Cytotoxic T Cell Markers

Lucas Baumard, PhD | 9th May 2025

Cytotoxic T cells are a broad cache of cells generally described as CD8+ cells, which mobilize to kill infected and neoplastic cells (though there is a small subset of CD4+ cytotoxic T cells). The most common of these are T cytotoxic 1, 2 and 17 cells, or Tc1, Tc2 and Tc17, respectively. These CD8+ cytotoxic T cells will be the main focus of this page (Figure 1).

Cytotoxic pathways can break down in chronic infection or cancer, where constant antigen exposure can lead to T cell exhaustion and a decline in responses.1 CD8 T cells have seen a recent focus in research due to their therapeutic potential in chimeric antigen receptor (CAR)-T-cell therapy or PD-1 blockade.

Cytotoxic T cell subsets - Tc1, Tc2, Tc17

Figure 1: CD8+ T cytotoxic cell subsets. Cytokines and factors that are needed for cytotoxic T cell differentiation, and the effector cytokines each subset releases, are indicated.

Table of Contents

Cytotoxic T Cell Differentiation

After leaving the thymus, naïve T cells are primed for activation by antigen presentation. Activation occurs when antigen-presenting cells present antigens via MHC-1, binding to T cell receptors and the CD8 molecule.2 These naïve cells differentiate into effector T CD8+ cells to clear infections, after which a small subset differentiate into memory cells that can better respond to future re-exposure.3

Changes to the cytokine environment around antigen presentation can change the differentiation pathway of CD8+ T cells (Figure 1).

Similarities Between Cytotoxic and Helper T Cells

Cytotoxic cells can be characterized by the surface markers they express and the cytokines they release, but there is significant shared expression of these surface markers and cytokines between subsets of cytotoxic T cells and T helper (Th) cells, including Tc1 and Th1, and Tc2 and Th2 (Figure 2). These shared markers can make distinguishing between cytotoxic and helper T cells difficult – especially as these cells are notoriously plastic.

Diagram showing similarities between T cytotoxic and T helper cells.

Figure 2: Similarities between T cytotoxic and T helper cells.Cytokines, transcription factors and differentiation factors for different cytotoxic and helper cell subsets are indicated.

Best practice would be to use combinations of multiple surface markers to isolate out Th1, Th2 etc. cells. For instance the use of the CD8 surface marker with the Tc1 (and Th1) cytokine markers IL-12, IFN-γ would isolate Tc1 cells. In general, the specific cytokines released by T cell subsets are less well studied in the context of cytotoxic T cell activity than for T helper cells.

Tc1 Cells

Tc1 cells are powerful cytotoxic cells directed against cancer or infected cells. Tc1 cells are activated by IL-12 and IL-2 released by activated antigen-presenting cells.4,5 Tc1 cells are defined by their use, and high expression of, perforin, granzyme B, IFN-γ, and tumor necrosis factor alpha (TNF-α)6 and the expression of CD44 and CD69.6

Tc1 Cell Surface Markers

Cytotoxic Tc1 cells have been shown to upregulate CD44 and CD69 and can be distinguished from Tc1 memory cells which instead upregulate CD127 and CD27.6 PD-1 and IL-18R are other important cell surface proteins for Tc1 activity.

CD44 is a transmembrane glycoprotein involved in many important bodily functions from immune cell migration to angiogenesis and wound healing, activated by its ligand hyaluronic acid.7 The protein is present in many different variants, driven by post-translational modification of the CD44 gene.7 CD44 is expressed on many cells, including CD4+ T cells and is upregulated on cytotoxic and memory Tc1 cells.8

Immunofluorescence - Anti-CD44 Antibody [156-3C11] (A250711)

Figure 3: Immunofluorescence of HeLa cells stained with Anti-CD44 Antibody [156-3C11] (A250711) in green. Nuclei are marked by RedDot in red.

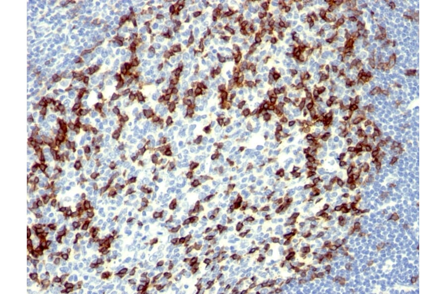
IHC - Anti-PD1 Antibody [NAT105] (A249587)

Figure 4: IHC of human tonsil stained with Anti-PD1 Antibody [NAT105] (A249587).

CD69 is a transmembrane protein that is also upregulated in activated CD4+, CD8+ T and natural killer (NK) cells.9 CD69 is thought to be important for regulating immune responses, being expressed on T cells infiltrating sites of inflammation,10,11 with knock-out and antibody blocking experiments in mice ameliorating inflammatory disease.12,13

Programmed cell death protein 1 (PD-1) is the receptor for PD-1 ligand 1 and 2 and is upregulated on various activated immune cells.14 PD-1 is upregulated on T cells by TCR activation, maintained in chronic disease, and then decreases as the antigen is cleared.15 PD-1 is an immune checkpoint protein that regulates T cell activity, nominally to reduce autoimmune damage,16 and its blockade is a common therapeutic strategy in cancer in order to enhance T cell anti-tumor activity.

Diagram illustrating PD-1 signaling pathway and blockade by antibody, adn the effects on T cell function.

Figure 5: PD-1 signaling pathway and PD-1 blockade. PD-1 blockade can re-activate downstream signaling pathways that enhance T cell activity and function. Edited and reproduced under Creative Commons 4.0 CC-BY from Jubel et al., The Role of PD-1 in Acute and Chronic Infection. Front Immunol 11, 487 (2020).16

Tc1 Cytokines

Tc1 cells mediate their cytotoxic function through the release of the cytokines IFN-γ and TNF-α as well as specialized proteins perforin and granzyme B.

Interferon gamma (IFN-γ) is a type II interferon cytokine released by cytotoxic CD8+ T cells17 as well as Th1 and NK cells.18 The receptor, IFN-γR, is expressed on almost all cell types19 - an indication of the importance of the cytokine. IFN-γR stimulation drives the transcription of a wide variety of genes that encode other immune responses such as cytokine release and antigen presentation.20 IFN-γ activates macrophages, Th1 cells, cytotoxic CD8+ cells and B cells, and downregulates Th2 and Th17 responses.18,19 The cytokine is important in cancer, increasing the migration of immune cells (including Tc1s) to tumors.17

Tumor necrosis factor alpha (TNF-α) is a cytokine released by CD8+ cytotoxic and regulatory T cells as well as CD4+ cells. TNF-α mediates its effect through Tumor necrosis factor receptor 1 and 2 (TNFR1 and TNFR2), with TNFR1 being expressed on almost all cells whilst TNFR2 is rarely expressed outside the brain.21 TNF-α has been shown to activate inflammatory responses, namely the apoptosis and necroptosis pathways in both diseased and excessively inflammatory cells.22

Perforin is a glycoprotein released from CD8+ T cells and NKs that acts to kill target cells by the formation of pores in their cell membranes, disrupting mineral homeostasis and inducing pro-apoptotic pathways.23,24 CD8+ T cells release of perforin is dependent on MHC antigen presentation.23

Granzyme B (GzB) is a serine protease released by activated CD8+ T cells and NK cells.25 Unlike perforin, GzB release requires two checks to be made: MHC antigen presentation and a secondary signal from IL-12 or IFN.26,27 GzB enters the target cell’s cytoplasm, where it disrupts various proteins, eventually leading to cell death.25 Some models of its action require perforin to create the pores which allow it to enter the cell, but the exact mechanisms of action are not fully understood.

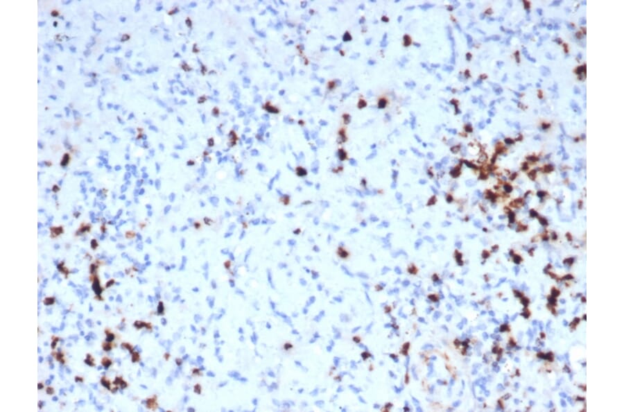
IHC - Anti-Perforin Antibody [PRF1/2470] (A249713)

Figure 6: IHC of human spleen stained with monospecific Anti-Perforin Antibody [PRF1/2470] (A249713).

IHC - Recombinant Anti-Granzyme B Antibody [GZMB/6530R] (A277994)

Figure 7: IHC of human tonsil stained with Recombinant Anti-Granzyme B Antibody [GZMB/6530R] (A277994).

Tc2 Cells

Tc2 cells are a subset of CD8+ T cells characterized by the release of IL-4, IL-5, IL-13, Perforin and GzB.28,29 Tc2 differentiation is driven by IL-4 via STAT6 and GATA3 signaling.30 These cells are mostly found in airway and epithelial tissue,31 only making up ~1% of CD8 T cells,32 and are less well understood than Tc1 cells. They act much like Th2 cells contributing to allergic responses through B-cell IgE production and recruitment of eosinophils.33,34

Tc2 Cell Surface Markers

Tc2 cells share numerous cell surface markers with Th2 cells: CCR4, CRTh2 and CD30.33,35,36

CCR4 and CRTh2 are chemokine and prostaglandin receptors respectively, with the latter being more recently discovered. Though both are used as Th2/ Tc2 markers, CRTh2 has been shown to be more accurately associated with IFN-γ negative, IL-4, -5 and -13 positive cells37 compared to CCR4.

The role of CD30 expressed on Tc2 cells is not well studied, but the protein itself is a member of the TNF receptor family and is overexpressed on some specific cancers.38

Tc2 Cytokines

In Tc2 cells, IL-4 acts to increase the release of itself in an autocrine fashion, while, in a paracrine fashion, it drives the differentiation of undifferentiated CD8+ cells into Tc2 cells.39 IL-4 is also released by other immune cells (including Th2 cells)40,41 in response to parasitic infection. IL-4 is important in wound healing and nerve regeneration42 and is also involved in allergic disease.

IL-4 activation of T cells also drives IL-13 release,43 which drives type 2 inflammatory responses in turn and is an important cytokine in allergic disease and asthma. IL-13 from Tc2 cells is associated with airway hypersensitivity to respiratory syncytial virus and eosinophilic inflammation.44

IL-5 is released from Tc2 and Th2 cells, mast cells and eosinophils.45 IL-5 specifically activates eosinophils, basophils and B cells as these cells preferentially express IL-5R.46,47 IL-5 is required for proliferation and Ig production in B cells.48 Release of IL-5 from Tc2 (not Th2) cells is increased in eosinophilia.49

IHC - Anti-CD30 Antibody [Ki-1/779] (A250650)

Figure 8: IHC of human Hodgkin's lymphoma stained with Anti-CD30 Antibody [Ki-1/779] (A250650).

Flow cytometry - Anti-IL-4 Antibody [IL4-3] (PF647P) (A269829)

Figure 9: Flow cytometry analysis of human lymphocytes stained with Anti-IL-4 Antibody [IL4-3] (PF647P) (A269829) after PMA/ionomycin stimulation (right).

Tc17 Cells

Tc17 cells are a CD8+ cytotoxic population that is not well characterized. Like CD4+ Th17 cells, they are known to release IL-17A, IL-17F and IL-22, as well well as low levels of GzB ,50 Tc17 cells have been shown to release perforin, however it is not necessary for their activity.51 IL-6, IL-21, IL-23 and TGF-β have been shown to drive the differentiation of naïve CD8+ cells into Tc17s.52,53

Tc17 cells are found in the skin and lung tissue and in the tumor microenvironment.54-56 Tc17 cells induce neutrophil migration to sites of inflammation, produce antimicrobial peptides and chemokines and are important in defense against bacteria and fungi.57,58 Although functionally similar to Th17 cells, Tc17s are able to switch to an IFN-γ+ Th1/ Tc1 phenotype and IL-5+, IL-13+ Th2 phenotype increasing diversification of responses, but complicating characterization.59,60

This plasticity contributes to the lack of understanding of Tc17 cells. They are able to switch to a Tc1-like phenotype by converting from IL-17 to IFN-γ expression,61 or a Tc2 phenotype driven by commensal bacteria.62

Tc17 Cell Surface Markers

Like Th17 cells, Tc17 cells express CCR6 and CD161.63,64 CCR6 is also expressed on Th17s, Tregs, dendritic cells and B cells and is thought to drive Tc17 migration to sites of inflammation.65,66 CD161’s role on T cells is not well understood, but due to the shared expressed on Th17 cells, it is likely to mediate anti-bacterial and fungal activity.67

Tc17 Cytokines

IL-17A and IL-17F induce epithelial cell expression of chemokines (CXCL1, CXCL2, CXCL5, CXCL8) and the granulopoietic factors G-CSF and stem cell factor.68,69 These cytokines play an important role in inflammation and responses to pulmonary infections. In pathology, they are associated with psoriasis, arthritis and driving destruction of cartilage and bone.70,71

IL-22 is a member of the IL-10 family of cytokines. IL-22 is released in response to IL-6 and IL-23 72 and is important in early host responses to bacteria through regulation of antimicrobial proteins.72,73 The cytokine is also upregulated in Crohn’s, ulcerative colitis and IBD.74-76 Increased expression of Tc17-derived (not Th17) IL-22 and IL-17 has been linked to autoimmune diseases such as psoriasis.77

CD4+ Cytotoxic T Cell Markers

CD4+ cells are typically characterized as helper (Th1, Th2, Th17 etc.), follicular helper or regulatory cells. However, more recently a population of CD4+, cytolytic cells has been discovered. Originally thought to be the domain of CD8+ cells, these CD4+ cells are found in (chronic) infectious disease, autoimmune disease and cancer.

Combinations of transcription factors can drive either Treg or cytotoxic phenotypes in CD4 cells, but the exact differentiation pathways remain unknown. In addition, there currently exist no consensus surface markers to differentiate CD4+ cytotoxic cells from those of other Th lineages. IL-2 has been shown to drive GzB expression in tumor-infiltrating CD4+ cells78 and, in another study, perforin-expressing CD4+ cells were shown to also express TNF-a, IFN-γ and granzyme A.79 This latter study also demonstrated that this CD4+perforin+ population did not appear to match the phenotype of other CD4+ populations, e.g. Treg or NK T cell, but correlated instead with an active, CD28- phenotype.79 This makes the study of this subset of CD4+ cytotoxic cells difficult; however, they are an important one, particularly in the context of driving anti-tumor activity.

Cytotoxic T Cell Marker Antibodies

References

  1. Ando, M., Ito, M., Srirat, T., Kondo, T. & Yoshimura, A. Memory T cell, exhaustion, and tumor immunity. Immunological Medicine 43, 1-9 (2020).
  2. Dustin, M. L. The immunological synapse. Cancer Immunology Research 2, 1023-1033 (2014).
  3. Choi, H., Kim, Y. & Jung, Y. W. The function of memory CD8+ T cells in immunotherapy for human diseases. Immune Network 23, e10 (2023).
  4. Joshi, N. S. et al. Inflammation directs memory precursor and short-lived effector CD8+ T cell fates via the graded expression of T-bet transcription factor. Immunity 27, 281-295 (2007).
  5. Croft, M., Carter, L., Swain, S. L. & Dutton, R. W. Generation of polarized antigen-specific CD8 effector populations: reciprocal action of interleukin (IL)-4 and IL-12 in promoting type 2 versus type 1 cytokine profiles. Journal of Experimental Medicine 180, 1715-1728 (1994).
  6. Mittrücker, H.-W., Visekruna, A. & Huber, M. Heterogeneity in the differentiation and function of CD8+ T cells. Archivum Immunologiae et Therapiae Experimentalis 62, 449-458 (2014).
  7. Ponta, H., Sherman, L. & Herrlich, P. A. CD44: from adhesion molecules to signalling regulators. Nature Reviews Molecular Cell Biology 4, 33-45 (2003).
  8. Baaten, B. J., Tinoco, R., Chen, A. T. & Bradley, L. M. Regulation of Antigen-Experienced T Cells: Lessons from the Quintessential Memory Marker CD44. Front Immunol 3, 23 (2012).
  9. González-Amaro, R., Cortés, J. R., Sánchez-Madrid, F. & Martín, P. Is CD69 an effective brake to control inflammatory diseases? Trends in Molecular Medicine 19, 625-632 (2013).
  10. Afeltra, A. et al. Expression of CD69 antigen on synovial fluid T cells in patients with rheumatoid arthritis and other chronic synovitis. Annals of the Rheumatic Diseases 52, 457-460 (1993).
  11. Julius, P. et al. CD69 surface expression on human lung eosinophils after segmental allergen provocation. European Respiratory Journal 13, 1253-1259 (1999).
  12. Martín, P. et al. The leukocyte activation antigen CD69 limits allergic asthma and skin contact hypersensitivity. Journal of Allergy and Clinical Immunology 126, 355-365. e353 (2010).
  13. Sancho, D. et al. CD69 downregulates autoimmune reactivity through active transforming growth factor-β production in collagen-induced arthritis. The Journal of Clinical Investigation 112, 872-882 (2003).
  14. Petrovas, C. et al. PD-1 is a regulator of virus-specific CD8+ T cell survival in HIV infection. Journal of Experimental Medicine 203, 2281-2292 (2006).
  15. Chikuma, S. et al. PD-1-mediated suppression of IL-2 production induces CD8+ T cell anergy in vivo. The Journal of Immunology 182, 6682-6689 (2009).
  16. Jubel, J. M., Barbati, Z. R., Burger, C., Wirtz, D. C. & Schildberg, F. A. The Role of PD-1 in Acute and Chronic Infection. Front Immunol 11, 487 (2020).
  17. Dobrzanski, M. J., Reome, J. B. & Dutton, R. W. Immunopotentiating Role of IFN-γ in Early and Late Stages of Type 1 CD8 Effector Cell-Mediated Tumor Rejection. Clinical Immunology 98, 70-84 (2001).
  18. Ivashkiv, L. B. IFNγ: signalling, epigenetics and roles in immunity, metabolism, disease and cancer immunotherapy. Nature Reviews Immunology 18, 545-558 (2018).
  19. Hu, X. & Ivashkiv, L. B. Cross-regulation of signaling pathways by interferon-γ: implications for immune responses and autoimmune diseases. Immunity 31, 539-550 (2009).
  20. Villarino, A. V., Kanno, Y. & O'Shea, J. J. Mechanisms and consequences of Jak–STAT signaling in the immune system. Nature immunology 18, 374-384 (2017).
  21. Naudé, P. J. W., den Boer, J. A., Luiten, P. G. M. & Eisel, U. L. M. Tumor necrosis factor receptor cross-talk. The FEBS Journal 278, 888-898 (2011).
  22. Kalliolias, G. D. & Ivashkiv, L. B. TNF biology, pathogenic mechanisms and emerging therapeutic strategies. Nature Reviews Rheumatology 12, 49-62 (2016).
  23. Osińska, I., Popko, K. & Demkow, U. Perforin: an important player in immune response. Cent Eur J Immunol 39, 109-115 (2014).
  24. Law, R. H. et al. The structural basis for membrane binding and pore formation by lymphocyte perforin. Nature 468, 447-451 (2010).
  25. Rousalova, I. & Krepela, E. Granzyme B-induced apoptosis in cancer cells and its regulation (review). Int J Oncol 37, 1361-1378 (2010).
  26. Curtsinger, J. M., Valenzuela, J. O., Agarwal, P., Lins, D. & Mescher, M. F. Type I IFNs provide a third signal to CD8 T cells to stimulate clonal expansion and differentiation. The Journal of Immunology 174, 4465-4469 (2005).
  27. Curtsinger, J. M., Lins, D. C. & Mescher, M. F. Signal 3 determines tolerance versus full activation of naive CD8 T cells: dissociating proliferation and development of effector function. The Journal of Experimental Medicine 197, 1141-1151 (2003).
  28. Salgame, P. et al. Differing lymphokine profiles of functional subsets of human CD4 and CD8 T cell clones. Science 254, 279-282 (1991).
  29. Mingari, M. C. et al. Frequent coexpression of cytolytic activity and lymphokine production among human T lymphocytes. Production of B cell growth factor and interleukin 2 by T8+ and T4+ cytolytic clones. European Journal of Immunology 14, 1066-1069 (1984).
  30. Pai, S.-Y., Truitt, M. L. & Ho, I.-C. GATA-3 deficiency abrogates the development and maintenance of T helper type 2 cells. Proceedings of the National Academy of Sciences 101, 1993-1998 (2004).
  31. Taguchi, T. et al. Analysis of Th1 and Th2 cells in murine gut-associated tissues. Frequencies of CD4+ and CD8+ T cells that secrete IFN-gamma and IL-5. Journal of Immunology 145, 68-77 (1990).
  32. Cosmi, L. et al. CRTH2 is the most reliable marker for the detection of circulating human type 2 Th and type 2 T cytotoxic cells in health and disease. European Journal of Immunology 30, 2972-2979 (2000).
  33. Hinks, T. S. C., Hoyle, R. D. & Gelfand, E. W. CD8+ Tc2 cells: underappreciated contributors to severe asthma. European Respiratory Review 28, 190092 (2019).
  34. Hilvering, B. et al. Synergistic activation of pro-inflammatory type-2 CD8+ T lymphocytes by lipid mediators in severe eosinophilic asthma. Mucosal Immunology 11, 1408-1419 (2018).
  35. Nagai, S. et al. Comprehensive gene expression profile of human activated Th1- and Th2-polarized cells. International Immunology 13, 367-376 (2001).
  36. Vukmanovic-Stejic, M., Vyas, B., Gorak-Stolinska, P., Noble, A. & Kemeny, D. M. Human Tc1 and Tc2/Tc0 CD8 T-cell clones display distinct cell surface and functional phenotypes. Blood 95, 231-240 (2000).
  37. Cosmi, L. et al. CRTH2 is the most reliable marker for the detection of circulating human type 2 Th and type 2 T cytotoxic cells in health and disease. Eur J Immunol 30, 2972-2979 (2000).
  38. van der Weyden, C. A., Pileri, S. A., Feldman, A. L., Whisstock, J. & Prince, H. M. Understanding CD30 biology and therapeutic targeting: a historical perspective providing insight into future directions. Blood Cancer Journal 7, e603-e603 (2017).
  39. Erard, F., Wild, M.-T., Garcia-Sanz, J. A. & Le Gros, G. Switch of CD8 T cells to noncytolytic CD8-CD4-cells that make TH2 cytokines and help B cells. Science 260, 1802-1805 (1993).
  40. Broide, D. H., Paine, M. M. & Firestein, G. S. Eosinophils express interleukin 5 and granulocyte macrophage-colony-stimulating factor mRNA at sites of allergic inflammation in asthmatics. J Clin Invest 90, 1414-1424 (1992).
  41. Brown, M. A. et al. B cell stimulatory factor-1/interleukin-4 mRNA is expressed by normal and transformed mast cells. Cell 50, 809-818 (1987).
  42. Daines, J. M., Schellhardt, L. & Wood, M. D. The Role of the IL-4 Signaling Pathway in Traumatic Nerve Injuries. Neurorehabil Neural Repair 35, 431-443 (2021).
  43. Jia, Y. et al. Stepwise epigenetic and phenotypic alterations poise CD8+ T cells to mediate airway hyperresponsiveness and inflammation. The Journal of Immunology 190, 4056-4065 (2013).
  44. Dakhama, A. et al. The enhancement or prevention of airway hyperresponsiveness during reinfection with respiratory syncytial virus is critically dependent on the age at first infection and IL-13 production. The Journal of Immunology 175, 1876-1883 (2005).
  45. Blomberg, O. S. et al. IL-5-producing CD4+ T cells and eosinophils cooperate to enhance response to immune checkpoint blockade in breast cancer. Cancer Cell 41, 106-123.e110 (2023).
  46. Resnick, M. B. & Weller, P. F. Mechanisms of eosinophil recruitment. American Journal of Respiratory Cell and Molecular Biology 8, 349-349 (1993).
  47. Takatsu, K. Interleukin-5 and IL-5 receptor in health and diseases. Proc Jpn Acad Ser B Phys Biol Sci 87, 463-485 (2011).
  48. Takatsu, K. et al. Role of IL-5 in the innate immune system and disease control. International Congress Series 1285, 145-154 (2005).
  49. Stoeckle, C. & Simon, H. U. CD8(+) T cells producing IL-3 and IL-5 in non-IgE-mediated eosinophilic diseases. Allergy 68, 1622-1625 (2013).
  50. Huber, M. et al. A Th17‐like developmental process leads to CD8+ Tc17 cells with reduced cytotoxic activity. European Journal of Immunology 39, 1716-1725 (2009).
  51. Hamada, H. et al. Tc17, a unique subset of CD8 T cells that can protect against lethal influenza challenge. J Immunol 182, 3469-3481 (2009).
  52. Liu, S.-J. et al. Induction of a distinct CD8 Tnc17 subset by transforming growth factor-β and interleukin-6. Journal of Leucocyte Biology 82, 354-360 (2007).
  53. Yen, H.-R. et al. Tc17 CD8 T cells: functional plasticity and subset diversity. The Journal of Immunology 183, 7161-7168 (2009).
  54. Linehan, J. L. et al. Non-classical immunity controls microbiota impact on skin immunity and tissue repair. Cell 172, 784-796. e718 (2018).
  55. Nanjappa, S. G., Heninger, E., Wüthrich, M., Gasper, D. J. & Klein, B. S. Tc17 cells mediate vaccine immunity against lethal fungal pneumonia in immune deficient hosts lacking CD4+ T cells. PLoS Pathogens 8, e1002771 (2012).
  56. Kryczek, I. et al. Cutting edge: Th17 and regulatory T cell dynamics and the regulation by IL-2 in the tumor microenvironment. The Journal of Immunology 178, 6730-6733 (2007).
  57. Zenobia, C. & Hajishengallis, G. Basic biology and role of interleukin-17 in immunity and inflammation. Periodontology 2000 69, 142-159 (2015).
  58. McGeachy, M. J., Cua, D. J. & Gaffen, S. L. The IL-17 family of cytokines in health and disease. Immunity 50, 892-906 (2019).
  59. Lückel, C. et al. IL-17+ CD8+ T cell suppression by dimethyl fumarate associates with clinical response in multiple sclerosis. Nature Communications 10, 5722 (2019).
  60. Harrison, O. J. et al. Commensal-specific T cell plasticity promotes rapid tissue adaptation to injury. Science 363, eaat6280 (2019).
  61. Flores-Santibáñez, F. et al. In Vitro-Generated Tc17 Cells Present a Memory Phenotype and Serve As a Reservoir of Tc1 Cells In Vivo. Front Immunol 9, 209 (2018).
  62. Harrison, O. J. et al. Commensal-specific T cell plasticity promotes rapid tissue adaptation to injury. Science 363, eaat6280 (2019).
  63. Hirota, K. et al. Preferential recruitment of CCR6-expressing Th17 cells to inflamed joints via CCL20 in rheumatoid arthritis and its animal model. The Journal of Experimental Medicine 204, 2803-2812 (2007).
  64. Liang, Y., Pan, H. F. & Ye, D. Q. Tc17 Cells in Immunity and Systemic Autoimmunity. Int Rev Immunol 34, 318-331 (2015).
  65. Meitei, H. T., Jadhav, N. & Lal, G. CCR6-CCL20 axis as a therapeutic target for autoimmune diseases. Autoimmunity Reviews 20, 102846 (2021).
  66. Campbell, J. J. et al. IL-17-Secreting γδ T Cells Are Completely Dependent upon CCR6 for Homing to Inflamed Skin. J Immunol 199, 3129-3136 (2017).
  67. Fergusson, J. R. et al. CD161 defines a transcriptional and functional phenotype across distinct human T cell lineages. Cell Rep 9, 1075-1088 (2014).
  68. Jones, C. E. & Chan, K. Interleukin-17 stimulates the expression of interleukin-8, growth-related oncogene-α, and granulocyte–colony-stimulating factor by human airway epithelial cells. American Journal of Respiratory Cell and Molecular Biology 26, 748-753 (2002).
  69. Laan, M. et al. Neutrophil recruitment by human IL-17 via CXC chemokine release in the airways. The Journal of Immunology 162, 2347-2352 (1999).
  70. Wilson, N. J. et al. Development, cytokine profile and function of human interleukin 17–producing helper T cells. Nature Immunology 8, 950-957 (2007).
  71. Lubberts, E. et al. Treatment with a neutralizing anti-murine interleukin-17 antibody after the onset of collagen-induced arthritis reduces joint inflammation, cartilage destruction, and bone erosion. Arthritis & Rheumatism: Official Journal of the American College of Rheumatology 50, 650-659 (2004).
  72. Zheng, Y. et al. Interleukin-22, a TH17 cytokine, mediates IL-23-induced dermal inflammation and acanthosis. Nature 445, 648-651 (2007).
  73. Zheng, Y. et al. Interleukin-22 mediates early host defense against attaching and effacing bacterial pathogens. Nature Medicine 14, 282-289 (2008).
  74. Andoh, A. et al. Interleukin-22, a member of the IL-10 subfamily, induces inflammatory responses in colonic subepithelial myofibroblasts. Gastroenterology 129, 969-984 (2005).
  75. Brand, S. et al. IL-22 is increased in active Crohn’s disease and promotes proinflammatory gene expression and intestinal epithelial cell migration. American Journal of Physiology-Gastrointestinal and Liver Physiology 290, G827-G838 (2006).
  76. te Velde, A. A. et al. Comparative analysis of colonic gene expression of three experimental colitis models mimicking inflammatory bowel disease. Inflammatory Bowel Diseases 13, 325-330 (2007).
  77. Res, P. C. et al. Overrepresentation of IL-17A and IL-22 producing CD8 T cells in lesional skin suggests their involvement in the pathogenesis of psoriasis. PLoS One 5, e14108 (2010).
  78. Śledzińska, A. et al. Regulatory T Cells Restrain Interleukin-2- and Blimp-1-Dependent Acquisition of Cytotoxic Function by CD4+ T Cells. Immunity 52, 151-166.e156 (2020).
  79. Appay, V. et al. Characterization of CD4+ CTLs ex vivo. The Journal of Immunology 168, 5954-5958 (2002).