Plasma Cell Markers

Kay Shigemori, PhD | 7th August 2025

Plasma cells, also known as plasma B cells, are terminally differentiated non-proliferative B cells that produce and secrete a single type of immunoglobulin (Ig) or antibody. Required for short- and long-term humoral immunity, plasma cells play a central role in immune responses by secreting antigen-specific antibodies that neutralize pathogens or mediate opsonization and complement activation.1-4

There are unique sets of surface and intracellular cell markers expressed by plasma cells that are frequently applied to evaluate immune responses following vaccination and infection, with key plasma cell markers including CD138, CD38, CD27 and CD319. Plasma cells lack expression of pan-B cell markers like CD19 and CD20, but may express some B cell markers such as B220 (a CD45 isoform) in mice. For clonal identification, intracellular immunoglobulins are often used in combination with surface markers to identify a specific population of plasma cells.4

Table of Contents

Plasma Cell Maturation

Plasma cells develop from activated B cells via plasmablast stages, with each developmental stage bearing its own characteristic markers (Figure 1, Table 1).6

Diagram of plasma cell maturation stages

Figure 1. Plasma cell differentiation and maturation

Activated
B cell
Pre-
plasmablast
Blimp1int
plasmablast
Blimp1int
plasma cell
Blimp1high
plasma cell
Proliferation Cycling Cycling Cycling Sessile Sessile
Lifespan Days Days Days Days Months-years
Location Spleen, LN, PP Spleen, LN, PP Spleen, LN, Blood Spleen, LN, Blood, bone marrow Spleen, LN, LP, bone marrow
Markers B220high
MHC-IIhigh
CD138-
CXCR4-
B220high
MHC-IIhigh
CD138-
CXCR4-
B220int
MHC-IIint
CD138+
CXCR4+
B220int
MHC-IIint
CD138+
CXCR4+
B220low
MHC-IIlow
CD138+
CXCR4++
Transcription factors Pax5high
Bach2+
IRF4+
Blimp1-
XBP1low
Pax5low
Bach2low
IRF4++
Blimp1-
XBP1int
Pax5-
Bach2-
IRF4+++
Blimp1int
XBP1high
Pax5-
Bach2-
IRF4+++
Blimp1int
XBP1high
Pax5-
Bach2-
IRF4+++
Blimp1high
XBP1high

Table 1: Characteristics of different plasma cell developmental stages. LN, lymph nodes; LP, lamina propria; PP, Peyer’s patches. Information adapted from 6.

Once mature, plasma cells are generally present in low numbers in lymphoid organs (<2%–3% of nucleated cells) and are large in size. There are generally two types:

  • Short-lived plasma cells: arise in the spleen shortly after an infection and antigen exposure
  • Long-lived plasma cells: typically arise in the niche regions in the bone marrow days to weeks after an infection.2,5

Core Plasma Cell Markers for Flow Cytometry and IHC

Flow cytometry and immunohistochemistry (IHC) are the two main methods used to identify plasma cells in research and clinical diagnostics. Below, we provide a list of commonly used plasma cell markers in flow cytometry and IHC.

Flow Cytometry Panel

Typically profiling for plasma cells using flow cytometry includes all or a combination of the surface cell markers listed in Table 2. Peripheral blood, bone marrow aspirates or tissue lysate can be used for this method of analysis.7,8

Marker Location Expression in normal plasma cells Expression in malignant plasma cells
CD38 Surface +++ +++
CD138 Surface + +
CD19/CD20 Surface - - (some aberrantly +)
CD45 Surface dim -/dim
CD56 Surface - +
CD27 Surface + +
CD319 (SLAMF7) Surface ++ ++
Kappa/Lambda light chains Surface κ⁺ and λ⁺ mix κ only or λ only

Table 2: Common markers used in flow cytometry analysis of plasma cells.

Flow cytometry - Anti-CD38 Antibody [HIT2] (PerCP) (A86187)

Figure 2: Flow cytometry analysis of human peripheral blood stained with Anti-CD38 Antibody [HIT2] (PerCP) (A86187).

Flow cytometry - Indatuximab Biosimilar - Anti-Syndecan-1 Antibody - BSA and Azide free (A318942)

Figure 3: Flow cytometry analysis of HEK293 cells transfected with human CD138 (A) or irrelevant protein (B) stained with Indatuximab Biosimilar - Anti-Syndecan-1 Antibody - BSA and Azide free (A318942).

Immunohistochemistry Markers

IHC is commonly used in detecting plasma cells in tissue sections such as bone marrow biopsies, lymph nodes or extranodal masses. In Table 3 we provide a list of markers commonly used for IHC assessment of plasma cells.

Marker Location Expression in normal plasma cells Expression in malignant plasma cells
CD38 Surface + +
CD138 Surface ++ ++
MUM1/IRF4 Nuclear + +
CD45 Surface -/dim -/dim
CD79a Cytoplasmic + +
Cyclin D1/BCL1 Nuclear - Positive in some myeloma subtypes
Kappa/Lambda light chains Cytoplasmic κ⁺ and λ⁺ mix κ only or λ only

Table 3: Markers of plasma cells used in IHC.

IF - Recombinant Anti-CD79a Antibody [IGA/1790R] (A250790)

Figure 4: IF of Raji cells stained with Recombinant Anti-CD79a Antibody [IGA/1790R] (A250790).

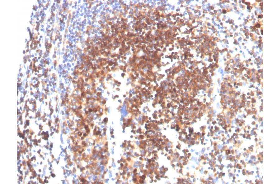
IHC - Anti-MUM1 Antibody [IHC627] (A324482)

Figure 5: IHC of human tonsil tissue stained with Anti-MUM1 Antibody [IHC627] (A324482).

Some specific examples of marker usage in malignancies include:

  • Neoplastic infiltration (e.g. plasmacytoma): Seen as dense CD138⁺ clusters of cells with monotypic light chain expression
  • Differential diagnosis: MUM1⁺ helps distinguish between plasma cell tumours and other B-cell lymphomas9

Surface Markers of Plasma Cells

CD138 (Syndecan-1, SDC1)

CD138, also known as Syndecan-1 (SDC1), is a transmembrane proteoglycan involved in cell adhesion and extracellular matrix remodeling.10,11 It is highly and specifically expressed on the surface of immature B cells and mature plasma cells and is considered a highly specific surface marker for plasma cell identification.12,13 CD138 is widely used in both IHC and flow cytometry, especially in identifying normal and neoplastic plasma cells in bone marrow or tissue sections.14,15 However, CD138 is also expressed on epithelial cells, and its expression can be lost in necrotic regions, which necessitates contextual interpretation in tissue samples.16

CD38

CD38 is a transmembrane ectoenzyme involved in NAD⁺ metabolism and intracellular calcium signalling.17 Plasma cells and multiple myeloma cells exhibit very bright CD38 surface expression as measured by flow cytometry.18 However, CD38 is also expressed on activated T cells and NK cells19,20 and early hematopoietic progenitors,21 so its specificity is limited. In multiple myeloma, CD38 is targeted therapeutically by anti-CD38 antibody, daratumumab, highlighting its relevance beyond diagnostics.22

CD27

CD27 is a co-stimulatory receptor of the TNF receptor superfamily, variably expressed on the surface of B, T and NK cells.23 CD27 is the receptor for its ligand CD70, which is expressed on immune cells and frequently on cancer cells.24 As CD27 is expressed not only in plasma cells, but also in other lymphocytes, it needs to be used in combination with other cell markers for the identification of plasma cells. On B cells, CD27 positivity distinguishes IgG class-switched memory B cells and plasma cells (CD27+) from naïve B cells (CD27-).25 CD27 also plays a role in promoting plasma cell differentiation and IgG secretion.26 Soluble CD27 has been explored as a marker of immune function and prognostic markers for immunologic and oncologic diseases.27,28

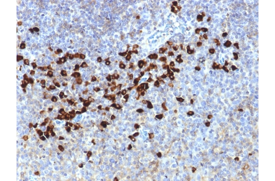
IHC - Anti-CD27 Antibody [LPFS2/4177] (A250621)

Figure 6: IHC of human tonsil stained with Anti-CD27 Antibody [LPFS2/4177] (A250621).

Flow cytometry - Anti-CD27 Antibody [LT27] (PE-Cyanine 7) (A122000)

Figure 7: Flow cytometry analysis of human peripheral blood cells stained with Anti-CD27 Antibody [LT27] (PE-Cyanine 7) (A122000).

CD79a

CD79a is the alpha chain of the signaling component of the B cell receptor complex that is expressed over a range of B cell development stages – from early B cell precursors through B cell maturation.29,30 In plasma cells, CD79a remains expressed even after CD19 and CD20 are downregulated.29 It is mainly used in IHC to confirm B-cell lineage, particularly in lymphomas with plasmacytoid features or ambiguous morphology.31 Although CD79a is not exclusive to plasma cells, its persistence in later B-cell stages makes it a supportive marker in the diagnostic panel.32

CD319 (SLAMF7)

CD319, also known as SLAMF7 or CS1, is a surface receptor involved in immune cell adhesion and activation. It is highly expressed on both normal and malignant plasma cells33 and is commonly included in flow cytometry panels, particularly for minimal residual disease assessment in multiple myeloma.33,34 CD319 is also the therapeutic target of anti-SLAM7 monoclonal antibody, elotuzumab, in multiple myeloma.35

Flow cytometry - Recombinant Anti-SLAMF7/CS1 Antibody [DM9] - BSA and Azide free (A318676)

Figure 8: Flow cytometry analysis of Expi293 cells transfected with irrelevant protein (A) and human CS1 (SLAMF7; B) stained with Recombinant Anti-SLAMF7/CS1 Antibody [DM9] - BSA and Azide free (A318676).

IHC - Anti-SLAMF7 Antibody [SLAMF7/3649] (A249779)

Figure 9: IHC of human tonsil tissue stained with Anti-SLAMF7 Antibody [SLAMF7/3649] (A249779).

Intracellular and Nuclear Markers of Plasma Cells

MUM1 (IRF4)

Multiple Myeloma Oncogene 1 (MUM1), also known as IRF4, is a transcription factor essential for the final stages of B-cell differentiation into plasma cells.36 MUM1+ cells are typically located in the light zone of the germinal centre, but not expressed in the highly proliferative cells in the dark zone.37 MUM1 is detectable in the nucleus via IHC and is often utilised in the evaluation of lymph node or bone marrow biopsies for diseases including diffuse large B cell lymphomas (DLBCL) and multiple myeloma.38,39 As MUM1 is expressed not only in plasma cells but also in activated T cells, it should be used in combination with other markers to confirm plasma cell identity.

BLIMP-1 (PRDM1)

B lymphocyte-induced maturation protein 1 (BLIMP-1) is a zinc-finger transcriptional repressor encoded by the PRDM1 gene and drives the terminal differentiation of B cells into plasma cells.40,41 It suppresses genes that maintain the B-cell program while inducing immunoglobulin secretion genes.40 BLIMP-1 also plays a role in T cell development and can be expressed T cell lineages,42 highlighting the need for the marker to be used in combination for plasma cell identification. BLIMP-1 is typically assessed using western blot, IHC, or RT-PCR (for PRDM1 gene) in research contexts.

XBP1

X-box binding protein 1 (XBP1) is a transcription factor involved in the unfolded protein response (UPR), a pathway that is highly active in antibody secretory cells such plasma cells due to their large volume of protein production.43 Activated XBP1 drives expansion of the endoplasmic reticulum and supports antibody production.44,45 While it is an important marker of functional antibody-secreting plasma cell activity, it is not routinely used in clinical diagnostic settings, and is instead more frequently assessed via qPCR (for Xbp1 gene), western blot or RNA-sequencing in research settings.46

Additional Markers and Differential Expression

CD19 and CD20

CD19 and CD20 are classical B-cell markers that are downregulated during plasma cell differentiation. Their absence is used in flow cytometry to distinguish plasma cells (CD19-/CD20-) from less differentiated B cells (CD19+/CD20+).47 Some myeloma subtypes may aberrantly retain CD19 expression.48,49

CD45

CD45, or leukocyte common antigen, is a tyrosine phosphatase expressed on most hematopoietic cells. In plasma cells, expression is variable – typically expressed in low levels or absent in plasma cells. Its expression pattern is used in flow cytometry to help differentiate between clonal and reactive plasma cell populations.50

CD56 (NCAM)

CD56 is an adhesion molecule that is expressed in low levels or absent on normal plasma cells but is aberrantly expressed in neoplastic plasma cells (multiple myeloma) cells.50 It is routinely included in flow cytometry panels to distinguish clonal from polyclonal plasma cells.

Cyclin D1 (BCL-1)

Cyclin D1, also known as B cell lymphoma 1 (BCL1), is a nuclear cell cycle regulator that controls the transition from G1 to S phase in the cell cycle. Plasma cell neoplasms with the t(11;14) translocation or have increased copies of chromosome 11 express cyclin D1, abnormalities found in multiple myeloma patients.51,52 Cyclin D1 is detected using IHC or fluorescent in-situ hybridisation (FISH) and aids in differentiating cyclin D1⁺ myeloma from other lymphoid neoplasms, such as mantle cell lymphoma.52

Kappa (κ) and Lambda (λ) Immunoglobulin Light Chains

Kappa (κ) and Lambda (λ) are immunoglobulin light chains. In normal plasma cells, both chains would be produced (polyclonal, κ⁺ λ⁺), however neoplastic cells, such as multiple myeloma, plasmacytoma or MGUS cells, tend to produce immunoglobulins with either κ or λ light chains (monoclonality, e.g., κ⁺ only).53 In normal conditions, there is a polyclonal distribution of both chains. Light chain expression is detected by flow cytometry (intracellular staining) or IHC, and monoclonality is a key diagnostic criterion.54

IHC - Recombinant Anti-Kappa Light Chain Antibody [rKLC264] (A248973)

Figure 10: IHC of human tonsil tissue stained with Recombinant Anti-Kappa Light Chain Antibody [rKLC264] (A248973).

IHC - Anti-Lambda Light Chain Antibody [LLC/1738] (A248998)

Figure 11: IHC of human tonsil tissue stained with Anti-Lambda Light Chain Antibody [LLC/1738] (A248998).

Applications of Plasma Cell Markers

Understanding Immune Responses

Plasma cells have been extensively studied to evaluate durable immune responses following vaccination or infection. For example, the appearance of transient plasmablasts (CD19⁺CD27⁺CD38⁺) in peripheral blood shortly after immunization or during acute infection has been investigated to understand humoral immune responses.55,56 Flow cytometric quantification of plasma cells has provided insights into vaccine efficacy and the longevity of immune responses, most recently exemplified in studies on SARS-CoV-2 vaccines.57 These studies employed extensive flow cytometry panels to profile immune cells from peripheral blood, lymphatic tissues (e.g., bone marrow, spleen), and other relevant organs, allowing dissection of the complex humoral immune response involving plasma cells and other immune subsets.

Clinical Relevance and Therapeutic Targeting

The accurate identification of plasma cells through specific surface and intracellular markers is important for clinical diagnostics and therapeutic targeting, especially for autoimmune diseases and a number of cancers.

Plasma cell markers are critical in the diagnosis of plasma cell neoplasms, including multiple myeloma, solitary plasmacytoma, and monoclonal gammopathy of undetermined significance (MGUS). These diseases occur when the clonal proliferation of plasma cells is uncontrolled, demonstrated by the aberrant expression of plasma cell markers such as CD56 and the loss of CD19 or CD45.58 Discrimination between normal plasma cells and clonal plasma cells at initial diagnosis or minimal residual disease (MRD) monitoring is typically done with an extensive flow panel including CD138, CD38, CD45, CD19, CD56, CD27 and CD81.59,60

Additionally, several therapies for multiple myeloma have been developed in the past decade targeting plasma cell surface proteins, including CD38-targeting daratumumab61 and SLAM7 (CD319)-targeting elotuzumab.62 For the clinical adoption of these targeted therapies, the appropriate clinical assessment of the expression of the target proteins needs to be carried out during diagnosis and MRD monitoring with flow cytometry of blood biopsies.

Plasma Cell Marker Antibodies

References

Diagrams created with BioRender.com.

  1. Allen, H. C. & Sharma, P. Histology, Plasma Cells. StatPearls (2022).
  2. O’Connor, B. P., Cascalho, M. & Noelle, R. J. Short-lived and Long-lived Bone Marrow Plasma Cells Are Derived from a Novel Precursor Population. J Exp Med 195, 737 (2002).
  3. Kaminski, D. A., Wei, C., Qian, Y., Rosenberg, A. F. & Sanz, I. Advances in human B cell phenotypic profiling. Front Immunol 3, 32082 (2012).
  4. Rosser, E. C. & Mauri, C. Regulatory B Cells: Origin, Phenotype, and Function. Immunity 42, 607–612 (2015).
  5. Radbruch, A. et al. Competence and competition: The challenge of becoming a long-lived plasma cell. Nat Rev Immunol 6, 741–750 (2006).
  6. Takemori, T., Tarlinton, D., Hiepe, F. & Andreas, R. B Cell Memory and Plasma Cell Development. Molecular Biology of B Cells: Second Edition 227–249 (2015).
  7. Sakai, A. et al. Plasma cells composing plasmacytoma have phenotypes different from those of myeloma cells. Am J Hematol 53, 251–253 (1996).
  8. DiGiuseppe, J. A. Flow Cytometric Immunophenotyping of Plasmacytic Neoplasms. Am J Clin Pathol 127, 172–174 (2007).
  9. Dogan, A. et al. Micronodular T-cell/histiocyte-rich large B-cell lymphoma of the spleen: Histology, immunophenotype, and differential diagnosis. American Journal of Surgical Pathology 27, 903–911 (2003).
  10. Akl, M. R. et al. Molecular and clinical profiles of syndecan-1 in solid and hematological cancer for prognosis and precision medicine. Oncotarget 6, 28693–28715 (2015).
  11. Gopal, S. Syndecans in Inflammation at a Glance. Front Immunol 11, 515878 (2020).
  12. McCarron, M. J., Park, P. W. & Fooksman, D. R. CD138 mediates selection of mature plasma cells by regulating their survival. Blood 129, 2749–2759 (2017).
  13. Sanderson, R. D., Lalor, P. & Bernfield, M. B lymphocytes express and lose syndecan at specific stages of differentiation. Cell Regul 1, 27–35 (1989).
  14. Meyerholz, D. K. et al. Utility of CD138/syndecan-1 immunohistochemistry for localization of plasmacytes is tissue-dependent in B6 mice. BMC Res Notes 15, 1–7 (2022).
  15. Kumar, S., Kimlinger, T. & Morice, W. Immunophenotyping in multiple myeloma and related plasma cell disorders. Best Pract Res Clin Haematol 23, 433 (2010).
  16. Palaiologou, M., Delladetsima, I. & Tiniakos, D. CD138 (syndecan-1) expression in health and disease. Histol Histopathol 29, 177–189 (2014).
  17. Malavasi, F. et al. Evolution and function of the ADP ribosyl cyclase/CD38 gene family in physiology and pathology. Physiol Rev 88, 841–886 (2008).
  18. Ibrahim, S. et al. Clinical relevance of the expression of the CD31 ligand for CD38 in patients with B-cell chronic lymphocytic leukemia. Cancer 97, 1914–1919 (2003).
  19. Zaja, F. et al. CD38, BCL-2, PD-1, and PD-1L expression in nodal peripheral T-cell lymphoma: Possible biomarkers for novel targeted therapies? Am J Hematol 92, E1–E2 (2017).
  20. Viola, D. et al. Daratumumab induces mechanisms of immune activation through CD38+ NK cell targeting. Leukemia 35, 189–200 (2021).
  21. Naik, J. et al. CD38 as a therapeutic target for adult acute myeloid leukemia and T-cell acute lymphoblastic leukemia. Haematologica 104, e100–e103 (2019).
  22. Ghose, J. et al. Daratumumab induces CD38 internalization and impairs myeloma cell adhesion. Oncoimmunology 7, (2018).
  23. van Lier, R. A. W. et al. Anti‐CD27 monoclonal antibodies identify two functionally distinct subpopulations within the CD4+ T cell subset. Eur J Immunol 18, 811–816 (1988).
  24. Jacobs, J. et al. CD70: An emerging target in cancer immunotherapy. Pharmacol Ther 155, 1–10 (2015).
  25. Klein, U., Rajewsky, K. & Küppers, R. Human immunoglobulin (Ig)M+IgD+ peripheral blood B cells expressing the CD27 cell surface antigen carry somatically mutated variable region genes: CD27 as a general marker for somatically mutated (memory) B cells. Journal of Experimental Medicine 188, 1679–1689 (1998).
  26. Shaw, J., Wang, Y. H., Ito, T., Arima, K. & Liu, Y. J. Plasmacytoid dendritic cells regulate B-cell growth and differentiation via CD70. Blood 115, 3051–3057 (2010).
  27. Huang, J. et al. Soluble CD27-Pool in Humans May Contribute to T Cell Activation and Tumor Immunity. The Journal of Immunology 190, 6250–6258 (2013).
  28. Wei, C. et al. A New Population of Cells Lacking Expression of CD27 Represents a Notable Component of the B Cell Memory Compartment in Systemic Lupus Erythematosus. The Journal of Immunology 178, 6624–6633 (2007).
  29. Korkolopoulou, P. et al. The expression of the B‐cell marker mb‐1 (CD79a) in Hodgkin’s disease. Histopathology 24, 511–515 (1994).
  30. Burrows, P. D., Kearney, J. F., Schroeder, H. W. & Cooper, M. D. 3 Normal B lymphocyte differentiation. Baillieres Clin Haematol 6, 785–806 (1993).
  31. Cho, J. Basic immunohistochemistry for lymphoma diagnosis. Blood Res 57, 55–61 (2022).
  32. Chu, P. G. & Arber, D. A. CD79: a review. Appl Immunohistochem Mol Morphol 9, 97–106 (2001).
  33. Frigyesi, I. et al. Robust isolation of malignant plasma cells in multiple myeloma. Blood 123, 1336–1340 (2014).
  34. Pojero, F. et al. Utility of CD54, CD229, and CD319 for the identification of plasma cells in patients with clonal plasma cell diseases. Cytometry B Clin Cytom 90, 91–100 (2016).
  35. Chu, E., Wu, J., Kang, S. S. & Kang, Y. SLAMF7 as a Promising Immunotherapeutic Target in Multiple Myeloma Treatments. Current Oncology 30, 7891–7903 (2023).
  36. Gaidano, G. & Carbone, A. MUM1: A step ahead toward the understanding of lymphoma histogenesis. Leukemia 14, 563–566 (2000).
  37. Tsuboi, K. et al. MUM1/IRF4 expression as a frequent event in mature lymphoid malignancies. Leukemia 14, 449–456 (2000).
  38. Heintel, D. et al. Expression of MUM1/IRF4 mRNA as a prognostic marker in patients with multiple myeloma [9]. Leukemia 22, 441–445 (2008).
  39. Hans, C. P. et al. Confirmation of the molecular classification of diffuse large B-cell lymphoma by immunohistochemistry using a tissue microarray. Blood 103, 275–282 (2004).
  40. Shaffer, A. L. et al. Blimp-1 orchestrates plasma cell differentiation by extinguishing the mature B cell gene expression program. Immunity 17, 51–62 (2002).
  41. Nutt, S. L., Fairfax, K. A. & Kallies, A. BLIMP1 guides the fate of effector B and T cells. Nat Rev Immunol 7, 923–927 (2007).
  42. Fu, S. H., Yeh, L. T., Chu, C. C., Yen, B. L. J. & Sytwu, H. K. New insights into Blimp-1 in T lymphocytes: a divergent regulator of cell destiny and effector function. J Biomed Sci 24, 49 (2017).
  43. Reimold, A. M. et al. Plasma cell differentiation requires the transcription factor XBP-1. Nature 412, 300–307 (2001).
  44. Zhu, H. et al. Ufbp1 promotes plasma cell development and ER expansion by modulating distinct branches of UPR. Nat Commun 10, 1084 (2019).
  45. Kaser, A. et al. XBP1 Links ER Stress to Intestinal Inflammation and Confers Genetic Risk for Human Inflammatory Bowel Disease. Cell 134, 743–756 (2008).
  46. Acosta-Alvear, D. et al. XBP1 Controls Diverse Cell Type- and Condition-Specific Transcriptional Regulatory Networks. Mol Cell 27, 53–66 (2007).
  47. Mei, H. E. et al. A unique population of IgG-expressing plasma cells lacking CD19 is enriched in human bone marrow. Blood 125, 1739–1748 (2015).
  48. Leite, L. A. C., Kerbauy, D. M. B., Kimura, E. & Yamamoto, M. Multiples aberrant phenotypes in multiple myeloma patient expressing CD56-, CD28+,CD19+. Rev Bras Hematol Hemoter 34, 66 (2012).
  49. Calheiros, L. A. et al. High Frequency of Aberrant Phenotype in Multiple Myeloma Patients Detected by Multiparametric Flow Cytometry. Blood 104, 4862 (2004).
  50. Rawstron, A. C. et al. Flow cytometric disease monitoring in multiple myeloma: the relationship between normal and neoplastic plasma cells predicts outcome after transplantation. Blood 100, 3095–3100 (2002).
  51. Sewify, E. M., Afifi, O. A., Mosad, E., Zaki, A. H. & El Gammal, S. A. Cyclin D1 amplification in multiple myeloma is associated with multidrug resistance expression. Clin Lymphoma Myeloma Leuk 14, 215–222 (2014).
  52. Troussard, X. et al. Cyclin D1 expression in patients with multiple myeloma. Hematology Journal 1, 181–185 (2000).
  53. Shustik, C., Bergsagel, D. E. & Pruzanski, W. κ and λ Light Chain Disease: Survival Rates and Clinical Manifestations. Blood 48, 41–51 (1976).
  54. Tosi, P., Tomassetti, S., Merli, A. & Polli, V. Serum free light-chain assay for the detection and monitoring of multiple myeloma and related conditions. Ther Adv Hematol 4, 37 (2013).
  55. Wrammert, J. et al. Rapid cloning of high-affinity human monoclonal antibodies against influenza virus. Nature 453, 667–671 (2008).
  56. Wrammert, J. et al. Rapid and Massive Virus-Specific Plasmablast Responses during Acute Dengue Virus Infection in Humans. J Virol 86, 2911–2918 (2012).
  57. Schulz, A. R. et al. SARS-CoV-2 specific plasma cells acquire long-lived phenotypes in human bone marrow. EBioMedicine 95, 104735 (2023).
  58. Rawstron, A. C. et al. Flow cytometric disease monitoring in multiple myeloma: the relationship between normal and neoplastic plasma cells predicts outcome after transplantation. Blood 100, 3095–3100 (2002).
  59. Flores-Montero, J. et al. Immunophenotype of normal vs. myeloma plasma cells: Toward antibody panel specifications for MRD detection in multiple myeloma. Cytometry B Clin Cytom 90, 61–72 (2016).
  60. Rawstron, A. C. et al. Minimal residual disease assessed by multiparameter flow cytometry in multiple myeloma: Impact on outcome in the Medical Research Council Myeloma IX study. Journal of Clinical Oncology 31, 2540–2547 (2013).
  61. de Weers, M. et al. Daratumumab, a Novel Therapeutic Human CD38 Monoclonal Antibody, Induces Killing of Multiple Myeloma and Other Hematological Tumors. The Journal of Immunology 186, 1840–1848 (2011).
  62. Lonial, S. et al. Elotuzumab Therapy for Relapsed or Refractory Multiple Myeloma. New England Journal of Medicine 373, 621–631 (2015).