic cells, macrophages and epithelial cells at lower levels.39,40 Histamine is produced by decarboxylation of histidine in the Golgi apparatus and then stored in secretory granules at a low pH.41 Upon release from mast cells, histamine mediates its action through receptors on target cells (Table 1).

Receptor Function References
H1 Cellular migration
Nociception
Vasodilation
Bronchoconstriction
42
H2 Gastric acid secretion
Airway mucus production
Vascular permeability
43
H3 Neurotransmitter regulation (brain) 44
H4 Inflammatory cell migration (chemotaxis)
Pruritic (itching) responses
Cytokine, chemokine production from mast cells
45
46
45

Table 1: Histamine receptors and their downstream effects

Mast cells also release other mediators such as proteins and lipids, which are summarized in Table 2.

Name Type Effect Refs
Leukotrienes Lipids (lipoxygenase pathway) Wheal-and-flare responses
Broncho-constriction (10-1000x more so than histamine)
Smooth muscle constriction
47
Platelet-activating factor Phospholipid Wheal-and-flare responses
Aggregate, degranulate platelets
Increased lung resistance
Hypotension
48,49
Prostaglandin D2 Lipid Inhibit platelet aggregation
Neutrophil accumulation in skin
Hypotension
1

Table 2: Non-histamine mast cell mediators

Mast cells also release a very large variety of cytokines and chemokines, with cytotoxic activity traced back to those stored in granules.50 Given that most of these cytokines are released by many other immune cells as well, few of them function as viable markers, and expression of factors can vary across clones.51,52 A list of the cytokines and other mediators expressed by mast cells can be found below, while a discussion of their potential function and cell targets can be found in the review by Mukai et al.53

Inflammatory cytokines

  • TNF
  • IL-1
  • IL-4
  • IL-5
  • IL-6
  • IL-9
  • IL-11
  • IL-13
  • IFN-γ

Regulatory cytokines

  • IL-2
  • IL-10
  • TGF-β1

Chemokines

  • CCL1
  • CCL2
  • CCL3
  • CCL17
  • CCL22
  • CXCL2
  • CXCL8
  • CXCL10

Growth factors

  • FGF-2
  • VEGF
  • GM-CSF

Methods for the Examination of Mast Cell Markers

Mast cells can be examined with a variety of experimental techniques. Surface marker expression can be detected by flow cytometry, IHC or western blot and IHC is commonly used to identify mast cells due to the easily identifiable granules. Flow cytometry for the surface markers CD34, CD13 and c-Kit in particular can identify populations of differentiating mast cells. Cytokine/chemokine expression or the presence of cytolytic granule contents can be measured by ELISA, ELISPOT, intracellular flow cytometry or IHC.

Mast Cell Marker Antibodies

References

Diagrams created with BioRender.com.

  1. Metcalfe, D. D., Baram, D. & Mekori, Y. A. Mast cells. Physiol Rev 77, 1033-1079 (1997).
  2. Mulloy, B., Lever, R. & Page, C. P. Mast cell glycosaminoglycans. Glycoconjugate Journal 34, 351-361 (2017).
  3. Kirshenbaum, A. S. et al. Demonstration that human mast cells arise from a progenitor cell population that is CD34(+), c-kit(+), and expresses aminopeptidase N (CD13). Blood 94, 2333-2342 (1999).
  4. Drew, E., Merzaban, J. S., Seo, W., Ziltener, H. J. & McNagny, K. M. CD34 and CD43 Inhibit Mast Cell Adhesion and Are Required for Optimal Mast Cell Reconstitution. Immunity 22, 43-57 (2005).
  5. Drew, E., Merkens, H., Chelliah, S., Doyonnas, R. & McNagny, K. M. CD34 is a specific marker of mature murine mast cells. Experimental Hematology 30, 1211-1218 (2002).
  6. Welker, P., Zuberbier, T., Guhl, S., Henz, B. M. & Grabbe, J. Mast cell and myeloid marker expression during early in vitro mast cell differentiation from human peripheral blood mononuclear cells. Journal of Investigative Dermatology 114, 44-50 (2000).
  7. Rottem, M., Okada, T., Goff, J. P. & Metcalfe, D. D. Mast cells cultured from the peripheral blood of normal donors and patients with mastocytosis originate from a CD34+/Fc epsilon RI-cell population. Blood 84(8), 2489-96 (1994).
  8. Civin, C. Human monomyeloid cell membrane antigens. Experimental Hematology 18, 461-467 (1990).
  9. Mina-Osorio, P. The moonlighting enzyme CD13: old and new functions to target. Trends in Molecular Medicine 14, 361-371 (2008).
  10. Zotz, J. S. et al. CD13/aminopeptidase N is a negative regulator of mast cell activation. FASEB J 30, 2225-2235 (2016).
  11. Chen, H., Kinzer, C. A. & Paul, W. E. p161, a murine membrane protein expressed on mast cells and some macrophages, is mouse CD13/aminopeptidase N. Journal of Immunology 157, 2593-2600 (1996).
  12. Nilsson, G. et al. Phenotypic characterization of stem cell factor-dependent human foetal liver-derived mast cells. Immunology 79, 325 (1993).
  13. Valent, P. et al. Mast cell typing: demonstration of a distinct hematopoietic cell type and evidence for immunophenotypic relationship to mononuclear phagocytes. Blood 73, 1778-1785 (1989).
  14. Mazreah, S. A., Shahsavari, M., Kalati, P. A. & Mazreah, H. A. Immunohistochemical evaluation of CD117 in mast cell of aggressive periodontitis. J Indian Soc Periodontol 24, 216-220 (2020).
  15. Arber, D. A., Tamayo, R. & Weiss, L. M. Paraffin section detection of the c-kit gene product (CD117) in human tissues: value in the diagnosis of mast cell disorders. Hum Pathol 29, 498-504 (1998).
  16. Yuan, Q., Austen, K. F., Friend, D. S., Heidtman, M. & Boyce, J. A. Human peripheral blood eosinophils express a functional c-kit receptor for stem cell factor that stimulates very late antigen 4 (VLA-4)–mediated cell adhesion to fibronectin and vascular cell adhesion molecule 1 (VCAM-1). The Journal of Experimental Medicine 186, 313-323 (1997).
  17. Tsai, M., Valent, P. & Galli, S. J. KIT as a master regulator of the mast cell lineage. J Allergy Clin Immunol 149, 1845-1854 (2022).
  18. Oriss, T. B., Krishnamoorthy, N., Ray, P. & Ray, A. Dendritic cell c-kit signaling and adaptive immunity: implications for the upper airways. Current Opinion in Allergy and Clinical Immunology 14, 7-12 (2014).
  19. Lennartsson, J. & Rönnstrand, L. Stem cell factor receptor/c-Kit: from basic science to clinical implications. Physiological Reviews 92, 1619-1649 (2012).
  20. Galli, S. J. Biology of disease, new insights into "The riddle of the mast cells": microenvironmental regulation of mast cell development and phenotypic heterogeneity. Lab Invest 62, 5-33 (1990).
  21. Mirmonsef, P., Shelburne, C. P., Fitzhugh Yeatman, C., Chong, H. J. & Ryan, J. J. Inhibition of Kit expression by IL-4 and IL-10 in murine mast cells: role of STAT6 and phosphatidylinositol 3′-kinase. Journal of Immunology 163, 2530-2539 (1999).
  22. Sillaber, C. et al. IL-4 regulates c-kit proto-oncogene product expression in human mast and myeloid progenitor cells. Journal of Immunology 147, 4224-4228 (1991).
  23. Yamazaki, S. et al. The Transcription Factor Ehf Is Involved in TGF-β–Induced Suppression of FcεRI and c-Kit Expression and FcεRI-Mediated Activation in Mast Cells. Journal of Immunology 195, 3427-3435 (2015).
  24. Grabbe, J., Welker, P., Dippel, E. & Czarnetzki, B. Stem cell factor, a novel cutaneous growth factor for mast cells and melanocytes. Archives of Dermatological Research 287, 78-84 (1994).
  25. Zsebo, K. M. et al. Stem cell factor is encoded at the SI locus of the mouse and is the ligand for the c-kit tyrosine kinase receptor. Cell 63, 213-224 (1990).
  26. Gagari, E., Tsai, M., Lantz, C. S., Fox, L. G. & Galli, S. J. Differential release of mast cell interleukin-6 via c-kit. Blood 89, 2654-2663 (1997).
  27. Columbo, M. et al. The human recombinant c-kit receptor ligand, rhSCF, induces mediator release from human cutaneous mast cells and enhances IgE-dependent mediator release from both skin mast cells and peripheral blood basophils. Journal of Immunology 149, 599-608 (1992).
  28. Taylor, A., Galli, S. & Coleman, J. Stem-cell factor, the kit ligand, induces direct degranulation of rat peritoneal mast cells in vitro and in vivo: dependence of the in vitro effect on period of culture and comparisons of stem-cell factor with other mast cell-activating agents. Immunology 86, 427 (1995).
  29. Loveland, K. L. & Schlatt, S. Stem cell factor and c-kit in the mammalian testis: lessons originating from Mother Nature's gene knockouts. Journal of Endocrinology 153, 337-344 (1997).
  30. Orinska, Z. et al. I787 provides signals for c-Kit receptor internalization and functionality that control mast cell survival and development. Blood 116, 2665-2675 (2010).
  31. Finotto, S. et al. Local administration of antisense phosphorothioate oligonucleotides to the c-kit ligand, stem cell factor, suppresses airway inflammation and IL-4 production in a murine model of asthma. Journal of Allergy and Clinical Immunology 107, 279-286 (2001).
  32. Irani, A.-M. et al. Deficiency of the tryptase-positive, chymase-negative mast cell type in gastrointestinal mucosa of patients with defective T lymphocyte function. Journal of Immunology 138, 4381-4386 (1987).
  33. Irani, A. M., Bradford, T. R., Kepley, C. L., Schechter, N. M. & Schwartz, L. B. Detection of MCT and MCTC types of human mast cells by immunohistochemistry using new monoclonal anti-tryptase and anti-chymase antibodies. J. Histochem. Cytochem. 37, 1509–1515 (1989).
  34. Balzar, S. et al. Mast cell phenotype, location, and activation in severe asthma: data from the severe asthma research program. American Journal of Respiratory and Critical Care Medicine 183, 299-309 (2011).
  35. Wang, G. et al. Sputum mast cell subtypes relate to eosinophilia and corticosteroid response in asthma. European Respiratory Journal 47, 1123-1133 (2015).
  36. Saito, H. et al. Gene expression profiling of human mast cell subtypes: an in silico study. Allergol Int 55, 173-179 (2006).
  37. Rönnberg, E. et al. Immunoprofiling Reveals Novel Mast Cell Receptors and the Continuous Nature of Human Lung Mast Cell Heterogeneity. Frontiers in Immunology 12, (2022).
  38. Kushnir-Sukhov, N. M., Brown, J. M., Wu, Y., Kirshenbaum, A. & Metcalfe, D. D. Human mast cells are capable of serotonin synthesis and release. Journal of Allergy and Clinical Immunology 119, 498-499 (2007).
  39. Thangam, E. B. et al. The Role of Histamine and Histamine Receptors in Mast Cell-Mediated Allergy and Inflammation: The Hunt for New Therapeutic Targets. Front Immunol 9, 1873 (2018).
  40. Huang, H., Li, Y., Liang, J. & Finkelman, F. D. Molecular Regulation of Histamine Synthesis. Front Immunol 9, 1392 (2018).
  41. Brosnan, M. E. & Brosnan, J. T. Histidine Metabolism and Function. J Nutr 150, 2570s-2575s (2020).
  42. Bakker, R. A., Schoonus, S. B. J., Smit, M. J., Timmerman, H. & Leurs, R. Histamine H1-Receptor Activation of Nuclear Factor-κB: Roles for Gβγ- and Gαq/11-Subunits in Constitutive and Agonist-Mediated Signaling. Molecular Pharmacology 60, 1133-1142 (2001).
  43. Seifert, R. et al. Molecular and cellular analysis of human histamine receptor subtypes. Trends In Pharmacological Sciences 34, 33-58 (2013).
  44. Esbenshade, T. A. et al. The histamine H3 receptor: an attractive target for the treatment of cognitive disorders. Br J Pharmacol 154, 1166-1181 (2008).
  45. Jemima, E. A., Prema, A. & Thangam, E. B. Functional characterization of histamine H4 receptor on human mast cells. Molecular immunology 62, 19-28 (2014).
  46. Thurmond, R. L. The histamine H4 receptor: from orphan to the clinic. Frontiers in Pharmacology 6, 65 (2015).
  47. Drazen, J. M. & Austen, K. F. Leukotrienes and airway responses. Am Rev Respir Dis 136, 985-998 (1987).
  48. Grypioti, A. D. et al. Platelet-activating factor (PAF) involvement in acetaminophen-induced liver toxicity and regeneration. Arch Toxicol 79, 466-474 (2005).
  49. Lordan, R., Tsoupras, A., Zabetakis, I. & Demopoulos, C. A. Forty Years Since the Structural Elucidation of Platelet-Activating Factor (PAF): Historical, Current, and Future Research Perspectives. Molecules 24 (2019).
  50. Young, J. D., Liu, C. C., Butler, G., Cohn, Z. A. & Galli, S. J. Identification, purification, and characterization of a mast cell-associated cytolytic factor related to tumor necrosis factor. Proc Natl Acad Sci U S A 84, 9175-9179 (1987).
  51. Razin, E., Leslie, K. B. & Schrader, J. W. Connective tissue mast cells in contact with fibroblasts express IL-3 mRNA. Analysis of single cells by polymerase chain reaction. J Immunol 146, 981-987 (1991).
  52. Moon, T. C., Befus, A. D. & Kulka, M. Mast cell mediators: their differential release and the secretory pathways involved. Front Immunol 5, 569 (2014).
  53. Mukai, K., Tsai, M., Saito, H. & Galli, S. J. Mast cells as sources of cytokines, chemokines, and growth factors. Immunol Rev 282, 121-150 (2018).